Khi nhắc đến hôi miệng thì nhiều người sẽ nghĩ đến việc mảng bám tích tụ rồi lên men. Tuy nhiên trong thực tế đây cũng có thể là ảnh hưởng của việc sâu răng. Khi bi sâu răng gây hôi miệng, nó có thẻ khiến bạn tự ti hơn trong giao tiếp hằng ngày. Thậm chí nó cũng có thể gây ra biến chứng nghiêm trọng như viêm lợi, viêm nha chu. Hiểu được điều này, Nha khoa DrGreen xin chia sẻ tới các bạn chi tiết các cách trị sâu răng hôi miệng tại nhà hiệu quả tại nhà và an toàn trong bài viết này
Sâu răng gây hôi miệng ra sao?
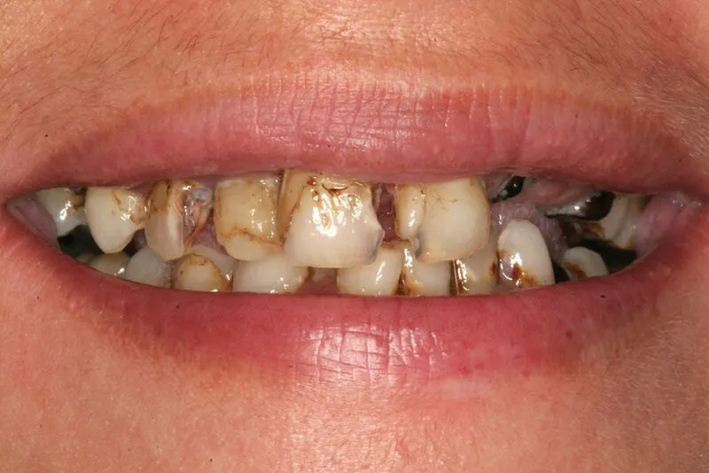
Trước khi tìm hiểu các cách trị sâu răng hôi miệng tại nhà thì cần biết sâu răng gây hôi miệng ra sao. Sâu răng là một tình trạng bệnh lý nha khoa. Trong đó vi khuẩn xâm nhập và tấn công các cấu trúc của răng. Theo thời gian chúng sẽ gây ra tổn thương bề mặt. Sau đó chúng sẽ hình thành các lỗ sâu nhỏ trên thân răng.
Những tổn thương này không chỉ gây đau nhức và khó chịu cho người bện. Nếu không được điều trị kịp thời, còn có thể dẫn đến tình trạng hôi miệng và nhiễm trùng khoang miệng. Hôi miệng có thể xuất phát từ nhiều nguyên nhân khác nhau. Trong đó bao gồm việc vệ sinh răng miệng không đúng cách. Ngoài ra là các bệnh lý răng miệng, trào ngược dạ dày – thực quản, viêm xoang. Trong đó, sâu răng là một trong những nguyên nhân phổ biến gây hôi miệng.
Cơ chế mà sâu răng gây hôi miệng là do vi khuẩn xâm nhập. Sau đó chúng sẽ phát triển trong các ổ sâu trên răng. Từ đó dẫn đến việc phân hủy thức ăn thừa và các chất có trong nước bọt. Quá trình này sản sinh ra các hợp chất lưu huỳnh có mùi hôi. Ngoài ra, các lỗ hổng trên răng do vi khuẩn tấn công còn dễ dàng giữ lại thức ăn. Thông qua đó làm tình trạng hôi miệng trở nên nghiêm trọng hơn.

Ảnh hưởng của hôi miệng cho răng ra sao?
Hôi miệng là tình trạng có thể xảy ra ở mọi lứa tuổi. Từ đó ảnh hưởng nghiêm trọng đến tâm lý của người mắc phải. Những người bị hôi miệng thường cảm thấy tự ti, xấu hổ và ngại ngùng trong giao tiếp. Họ thường xuyên lo lắng về việc người khác có thể phát hiện ra mùi hôi. Điều này làm giảm sự tự tin trong các tình huống xã hội.
Nhiều người, do sợ bị chú ý, đã hạn chế giao tiếp. Thậm chí né tránh các cuộc trò chuyện hàng ngày. Hành vi này không chỉ tác động tiêu cực đến đời sống tinh thần. Nó còn ảnh hưởng nghiêm trọng đến mối quan hệ xã hội và công việc. Hơn nữa, hôi miệng không chỉ là vấn đề về mặt thẩm mỹ. Đây còn là dấu hiệu của nhiều bệnh lý răng miệng. Các vấn đề như sâu răng, viêm nướu, viêm nha chu hay nhiễm trùng khoang miệng có thể là nguyên nhân gây ra tình trạng hôi miệng.
Tuy nhiên một số bệnh lý này không được phát hiện và điều trị kịp thời. Lúc này chúng có thể gây ra những tổn thương nghiêm trọng đối với toàn bộ hệ thống răng miệng. Từ đó ảnh hưởng đến sức khỏe mà còn đến chất lượng cuộc sống của người bệnh. Vì vậy, việc thăm khám nha khoa định kỳ là vô cùng quan trọng. Thông qua đó phát hiện sớm và điều trị hiệu quả các bệnh lý răng miệng. Đồng thời ngăn ngừa tình trạng hôi miệng kéo dài. Ngoài ra các cách trị sâu răng hôi miệng tại nhà cũng cần quan tâm

Các cách trị sâu răng hôi miệng tại nhà hiệu quả và an toàn
Điều trị tận gốc từ nguyên nhân gây hôi miệng
Để điều trị hôi miệng một cách triệt để, bước đầu tiên là phải xác định và giải quyết nguyên nhân gây ra tình trạng này. Để làm điều này, bạn cần chủ động thăm khám tại các phòng khám nha khoa. Thông qua đó kiểm tra sức khỏe răng miệng và tình trạng sâu răng. Các bác sĩ nha khoa sẽ tiến hành đánh giá mức độ tổn thương của răng. Sau đó xác định các ổ sâu và đưa ra phương án điều trị phù hợp.
Trong quá trình điều trị, các bác sĩ sẽ tiến hành vệ sinh răng miệng kỹ lưỡng. Tại đây sẽ làm sạch các mảng bám và cao răng, vốn là tác nhân tích tụ vi khuẩn. Đối với các trường hợp sâu răng nhẹ, các vết sâu và viêm sẽ được làm sạch. Từ đó loại bỏ mảng bám đen, sau đó trám lại bằng vật liệu trám nhân tạo. Nếu tình trạng sâu răng đã lan rộng, ăn sâu vào tủy răng, người bệnh sẽ cần điều trị tủy. Đồng thời trám bít răng để bảo vệ cấu trúc răng lâu dài.

Cách trị sâu răng hôi miệng tại nhà bằng duy trì độ ẩm
Một trong những yếu tố quan trọng trong cách trị sâu răng hôi miệng tại nhà là duy trì độ ẩm cho khoang miệng. Nước bọt không chỉ có chức năng làm sạch răng miệng mà còn chứa lysozyme. Đây là một enzym có khả năng diệt khuẩn hiệu quả. Đồng thời bảo vệ các mô mềm trong khoang miệng khỏi sự xâm nhập của vi khuẩn. Khi miệng khô, lượng nước bọt giảm đi, tạo điều kiện thuận lợi cho vi khuẩn phát triển. Theo thời gian chúng sẽ gây mùi hôi.
Để tăng cường lượng nước bọt tiết ra, bạn có thể sử dụng sản phẩm hỗ trợ. Ví dụ như kẹo cao su không đường, giúp kích thích tuyến nước bọt hoạt động. Việc nhai kẹo cao su không đường sẽ không chỉ giúp làm sạch miệng. Nó còn hỗ trợ loại bỏ vi khuẩn và thức ăn thừa. Từ đó giảm sự phát triển của vi khuẩn gây mùi khó chịu trong khoang miệng.

Cách trị sâu răng hôi miệng tại nhà với nước muối loãng
Súc miệng bằng nước muối loãng là một cách trị sâu răng hôi miệng tại nhà đơn giản. Phương pháp này rất hiệu quả trong việc sát khuẩn và làm sạch khoang miệng. Muối có tác dụng kháng khuẩn tự nhiên. Thông qua đó giúp tiêu diệt các vi khuẩn gây hôi miệng. Đồng thời ngăn ngừa sự phát triển của chúng.
Đây là một biện pháp dễ thực hiện, chi phí thấp. Vì thế có thể được áp dụng hàng ngày để bảo vệ sức khỏe răng miệng. Bạn chỉ cần pha một lượng muối vừa phải với nước ấm. Sau đó súc miệng trong vài giây để đạt hiệu quả tốt nhất. Việc sử dụng nước muối loãng đều đặn sẽ giúp giảm mùi hôi miệng. Đồng thời hỗ trợ giữ cho khoang miệng luôn sạch sẽ và khỏe mạnh.

Chữa hôi miệng do sâu răng bằng giấm táo hoặc chanh tươi
Chanh tươi và giấm táo là những nguyên liệu có tính axit cao. Axit này giúp hỗ trợ trong việc giảm mùi hôi miệng do vi khuẩn. Bạn có thể sử dụng nước chanh pha muối hoặc pha loãng giấm táo. Thông qua đó súc miệng hàng ngày, giúp khử mùi hiệu quả. Nhờ đặc tính axit, cả chanh và giấm táo đều có khả năng sát khuẩn mạnh mẽ. Từ đó tiêu diệt vi khuẩn gây mùi hôi trong khoang miệng.
Tuy nhiên, cần lưu ý rằng tính axit mạnh trong các chất này có thể làm yếu đi men răng nếu sử dụng quá thường xuyên. Việc lạm dụng chanh và giấm táo có thể dẫn đến tình trạng men răng bị mềm. Từ đó khiến răng dễ bị bào mòn, gây tổn thương lâu dài cho sức khỏe răng miệng. Do đó, việc sử dụng các phương pháp này cần được cân nhắc hợp lý. Từ đó tránh sử dụng quá mức để bảo vệ cấu trúc răng miệng một cách an toàn.

Một số thực phẩm có khả năng diệt khuẩn và khử mùi
Nhiều thực phẩm tự nhiên có thể là cách trị hôi miệng sâu răng tại nhà hiệu quả. Trong đó, lá bạc hà và quả táo đỏ là hai nguyên liệu nổi bật. Tinh dầu trong lá bạc hà không chỉ mang lại mùi hương thơm mát, dễ chịu. Nó còn chứa các chất diệt khuẩn hiệu quả, giúp làm sạch miệng. Đồng thời hỗ trợ ngăn ngừa sự phát triển của vi khuẩn gây mùi.
Quả táo đỏ cũng là một lựa chọn tuyệt vời nhờ vào hàm lượng polyphenol tự nhiên có trong nó. Polyphenol là các hợp chất có khả năng làm sạch miệng và tiêu diệt vi khuẩn gây mùi. Đồng thời giúp duy trì sức khỏe răng miệng. Việc ăn táo đỏ không chỉ giúp làm sạch khoang miệng. Nó còn có tác dụng cải thiện hơi thở, tạo cảm giác dễ chịu sau khi ăn.

Các cách phòng ngừa sâu răng hôi miệng hiệu quả
Vừa rồi chúng ta đã biết các cách trị hôi miệng sâu răng tại nhà hiệu quả. Tuy nhiên để đảm bảo hiệu quả thì việc duy trì và phòng ngừa hôi miệng sâu răng là điều quan trọng. Cụ thể có các cách sau để phòng ngừa
Hạn chế tiêu thụ cà phê
- Cà phê có chứa hợp chất sulfur và đặc tính axit cao, gây ra mùi khó chịu trong khoang miệng.
- Thức uống này cũng làm giảm tiết nước bọt, dẫn đến khô miệng. Đây là điều kiện thuận lợi cho vi khuẩn gây mùi phát triển.
- Giảm lượng cà phê tiêu thụ trong ngày giúp cải thiện đáng kể hơi thở. Đồng thời tăng cường sức khỏe răng miệng.
Giảm hoặc bỏ thuốc lá
- Hút thuốc là một trong những nguyên nhân chính gây ra tình trạng hôi miệng mạn tính.
- Khói thuốc làm khô khoang miệng, ảnh hưởng đến nướu và men răng. Từ đó gia tăng nguy cơ mắc bệnh nha chu, viêm lợi và sâu răng.
- Từ bỏ thuốc lá không chỉ cải thiện mùi hơi thở. Nó còn mang lại lợi ích lâu dài cho sức khỏe tim mạch và hô hấp.

Uống đủ nước mỗi ngày
- Nước giúp kích thích tuyến nước bọt hoạt động. Từ đó làm sạch khoang miệng và giảm sự phát triển của vi khuẩn gây mùi.
- Uống nước trước khi đi ngủ giúp ngăn tình trạng khô miệng vào ban đêm. Khô miệng ban đêm là nguyên nhân phổ biến khiến hơi thở có mùi vào buổi sáng.
Hạn chế rượu và các loại đồ uống có cồn
- Các loại thức uống có cồn làm khô niêm mạc miệng. Từ đó gây mất cân bằng hệ vi sinh vật trong khoang miệng.
- Tình trạng mất nước và giảm tiết nước bọt khiến vi khuẩn dễ dàng phát triển và gây mùi khó chịu.
- Hạn chế rượu, bia và thức uống có cồn giúp khoang miệng giữ được độ ẩm cần thiết và giảm mùi hôi hiệu quả.

Thăm khám nha sĩ định kỳ
- Hơi thở có mùi có thể là biểu hiện của các bệnh lý răng miệng. Ví dụ như viêm lợi, viêm nha chu, sâu răng hoặc áp xe chân răng.
- Kiểm tra nha khoa định kỳ giúp phát hiện sớm. Thông qua đó xử lý triệt để các nguyên nhân tiềm ẩn gây hôi miệng.
- Đồng thời, bác sĩ nha khoa có thể tư vấn thêm các phương pháp. Đặc biệt là chăm sóc răng miệng tại nhà phù hợp với từng cá nhân.
Xem thêm:
- Tác hại của thở bằng miệng là gì? Nguyên nhân và cách khắc phục
- Nạo nha chu và một số câu hỏi thường gặp
Trên đây là các cách trị sâu răng hôi miệng tại nhà hiệu quả và an toàn. Cùng với đó là cách duy trì và phòng ngừa hôi miệng lâu dài. Để được tư vấn cụ thể, hãy liên hệ Nha khoa DrGreen theo thông tin bên dưới
Hotline: 0936.996.609
Fanpage: https://www.facebook.com/nhakhoadrgreen
Website: nhakhoadrgreen.vn
Hệ thống Nha khoa Dr Green:
- 40B Lạch Tray, Ngô Quyền, Hải Phòng
- HDS11 Vinhomes Marina, Lê Chân, Hải Phòng
- 38 Tân Dương, Thủy Nguyên, Hải Phòng
- 43 Trần Phú, Cẩm Phả, Quảng Ninh











