Hiện nay, những bệnh về lợi và nướu là những bệnh mà rất nhiều người gặp phải. Trong đó phổ biến nhất là hiện tượng viêm lợi do vệ sinh răng miệng kém hoặc sử dụng thuốc. Tuy nhiên nếu không được chữa trị kịp thời thì có thể gây ra biến chứng lợi phì đại. Đây là tình trạng có thể lây lan rộng ra các vùng xung quanh chỗ viêm. Từ đó nó sẽ khiến cho người bệnh đau nhức và cực kỳ khó chịu khi ăn uống. Vậy hiện tượng viêm lợi phì đại là gì? Hãy cùng Nha khoa DrGreen tìm hiểu chi tiết và khám phá cách điều trị trong bài viết này
Viêm lợi phì đại là gì?
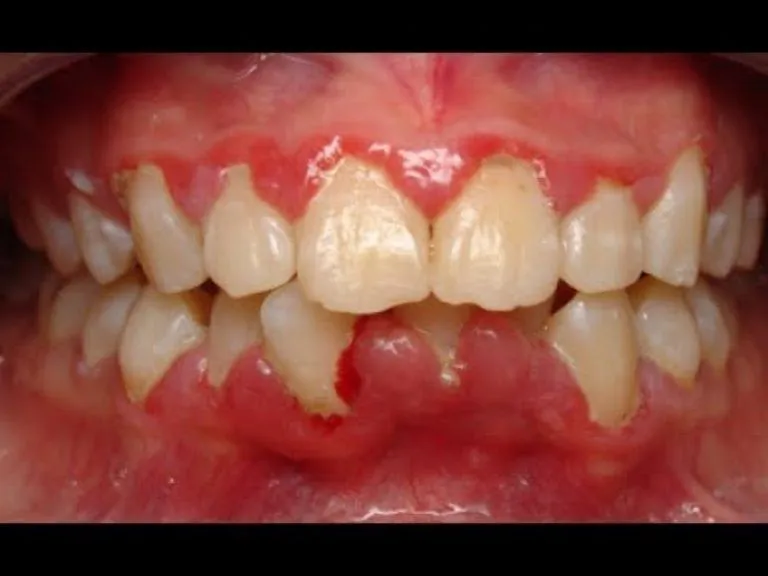
Viêm lợi phì đại là một tình trạng bệnh lý đặc trưng bởi sự tăng sinh quá mức của mô nướu. Từ đó dẫn đến hiện tượng nướu dày lên, sưng nề và có thể bao phủ một phần thân răng. Hiện tượng này thường là kết quả của phản ứng phì đại của mô lợi. Phản ứng này xảy ra đối với các tác nhân kích thích tại chỗ. Phổ biến nhất là mảng bám vi khuẩn còn mắc trong kẽ rằn. Đây là một yếu tố nguy cơ hàng đầu trong các bệnh lý nha chu.
Ngoài ra, tình trạng này cũng có thể phát sinh do tác dụng phụ của một số loại thuốc. Đặc biệt là các nhóm thuốc như thuốc chống động kinh (ví dụ: phenytoin). Ngoài ra là thuốc ức chế miễn dịch (cyclosporin), thuốc chẹn kênh canxi (như nifedipine). Tình trạng phì đại mô nướu không chỉ gây ảnh hưởng nghiêm trọng đến yếu tố thẩm mỹ. Điều này thể hiện qua việc nó làm cho răng trông ngắn hơn. Thậm chí khiến nướu chuyển sang màu đỏ đậm hoặc tím tái. Nó còn tác động tiêu cực đến chức năng sinh lý của khoang miệng.
Người bệnh có thể gặp khó khăn trong việc ăn nhai, phát âm. Cũng như trong quá trình vệ sinh răng miệng hàng ngày. Từ đó làm gia tăng nguy cơ viêm nhiễm và tiến triển của các bệnh lý nha chu. Nếu để quá lâu, viêm lợi phì đại có thể dẫn đến tổn thương mô nha chu sâu hơn. Từ đó ảnh hưởng đến sức khỏe răng miệng tổng thể.

Những dấu hiệu của hiện tượng lợi phì đại
Viêm lợi phì đại là tình trạng mô nướu tăng sinh bất thường. Hiện tượng này thường do phản ứng viêm kéo dài dưới tác động của mảng bám vi khuẩn. Ngoài ra là những ảnh hưởng của rối loạn nội tiết hoặc sử dụng thuốc. Các triệu chứng thường gặp bao gồm:
- Nướu bị phì đại rõ rệt, phồng lên quá mức so với bình thường. Màu sắc nướu chuyển từ hồng nhạt sang đỏ tươi hoặc tím thẫm. Điều này phản ánh tình trạng viêm cấp tính hoặc mạn tính.
- Nướu dễ bị tổn thương và chảy máu khi đánh răng, dùng chỉ nha khoa. Hoặc trong quá trình ăn nhai, ngay cả khi tác động nhẹ.
- Vi khuẩn trú ngụ trong mảng bám và túi nha chu sâu gây ra tình trạng hơi thở hôi kéo dài. Hơi thở này không cải thiện ngay cả khi vệ sinh răng miệng thường xuyên.
- Người bệnh thường cảm thấy đau âm ỉ hoặc đau nhói khi ăn, nói. Hoặc đau khi có lực tác động lên vùng nướu viêm. Cảm giác ê buốt và khó chịu có thể kéo dài và gây ảnh hưởng tới sinh hoạt hằng ngày.
- Ở giai đoạn nặng, sự phì đại và viêm kéo dài phá hủy mô nâng đỡ quanh răng. Trong đó bao gồm dây chằng và xương ổ răng. Từ đó dẫn đến hiện tượng răng lung lay và mất ổn định.

Những nguyên nhân gây ra hiện tượng viêm lợi phì đại
Vệ sinh răng miệng không đúng cách
Một trong những nguyên nhân phổ biến và dễ gặp nhất dẫn đến viêm lợi phì đại là thói quen vệ sinh răng miệng kém hoặc không đúng cách. Việc không chải răng đều đặn hoặc chải răng sai kỹ thuật khiến mảng bám tồn đọng. Cùng với đó vi khuẩn tồn tại lâu ngày trên bề mặt răng. Ngoài ra là vi khuẩn trong kẽ răng và tại đường viền nướu. Những mảng bám này là môi trường lý tưởng cho vi khuẩn phát triển. Thông qua đó gây ra tình trạng viêm mô nướu kéo dài.
Lúc này mô nướu bị viêm trong thời gian dài mà không được điều trị. Khi đó cơ thể có xu hướng phản ứng bằng cách tăng sinh mô nướu để tự bảo vệ. Từ đó hình thành hiện tượng phì đại lợi. Ngoài ra, một số người không sử dụng chỉ nha khoa và không súc miệng bằng dung dịch chuyên dụng. Điều này sẽ khiến cặn thức ăn và vi khuẩn tiếp tục tích tụ trong các khe răng. Đây là những vị trí bàn chải thông thường khó tiếp cận. Từ đó làm tăng nguy cơ tiến triển các bệnh lý nướu răng.

Không điều trị viêm lợi kịp thời
Viêm lợi ở giai đoạn đầu thường biểu hiện bằng các dấu hiệu nhẹ. Ví dụ như sưng đỏ mô nướu, dễ chảy máu khi chải răng hoặc ăn nhai. Tuy nhiên, một số người không được can thiệp kịp thời hoặc điều trị sai phương pháp. Khi đó bệnh có thể tiến triển thành viêm lợi phì đại. Đây là tình trạng mà nướu không chỉ viêm. Nó còn phát triển quá mức, đôi khi bao phủ cả thân răng.
Việc trì hoãn trong điều trị không chỉ làm ảnh hưởng đến thẩm mỹ khuôn miệng. Nó còn gây khó khăn trong quá trình ăn nhai, ảnh hưởng đến chức năng phát âm. Cùng với đó là làm giảm chất lượng cuộc sống và có thể gây tác động xấu. Đặc biệt là đến sức khỏe toàn thân nếu tình trạng viêm lan rộng.

U xơ nướu (tăng sản nướu do di truyền)
Tăng sản nướu có yếu tố di truyền, hay còn gọi là u xơ nướu di truyền, là một nguyên nhân đặc biệt dẫn đến viêm lợi phì đại. Đây là tình trạng mô liên kết của nướu phát triển quá mức do đột biến gen. Điều này thường xuất hiện từ giai đoạn mọc răng sữa. Thậm chí có thể kéo dài đến khi hoàn thiện hàm răng vĩnh viễn.
Ở giai đoạn đầu, u xơ nướu có thể không gây triệu chứng đau đớn rõ rệt. Điều này khiến người bệnh và phụ huynh khó nhận biết. Tuy nhiên, nếu không điều trị sớm, mô nướu sẽ dần bao phủ thân răng. Từ đó gây cản trở nghiêm trọng đến chức năng ăn nhai, phát âm. Cùng với đó là vệ sinh răng miệng và cả sinh hoạt hàng ngày. Trong một số trường hợp nặng, can thiệp phẫu thuật nướu là cần thiết. Thông qua đó phục hồi chức năng và thẩm mỹ.

Chế độ ăn uống và tác động đến viêm lợi phì đại
Chế độ ăn uống không hợp lý có thể là một trong những yếu tố quan trọng dẫn đến sự phát triển của viêm lợi phì đại. Khi đã mắc phải tình trạng viêm nướu, nếu bệnh nhân tiếp tục duy trì chế độ ăn uống không khoa học, đặc biệt là thường xuyên tiêu thụ các thực phẩm cay, nóng, hoặc các đồ uống có cồn như bia, rượu, nướu sẽ rất dễ bị kích ứng. Những loại thực phẩm này có thể làm gia tăng tình trạng viêm nhiễm. Từ đo khiến mô nướu dễ tổn thương và tạo điều kiện viêm lợi tiến triển nặng hơn. Điều này dẫn đến tình trạng phì đại nướu.
Ngoài ra, thực phẩm cay và nóng có thể làm tăng sự kích thích ở vùng nướu. Những thực phẩm này sẽ gây cảm giác khó chịu, đau rát và viêm nhiễm kéo dài. Điều này không chỉ ảnh hưởng đến sức khỏe răng miệng. Nó còn làm tăng nguy cơ các bệnh lý khác. Từ đó ảnh hưởng đến khả năng ăn uống và sinh hoạt hàng ngày của người bệnh.

Tác dụng phụ của thuốc đối với sức khỏe nướu
Một yếu tố không thể bỏ qua trong quá trình điều trị viêm lợi phì đại là tác dụng phụ của một số loại thuốc. Một số thuốc được sử dụng trong thời gian dài có thể gây ra tác dụng phụ là lợi phì đại. Trong đó bao gồm các loại thuốc ức chế miễn dịch, thuốc chống co giật. Ngoài ra là các loaijn thuốc điều trị huyết áp và một số nhóm thuốc khác. Những thuốc này có thể tác động đến cấu trúc mô nướu. Theo thời gian sẽ làm cho mô nướu dễ bị phì đại hoặc viêm.
Một số bệnh nhân phát hiện dấu hiệu nướu bị phì đại trong quá trình sử dụng thuốc. Lúc này điều quan trọng là phải thông báo ngay cho bác sĩ điều trị. Bác sĩ có thể đánh giá tình trạng và điều chỉnh phác đồ điều trị. Tại đây bác sĩ sẽ thực hiện bằng cách thay đổi loại thuốc hoặc giảm liều. Thông qua đó hạn chế tác dụng phụ và bảo vệ sức khỏe nướu răng. Việc theo dõi chặt chẽ và trao đổi bác sĩ về thuốc là rất cần thiết. Từ đó tránh các biến chứng lâu dài.

Cách chữa viêm lợi phì đại dứt điểm và hiệu quả
Trường hợp lợi phì đại ở mức độ nhẹ
Khi bệnh nhân được thăm khám và bác sĩ chuyên khoa Nha xác định rằng tình trạng viêm lợi phì đại vẫn còn ở giai đoạn nhẹ. Ở đây tức là mô nướu chỉ mới sưng viêm nhẹ. Đồng thời chưa có dấu hiệu lan rộng và cấu trúc răng vẫn ổn định. Khi đó phương pháp điều trị thường được ưu tiên là điều trị nội khoa. Cùng với đó là kết hợp với can thiệp làm sạch chuyên sâu.
Cụ thể, bác sĩ sẽ chỉ định sử dụng một số loại thuốc đặc thù. Thông qua đó kiểm soát triệu chứng và loại bỏ tác nhân gây bệnh. Các nhóm thuốc thường bao gồm:
- Thuốc kháng sinh: Giúp tiêu diệt vi khuẩn gây viêm, ngăn chặn sự tiến triển của nhiễm khuẩn.
- Thuốc giảm đau, kháng viêm: Có tác dụng giảm triệu chứng đau nhức, sưng tấy. Cải thiện sự thoải mái cho bệnh nhân.
Bên cạnh đó, một thủ thuật quan trọng trong giai đoạn này là lấy cao răng. Việc loại bỏ mảng bám và cao răng tích tụ giúp làm sạch khoang miệng. Đồng thơi ngăn chặn sự sinh sôi của vi khuẩn, hỗ trợ mô nướu hồi phục tốt hơn.

Trường hợp lợi phì đại ở mức độ nặng
Một số những bệnh nhân có tình trạng viêm lợi phì đại đã tiến triển nghiêm trọng. Lúc này mô nướu bị phì đại quá mức, bao phủ lên bề mặt răng. Đồng thời kèm theo dấu hiệu lây lan hoặc hình thành ổ mủ. Khi đó các biện pháp điều trị thông thường sẽ không còn hiệu quả. Lúc này, bác sĩ sẽ chỉ định can thiệp bằng các kỹ thuật ngoại khoa chuyên sâu.
Phẫu thuật nướu là phương pháp được áp dụng nhằm:
- Cắt bỏ phần mô nướu bị phì đại, hoại tử. Từ đó Loại bỏ triệt để vùng mô đã tổn thương không thể hồi phục.
- Tái tạo đường viền nướu sinh lý. Đảm bảo tính thẩm mỹ và chức năng sinh lý của nướu sau điều trị.
- Loại bỏ ổ mủ, làm sạch toàn bộ khu vực bị nhiễm trùng. Thông qua đó ngăn chặn nguy cơ vi khuẩn lây lan sang các mô và răng kế cận.
Việc điều trị đúng cách và kịp thời không chỉ giúp khôi phục sức khỏe mô nướu. Nó còn đóng vai trò quan trọng trong việc bảo tồn răng thật. Đồng thời duy trì sức khỏe răng miệng lâu dài cho người bệnh.

Cách phòng ngừa và hạn chế viêm lợi phì đại
Duy trì vệ sinh răng miệng đúng cách, đều đặn
- Chải răng đều đặn và đúng cách với ít nhất 2 lần/ngày. Thực hiện vào buổi sáng sau khi ngủ dậy và buổi tối trước khi đi ngủ. Tốt nhất nên chải sau mỗi bữa ăn khoảng 30 phút để tránh mòn men răng.
- Sử dụng bàn chải lông mềm, đầu bàn chải nhỏ. Thông qua đó dễ tiếp cận các vị trí khó làm sạch và hạn chế viêm lợi phì đại
- Chải kỹ cả 3 mặt răng (mặt ngoài, mặt trong, mặt nhai). Đặc biệt chú trọng vệ sinh kỹ kẽ răng, nơi dễ tích tụ mảng bám.
- Kết hợp sử dụng chỉ nha khoa để làm sạch mảng bám giữa các răng. Dùng nước súc miệng sát khuẩn không chứa cồn để tăng hiệu quả bảo vệ nướu.

Khám răng định kỳ và lấy vôi răng chuyên nghiệp
- Thăm khám tại phòng khám nha khoa định kỳ mỗi 6 tháng. Từ đó được đánh giá tình trạng răng – nướu tổng quát.
- Cạo vôi răng chuyên sâu giúp loại bỏ cao răng và mảng bám dưới nướu. Đây là nguyên nhân chính gây viêm nướu và viêm lợi phì đại
- Kịp thời phát hiện các dấu hiệu bất thường. Ví dụ như tụt nướu, chảy máu chân răng, viêm lợi… để có hướng điều trị sớm.
Áp dụng chế độ ăn uống khoa học, giàu dinh dưỡng
- Bổ sung các vitamin và khoáng chất cần thiết. Ví dụ như vitamin C, D, canxi, kẽm để tăng cường sức khỏe nướu và men răng.
- Ăn nhiều rau xanh, trái cây tươi, các thực phẩm giàu chất chống oxy hóa.
- Hạn chế sử dụng thực phẩm chứa nhiều đường, tinh bột, đồ uống có gas. Những thực phẩm này dễ hình thành mảng bám.
- Tránh tiêu thụ các món quá cay, quá nóng, quá lạnh hoặc quá chua. Chúng có thể gây kích ứng mô nướu.

Loại bỏ thói quen xấu và tăng cường sức đề kháng
- Ngưng nghiến răng, cắn móng tay, thở bằng miệng, hoặc dùng răng cắn vật cứng. Chúng dễ gây tổn thương mô nướu và làm nặng thêm tình trạng viêm.
- Không hút thuốc lá, vì đây là yếu tố nguy cơ cao gây tổn thương nướu. Đồng thời giảm khả năng lành thương và làm trầm trọng hóa bệnh lý răng miệng.
- Ngủ đủ giấc, sinh hoạt điều độ, hạn chế căng thẳng tâm lý. Đây là các yếu tố liên quan đến suy giảm miễn dịch và nguy cơ viêm nướu.
- Uống nhiều nước để duy trì độ ẩm trong khoang miệng và hỗ trợ làm sạch vi khuẩn.
- Tăng cường vận động thể chất, rèn luyện thể thao thường xuyên. Từ đó cải thiện tuần hoàn và sức khỏe toàn thân, trong đó có sức khỏe răng miệng.
Xem thêm:
- Xiết ăn răng là gì? Nguyên nhân và cách điều trị hiệu quả
- Cách vệ sinh lỗ răng khôn an toàn và nhanh lành
Trên đây là những điều cần biết về hiện tượng viêm lợi phì đại. Cùng với đó là cách điều trị dứt điểm và phòng ngừa biến chứng nguy hiểm. Để được tư vấn cụ thể, hãy liên hệ Nha khoa DrGreen theo thông tin bên dưới
Hotline: 0936.996.609
Fanpage: https://www.facebook.com/nhakhoadrgreen
Website: nhakhoadrgreen.vn
Hệ thống Nha khoa Dr Green:
- 40B Lạch Tray, Ngô Quyền, Hải Phòng
- HDS11 Vinhomes Marina, Lê Chân, Hải Phòng
- 38 Tân Dương, Thủy Nguyên, Hải Phòng
- 43 Trần Phú, Cẩm Phả, Quảng Ninh











