Hán răng và trám răng là những phương pháp nha khoa nhằm khắc phục răng sâu, răng mẻ. Tuy nhiên, chính vì đặc điểm là khắc phục răng sâu nên nhiều người bị nhầm. Họ nghĩ rằng trám răng và hàn răng là những phương pháp hoàn toàn khác nhau. Vậy sự thật trám răng và hàn răng khác nhau như thế nào? Hãy cùng Nha khoa DrGreen giải đáp chi tiết trong bài viết này. Cùng với đó là những trường hợp nên làm và quy trình thực hiện chi tiết.
Trám răng và hàn răng khác nhau như thế nào?
Khi nghe đến trám răng và hàm răng thì nhiều người nghĩ rằng đó là hai phương pháp phục hình răng sâu, răng mẻ. Vậy thực tế trám răng và hàn răng khác nhau như thế nào trong nha khoa. Thực tế, “hàn răng” và “trám răng” là hai cách gọi của cùng một thủ thuật phục hình. Nó không có sự khác biệt về bản chất kỹ thuật thực hiện. Đây là phương pháp điều trị được sử dụng phổ biến trong phục hình răng. Đặc biệt là phục hình lại cấu trúc răng bị sâu răng nhẹ. Ngoài ra là phục hình chấn thương, mòn răng hay các khuyết điểm bẩm sinh.
Kỹ thuật hàn/trám răng giúp tái tạo hình dạng ban đầu của răng. Đồng thời khôi phục chức năng ăn nhai và cải thiện tính thẩm mỹ của hàm răng. Vật liệu trám chuyên dụng sẽ được đưa vào vùng răng bị mất mô. Từ đó lấp đầy khoang rỗng, tạo thành một bề mặt răng liền mạch, chắc chắn và tự nhiên.
Sau khi hoàn tất quá trình hàn trám, bệnh nhân sẽ sở hữu một hàm răng đều đặn. Đồng thời có tính thẩm mỹ cao và đảm bảo được chức năng sử dụng như răng thật. Phương pháp có tính hiệu quả cao, an toàn và thời gian thực hiện nhanh chóng. Vì thế chúng ngày càng được nhiều người lựa chọn để xử lý các tổn thương răng. Đặc biệt là các tổn thương răng ở mức độ nhẹ đến trung bình.

Những trường hợp nên thực hiện hàm trám răng
Vừa rồi chúng ta đã biết được trám răng và hàn răng khác nhau như thế nào. Lúc này điều nhiều người thắc mắc đó là những trường hợp nào nên thực hiện hàm trám răng. Cụ thể những trường hợp sau nên trám răng
Hàn – trám răng trong điều trị sâu răng
Sâu răng là một trong những bệnh lý phổ biến nhất trong nha khoa. Nó biểu hiện bằng sự hình thành các lỗ sâu li ti hoặc lớn trên bề mặt răng. Nếu không được can thiệp kịp thời, sâu răng có thể tiến triển nặng hơn. Từ đó ây đau nhức, viêm tủy, nhiễm trùng chân răng hoặc thậm chí làm vỡ cấu trúc răng. Trong những trường hợp này, bác sĩ sẽ tiến hành loại bỏ mô răng bị sâu. Sau đó sẽ sử dụng vật liệu chuyên dụng để hàn trám phần răng khuyết thiếu. Từ đó giúp tái tạo hình dáng và ngăn ngừa vi khuẩn tiếp tục tấn công.

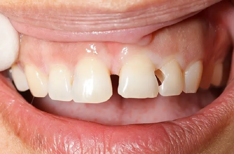
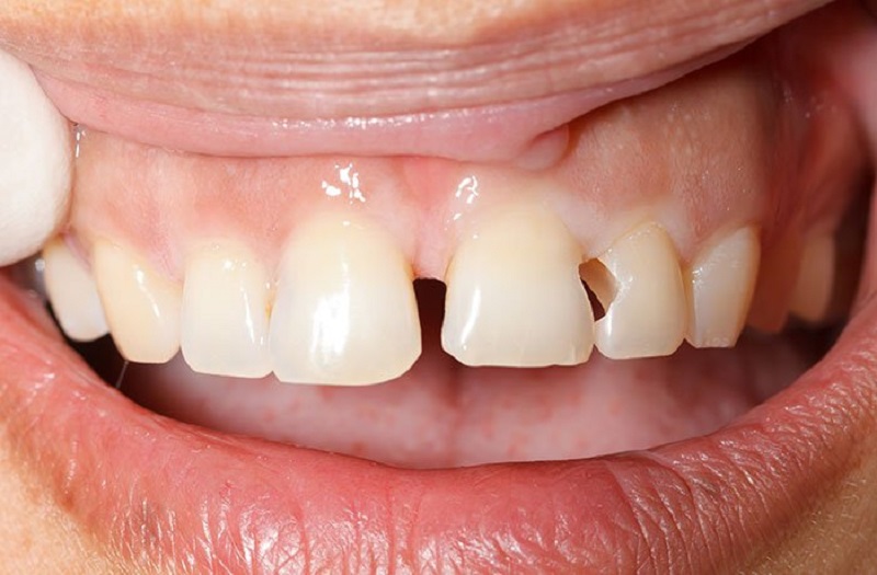
Hàn – trám răng trong trường hợp răng thưa, sứt mẻ
Các tình trạng răng bị sứt mẻ, nứt vỡ hoặc khe răng thưa thường gây mất thẩm mỹ. Theo thời gian nó sẽ ảnh hưởng đến sự tự tin trong giao tiếp. Những tổn thương này có thể do tai nạn, chấn thương cơ học. Hoặc thói quen ăn nhai không đúng cách. Phương pháp hàn – trám răng là giải pháp phục hình lý tưởng, giúp lấp đầy khe hở. Hoặc có thể dùng để tái tạo lại phần mô răng bị mất một cách chính xác và tự nhiên. Sau khi hoàn tất, răng sẽ trở lại hình dáng ban đầu với độ bền chắc cao. Cùng với đó là hài hòa với toàn bộ cung hàm.\

Hàn – trám răng để cải thiện tình trạng màu răng
Răng bị xỉn màu, ố vàng hoặc đổi màu không đều có thể do nhiều nguyên nhân. Ví dụ như hút thuốc lá, sử dụng thực phẩm có sắc tố mạnh, lạm dụng cà phê. Ngoài ra là lạm dụng rượu bia, hoặc vệ sinh răng miệng không đúng cách. Trong một số trường hợp, bác sĩ có thể chỉ định hàn trám bằng vật liệu có màu tương thích với răng tự nhiên. Thông qua đó bao phủ các vùng bị đổi màu. Phương pháp này không chỉ mang lại hiệu quả cải thiện thẩm mỹ nhanh chóng. Nó còn bảo vệ bề mặt răng khỏi các tác nhân gây hại từ bên ngoài.

Các phương pháp hàn răng trám răng phổ biến
Khi đã biết được trám răng và hàn răng khác nhau như thế nào và các trường hợp nên thực hiện thì bạn sẽ quan tâm đó là nên chọn phương hàn răng và trám răng nào. Thông thường sẽ có những phương pháp hàn răng sau:
Hàn răng bằng GIC (Glass Ionomer Cement)
GIC là vật liệu trám có thành phần gốc từ silicate và polyacrylic acid. Vật liệu này được đánh giá cao nhờ khả năng thao tác nhanh và dễ sử dụng. Một trong những đặc điểm nổi bật của GIC là tính ưa nước. Nó cho phép thực hiện trám răng hiệu quả ngay cả khi môi trường miệng không đạt. Đặc biệt là những môi trường miệng không thể cách ly hoàn toàn với nước bọt. Phương pháp này đặc biệt hữu ích khi điều trị cho trẻ em hoặc tại những vị trí khó tiếp cận trong khoang miệng.
Ngoài ra, GIC có khả năng giải phóng fluor. Đây là một khoáng chất quan trọng giúp tăng cường độ cứng của men răng. Đồng thời hỗ trợ phòng ngừa sâu răng tái phát. Tuy nhiên, nhược điểm của GIC là độ bền cơ học không cao. Vật liệu này dễ bị mòn, gãy hoặc vỡ khi chịu lực nhai mạnh. Hơn nữa, màu sắc và khả năng tạo hình thẩm mỹ của GIC còn hạn chế. Nó không phù hợp với những yêu cầu phục hình răng ở vùng răng cửa. Đó là những nơi đòi hỏi tính thẩm mỹ cao.
Hàn răng bằng Composite (nhựa tổng hợp thẩm mỹ)
Composite là loại vật liệu nhựa tổng hợp có màu sắc tương đồng với răng thật. Thông qua đó mang lại hiệu quả thẩm mỹ cao trong phục hình. Loại vật liệu này đặc biệt phù hợp với các răng vùng trước (răng cửa). Hoặc những vị trí yêu cầu tính thẩm mỹ tối ưu. Composite có đặc tính đàn hồi tốt và thời gian đông cứng chậm (khi chưa chiếu đèn quang trùng hợp). Từ đó tạo điều kiện thuận lợi cho bác sĩ trong việc tạo hình chi tiết. Đồng thời khôi phục lại hình dạng giải phẫu tự nhiên của răng
Tuy nhiên, composite vẫn tồn tại một số hạn chế. Vật liệu này có khả năng chịu lực thấp hơn so với sứ. Ngoài ra nó có xu hướng bị đổi màu sau một thời gian sử dụng. Đặc biệt nếu tiếp xúc thường xuyên với thực phẩm sẫm màu hoặc thuốc lá. Hơn nữa,, hiện tượng co ngót vật liệu khi đông cứng có thể dẫn đến khe hở viền trám. Thông qua đó làm tăng nguy cơ sâu răng thứ phát. Do đó, sau một khoảng thời gian, người bệnh có thể cần trám lại để đảm bảo hiệu quả phục hình.

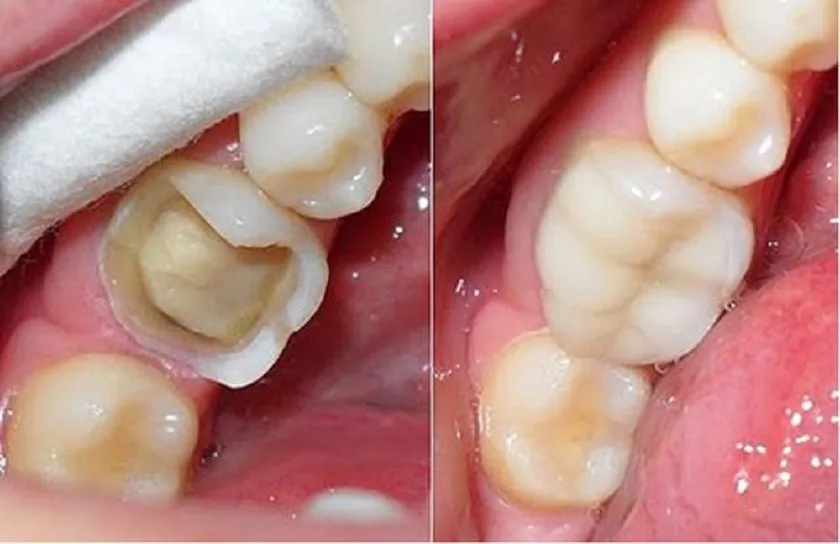
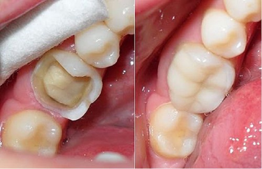
Hàn răng bằng sứ nguyên khối Inlay/Onlay
Inlay/Onlay là kỹ thuật phục hình gián tiếp. Nó sử dụng vật liệu sứ nguyên khối được chế tác chính xác trong phòng labo. Khối sứ này có nguồn gốc từ thủy tinh silicate được nung ở nhiệt độ cao. Đồng thời nó cho độ cứng vượt trội và khả năng chịu lực tốt. Điều này đặc biệt phù hợp với những vùng răng hàm – nơi chịu tải nhai lớn. Vật liệu sứ nguyên khối có màu sắc tự nhiên, độ trong cao. Ngoài ra là khả năng tương thích sinh học tuyệt vời, không gây kích ứng mô mềm.
Phục hình Inlay/Onlay bằng sứ không chỉ đảm bảo yếu tố thẩm mỹ. Nó còn có độ bền vượt trội, giúp kéo dài tuổi thọ của phục hình. Thậm chí hiệu quả có thể kéo dài lên đến hàng chục năm nếu được chăm sóc đúng cách. Tuy nhiên, quy trình thực hiện Inlay/Onlay phức tạp hơn. Kỹ thuật này đòi hỏi phải lấy dấu răng và chế tác tại labo. Do đó chi phí và thời gian điều trị sẽ cao hơn so với phương pháp trám răng trực tiếp.
Xem thêm:
- Răng sâu nhẹ có nên trám không? Lời giải đáp cụ thể
- Răng đã lấy tủy có nên bọc sứ không? Lời giải đáp cụ thể
Trên đây là lời giải đáp cho thắc mắc trám răng và hàn răng khác nhau như thế nào. Cùng với đó là các trường hợp nên thực hiện và các kỹ thuật hàn trám răng phổ biến. Để được tư vấn cụ thể, hãy liên hệ Nha khoa DrGreen theo thông tin bên dưới
Hotline: 0936.996.609
Fanpage: https://www.facebook.com/nhakhoadrgreen
Website: nhakhoadrgreen.vn
Hệ thống Nha khoa Dr Green:
- 40B Lạch Tray, Ngô Quyền, Hải Phòng
- HDS11 Vinhomes Marina, Lê Chân, Hải Phòng
- 38 Tân Dương, Thủy Nguyên, Hải Phòng
- 43 Trần Phú, Cẩm Phả, Quảng Ninh











