Nhổ răng khôn là điều mà đa số mọi người đều sẽ phải trải qua trong đời. Tuy nhiên vì đây là răng vĩnh viễn nên sau khi nhổ răng khôn sẽ để lại lỗ răng khôn. Đây chính là điều mà nhiều người thắc mắc nhiều nhất khi vệ sinh. Nếu không vệ sinh kỹ càng thì có thể gây ra nhiễm trùng và ảnh hưởng các răng bên cạnh. Hiểu được điều này, Nha khoa DrGreen xin hướng dẫn chi tiết tới các bạn cách vệ sinh lỗ răng khôn an toàn và nhanh lành nhất trong bài viết này
Vì sao xuất hiện lỗ sau khi nhổ răng khôn
Trước khi tìm hiểu cách vệ sinh lỗ răng khôn an toàn và nhanh lành thì cần biết tại sao xuất hiện lỗ răng khôn. Răng khôn là các chiếc răng hàm nằm ở vị trí cuối cùng của mỗi cung hàm. Chúng thường xuất hiện ở góc trong cùng của hàm trên và hàm dưới. Đây là những chiếc răng mọc muộn nhất trong quá trình phát triển của bộ răng vĩnh viễn. Thông thường răng khôn bắt đầu mọc khi con người bước vào độ tuổi từ 17 đến 25.
Vì mọc sau cùng, các răng khác trong hàm đã ổn định và hoàn thiện. Vì thế răng khôn không còn đủ không gian để phát triển bình thường. Điều này dẫn đến tình trạng răng khôn thường mọc lệch, nghiêng. Thậm chí răng khôn có thể nằm ngang, gây cản trở cho các răng kế cận. Thông thường không phải mọi trường hợp răng khôn đều gây ra vấn đề. Tuy nhiên những chiếc răng này có thể gây ra nhiều khó khăn và biến chứng. Đặc biệt khi không được theo dõi và điều trị kịp thời.
Quá trình nhổ răng khôn là một thủ thuật ngoại khoa. Chúng thường được thực hiện dưới sự gây tê tại chỗ. Sau khi nhổ, bệnh nhân có thể gặp phải tình trạng đau nhức và sưng tấy nhẹ tại vùng phẫu thuật. Đồng thời sẽ có một khoảng trống tạm thời trên cung hàm. Quá trình hồi phục sau khi nhổ răng khôn thường kéo dài từ vài ngày đến vài tuần. Trong thời gian này, việc chăm sóc đúng cách và theo dõi sau phẫu thuật là rất quan trọng. Từ đó tránh các biến chứng sau nhổ, như nhiễm trùng hay chảy máu kéo dài.

Biến chứng khi không thực hiện cách vệ sinh lỗ răng khôn
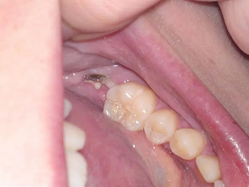
Sau khi nhổ răng khôn, sẽ có xuất hiện của một lỗ hổng tại vị trí ổ răng. Đây là hiện tượng hoàn toàn bình thường trong quá trình lành thương. Đồng thời nó cũng không phải là dấu hiệu bất thường. Tuy nhiên, một số người chủ quan không thực hiện cách vệ sinh lỗ răng khôn đúng cách và an toàn. Lúc này lỗ nhổ răng không liền miệng hoặc khâu không kín. Điều này có thể trở thành môi trường thuận lợi cho vi khuẩn phát triển. Từ đó dẫn đến nhiều biến chứng nghiêm trọng cho sức khỏe răng miệng.
Biến chứng có thể xảy ra khi lỗ nhổ răng không được chăm sóc đúng cách:
- Đau nhức dữ dội kéo dài từ 2 – 3 tuần sau nhổ.
- Miệng có mùi hôi khó chịu.
- Cảm giác trống rỗng trong hốc răng, không thấy mô lành.
- Sưng nướu tại vùng nhổ răng, đỏ, căng tức.
- Có thể xuất hiện dịch mủ trắng hoặc vàng chảy ra từ vết thương.
- Sốt nhẹ, nổi hạch vùng cổ, cơ thể mệt mỏi.
- Cảm giác đau âm ỉ, khó chịu, nhất là khi há miệng hoặc nhai.
- Xương ổ răng bị tổn thương hoặc đáy ổ răng bị ép quá mức. Từ đó dẫn đến sưng tấy nghiêm trọng và kéo dài.
- Lỗ nhổ răng có xu hướng rộng hơn bình thường. Vì thế cần nhiều thời gian hơn để lành hoàn toàn.
- Sưng nhiều kèm theo đau nhức có thể ảnh hưởng đến việc ăn uống.
- Thậm chí ảnh hưởng sinh hoạt hàng ngày, làm chậm quá trình phục hồi.

Mất bao nhiêu thời gian để lỗ răng khôn lành lại
Một trong những yếu tố ảnh hưởng đến cách vệ sinh lỗ răng khôn đó là thời gian lành lại của lỗ răng khôn. Quá trình hồi phục sau khi nhổ răng khôn thường kéo dài từ 1 đến 4 tháng. Trong đó vết thương sẽ trải qua các giai đoạn lành lại cụ thể như sau:
24 đến 48 giờ sau khi nhổ răng
Ngay sau khi nhổ răng, vùng nướu sẽ xuất hiện một cục máu đông tại chỗ vết thương. Cục máu này đóng vai trò quan trọng trong việc bảo vệ vết thương. Đặc biệt là khỏi sự xâm nhập của vi khuẩn và thức ăn. Cục máu đông không chỉ giúp cầm máu. Nó còn tạo môi trường lý tưởng cho quá trình lành thương diễn ra. Trong giai đoạn này, bệnh nhân cần đặc biệt chú ý không làm vỡ hoặc di chuyển cục máu đông. Điều này có thể làm chậm quá trình phục hồi và tăng nguy cơ nhiễm trùng.

7 đến 21 ngày sau khi phẫu thuật
Trong khoảng thời gian từ 7 đến 21 ngày, các mô nướu sẽ bắt đầu tái tạo. Sau đó chúng sẽ lấp đầy dần lỗ hổng do việc nhổ răng. Vết thương sẽ có dấu hiệu giảm sưng tấy và không còn chảy máu. Đây là giai đoạn quan trọng để kiểm soát tình trạng viêm. Thông qua đó đảm bảo vết thương không bị nhiễm trùng và vết khâu được lành lặn. Sự tái tạo mô trong giai đoạn này giúp giảm cảm giác đau đớn và khó chịu cho bệnh nhân.
1 đến 4 tháng sau phẫu thuật
Đến giai đoạn này, vết thương sau nhổ răng khôn đã lành hẳn. Lỗ hổng trên nướu được lấp đầy và quá trình lành mô tiếp tục diễn ra. Việc lành mô được diễn ra cho đến khi khu vực này phục hồi hoàn toàn. Tuy nhiên, quá trình lành thương có thể khác nhau giữa các cá nhân. Điều này tùy thuộc vào yếu tố như cơ địa, sức khỏe chung. Ngoài ra là chế độ ăn uống và việc chăm sóc sau phẫu thuật. Trong giai đoạn này, bệnh nhân cần tiếp tục duy trì cách vệ sinh lỗ răng khôn cẩn thận. Đồng thời tái khám theo chỉ định của bác sĩ để đảm bảo không có biến chứng xảy ra.

Cách vệ sinh lỗ răng khôn đúng cách, an toàn và nhanh lành
Cách vệ sinh lỗ răng khôn và khoang miệng đúng cách
Cách vệ sinh lỗ răng khôn đúng cách sau khi nhổ răng khôn đóng vai trò then chốt. Đặc biệt trong quá trình hồi phục và phòng ngừa biến chứng. Ví dụ như nhiễm trùng, viêm ổ răng hoặc tích tụ mảng bám. Dưới đây là những nguyên tắc cần tuân thủ:
Giai đoạn 24 giờ đầu sau nhổ răng
- Không chải răng, súc miệng mạnh, khạc nhổ hoặc đưa lưỡi – tay vào vị trí nhổ răng. Những hành động này có thể làm bong cục máu đông. Cục máu đông là yếu tố quan trọng giúp vết thương cầm máu và lành lại.
- Không sử dụng ống hút. Tánh hút thuốc lá, uống rượu hoặc ăn đồ ăn quá nóng trong ngày đầu.
Từ ngày thứ 2 trở đi
- Sử dụng bàn chải lông mềm, di chuyển theo vòng tròn. Đồng thời tránh tác động mạnh vào vùng nhổ răng. Duy trì tần suất 2 – 3 lần/ngày sau bữa ăn và trước khi ngủ.
- Vệ sinh lưỡi hàng ngày bằng dụng cụ chuyên dụng. Tránh hạn chế vi khuẩn tích tụ trong khoang miệng.
- Không sử dụng vật cứng hoặc sắc nhọn như tăm tre để làm sạch răng. Từ đó tránh gây tổn thương vùng niêm mạc hoặc làm vết thương chảy máu.
- Sử dụng chỉ nha khoa để làm sạch các kẽ răng. Thực hiện thao tác nhẹ nhàng, tránh làm tổn thương vùng lợi gần vị trí nhổ.
- Súc miệng bằng nước muối sinh lý loãng sau khi đánh răng hoặc ăn uống. Từ đó làm sạch nhẹ nhàng và ngăn chặn vi khuẩn phát triển tại vùng nhổ răng.

Chế độ dinh dưỡng phù hợp để hỗ trợ lành thương
Chế độ ăn uống hợp lý sau khi nhổ răng khôn cũng quan trọng trong cách vệ sinh lỗ răng khôn an toàn. Đây là yếu tố có tác động trực tiếp đến tốc độ phục hồi của vết thương. Điều đầu tiên lưu ý là hạn chế ăn nhai gần khu vực lỗ răng khôn vừa nhổ. Người bệnh cần lưu ý một số điểm sau:
- Ưu tiên thực phẩm mềm, dễ nuốt. Ví dụ như Cháo, súp, sinh tố, sữa chua, khoai nghiền… Chúng giúp giảm áp lực lên hàm và hạn chế nguy cơ thức ăn mắc vào lỗ răng.
- Tránh thực phẩm giòn, khô và dễ tạo vụn như Bánh quy, hạt, kẹo cứng. Điều này có thể để lại mảnh vụn mắc vào ổ răng gây nhiễm trùng.
- Hạn chế thực phẩm dai, cần nhai nhiều như thịt gân, mực, kẹo dẻo… Chúng khiến hàm phải hoạt động mạnh, dễ làm tác động đến vết thương.
- Không dùng thức ăn hoặc đồ uống quá nóng, quá lạnh, cay hoặc chua. Những yếu tố này có thể kích thích vết thương. Từ đó làm gia tăng nguy cơ sưng viêm hoặc chảy máu.

Những lưu ý để nhổ răng khôn hạn chế để lại lỗ
Vừa rồi chúng ta đã biết được các cách vệ sinh lỗ răng khôn an toàn và hiệu quả. Tuy nhiên, người ta thường nói “Phòng bệnh hơn chữa bệnh”. Trong trường hợp bạn nên chú ý những điều sau để hạn chế lỗ răng khôn khi nhổ. Cụ thể như sau
Lưu ý trước khi nhổ răng
Trước khi tiến hành nhổ răng khôn, bệnh nhân cần tìm hiểu kỹ về phương pháp nhổ răng. Đảm bảo phương pháp an toàn, không đau để có sự chuẩn bị tốt nhất cho quá trình điều trị. Một yếu tố quan trọng không kém là lựa chọn một địa chỉ nha khoa uy tín. Đây là nơi có đội ngũ bác sĩ chuyên môn cao, nhiều kinh nghiệm. Đồng thời có cơ sở vật chất, máy móc hiện đại phục vụ thăm khám và điều trị. Việc này sẽ đảm bảo quá trình nhổ răng diễn ra hiệu quả, an toàn và không gây đau đớn. Từ đó giúp bệnh nhân giảm thiểu lo âu và hồi phục nhanh chóng.
Lưu ý khi thực hiện nhổ răng
Trong quá trình nhổ răng, bệnh nhân cần tuân thủ đúng mọi hướng dẫn của bác sĩ. Thông qua đó đảm bảo sự an toàn và hiệu quả của thủ thuật. Trong suốt quá trình phẫu thuật, không nên tự ý cử động miệng. Hoặc làm các động tác gây áp lực lên khu vực xung quanh vị trí nhổ răng. Điều đặc biệt là không đá lưỡi vào hốc răng đã nhổ. Điều này có thể làm cục máu đông bị vỡ. Từ đó dẫn đến chảy máu và làm chậm quá trình lành thương. Sau khi răng được nhổ ra ngoài, bác sĩ sẽ yêu cầu bệnh nhân cắn chặt miếng gạc. Thông qua đó cầm máu, ngăn ngừa vi khuẩn xâm nhập vết thương và nhiễm trùng.

Lưu ý sau khi nhổ răng
Sau khi nhổ răng, việc cầm máu đúng cách là vô cùng quan trọng. Bệnh nhân nên cắn chặt miếng gạc tại vị trí nhổ răng trong khoảng 30 đến 45 phút. Đồng thời, áp dụng túi chườm lạnh lên vùng má tại vị trí nhổ trong khoảng 10 đến 15 phút. Thông qua đó giảm sưng tấy và đau đớn. Khi chườm, cần di chuyển túi chườm một cách nhẹ nhàng. Hãy thực hiện theo chuyển động tròn hoặc lên xuống. Tránh giữ nguyên một chỗ quá lâu để không gây tổn thương da do lạnh quá mức.
Trong trường hợp đau nhức, bệnh nhân có thể sử dụng thuốc giảm đau theo chỉ định bác sĩ. Tuyệt đối không tự ý mua thuốc giảm đau hay sử dụng thuốc với liều lượng quá mức. Bệnh nhân cũng cần tránh làm việc quá sức trong vài ngày đầu sau phẫu thuật. Đồng thời ngủ đủ giấc và kê cao gối khi nằm để hạn chế tình trạng chảy máu. Đặc biệt, việc tuân thủ các lịch hẹn tái khám với bác sĩ để kiểm tra vết thương là rất quan trọng. Điều này giúp bác sĩ theo dõi quá trình hồi phục. Đồng thời xử lý kịp thời nếu có bất kỳ vấn đề gì phát sinh.
Xem thêm:
- Khi nào không nên nhổ răng khôn và các thông tin liên quan
- Răng khôn đã nhổ có mọc lại không? Lời giải đáp cụ thể
Trên đây là các cách vệ sinh lỗ răng khôn an toàn và nhanh lành lặn. Cùng với đó là cách hạn chế lỗ răng khôn khi nhổ hiệu quả nhất. Để được tư vấn cụ thể, hãy liên hệ Nha khoa DrGreen theo thông tin bên dưới
Hotline: 0936.996.609
Fanpage: https://www.facebook.com/nhakhoadrgreen
Website: nhakhoadrgreen.vn
Hệ thống Nha khoa Dr Green:
- 40B Lạch Tray, Ngô Quyền, Hải Phòng
- HDS11 Vinhomes Marina, Lê Chân, Hải Phòng
- 38 Tân Dương, Thủy Nguyên, Hải Phòng
- 43 Trần Phú, Cẩm Phả, Quảng Ninh











