
Chảy máu chân răng sau khi lấy cao răng là một hiện tượng không quá phổ biến, nhưng vẫn có không ít người gặp phải. Dù thường

Việc chăm sóc răng miệng định kỳ đóng vai trò vô cùng quan trọng trong việc duy trì sức khỏe tổng thể và ngăn ngừa các bệnh

Khi mới bắt đầu niềng răng, một trong những thắc mắc phổ biến mà nhiều người gặp phải là “Niềng răng bao lâu thì ăn được cơm?”

“Niềng răng 2 hàm mất bao lâu?” là câu hỏi được rất nhiều người quan tâm khi cân nhắc điều trị chỉnh nha. Thời gian niềng răng

Dây cung niềng răng là một bộ phận quan trọng trong quá trình chỉnh nha, đóng vai trò quyết định trong việc di chuyển và định hình

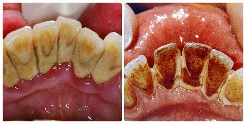
Cao răng là những mảng bám bám chặt vững chắc vào bề mặt răng theo thời gian. Tuy nhiên, nhiều người vẫn còn chủ quan việc chăm











