
Răng bị mảng bám vàng là một trong những vấn đề răng miệng nhiều người mắc phải hiện nay. Đặc biệt, tình trạng này không chỉ xảy

Cạo vôi răng là một trong những thủ thuật nha khoa phổ biến và đơn giản nhất hiện nay. Tuy nhiên, đây là phương pháp có ý

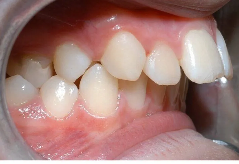
Răng hô là một trong vấn đề thẩm mỹ răng miệng mà nhiều người mắc phải hiện nay. Hơn nữa, vấn đề này xảy ra phổ biến

Làm răng sứ 4 răng cửa là giải pháp thẩm mỹ được rất nhiều người lựa chọn để cải thiện nụ cười và khắc phục những khuyết

Răng hô là một trong những vấn đề nha khoa mà nhiều người mắc phải hiện nay. Người mắc phải thường cảm thấy mặc cảm khi giao

Răng ố vàng là tình trạng phổ biến mà nhiều người gặp phải, gây ảnh hưởng không nhỏ đến thẩm mỹ và sự tự tin khi giao











