Cao răng bị vỡ là hiện tượng khá phổ biến, nhưng không phải ai cũng biết cách xử lý đúng cách khi gặp phải tình trạng này. Hiện tượng này xảy ra khi các mảng cao răng cứng, bám chắc vào răng tự nhiên bị bong tróc hoặc vỡ ra. Mặc dù không phải lúc nào cũng gây nguy hiểm ngay lập tức. Nhưng nếu không được xử lý kịp thời, tình trạng này có thể dẫn đến các vấn đề về sức khỏe răng miệng như viêm nướu hay sâu răng. Trong bài viết này, Nha khoa DrGreen sẽ cung cấp thông tin chi tiết và những lưu ý quan trọng để giúp bạn xử lý tình trạng này hiệu quả nhất!
Tổng quan về hiện tượng cao răng bị vỡ
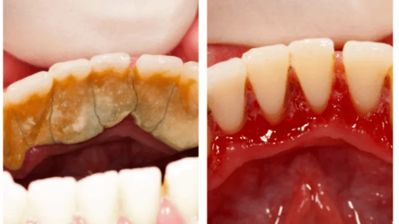
Cao răng, hay vôi răng, là lớp mảng bám cứng hình thành trên bề mặt răng, chủ yếu do sự tích tụ của vi khuẩn, thức ăn thừa và các khoáng chất trong nước bọt. Khi vi khuẩn phân hủy thức ăn, chúng sẽ tạo ra axit có thể phá hủy men răng, dẫn đến tình trạng viêm nướu, viêm nha chu, sâu răng và hôi miệng. Cao răng không chỉ ảnh hưởng đến sức khỏe răng miệng mà còn có thể làm mất thẩm mỹ do làm ố màu răng.
Hiện tượng cao răng bị vỡ xảy ra khi lớp cao răng đã tích tụ quá lâu, trở nên cứng và dày, khiến cho chúng dễ bị bong tróc tự nhiên hoặc khi chịu tác động mạnh từ bên ngoài. Điều này thường xảy ra khi bạn ăn đồ cứng như hạt, xương, hay kẹo cứng, hoặc khi đánh răng quá mạnh hoặc không đúng cách. Thực chất, cao răng tự vỡ cũng có thể mang lại lợi ích cho sức khỏe răng miệng vì giúp loại bỏ bớt sự tích tụ vi khuẩn, giảm mùi hôi và cải thiện màu sắc của răng. Tuy nhiên, hiện tượng cao răng vỡ tự nhiên cần được chú ý. Vì nếu các mảnh vỡ không được loại bỏ kịp thời, chúng có thể gây viêm lợi, khó chịu, hoặc bị mắc kẹt trong khoang miệng.

Cao răng bị vỡ có nguy hiểm hay không?
Câu trả lời là không nguy hiểm, nhưng cần chú ý. Tại sao lại như vậy? Bởi khi cao răng tự vỡ, một phần mảng bám cứng đầu gây hại cho răng miệng đã được loại bỏ. Điều này giúp giảm thiểu nguy cơ mắc các bệnh về răng như viêm nướu, sâu răng.
Tuy nhiên, cao răng bị vỡ có thể gây nguy hiểm trong trường hợp:
- Mảnh vỡ còn sót lại: Các mảnh vỡ cao răng có thể còn sót lại trong kẽ răng hoặc nướu, gây kích ứng, thậm chí gây viêm nướu.
- Không loại bỏ hoàn toàn nguyên nhân: Cao răng tự vỡ chỉ là một phần nhỏ của vấn đề. Nguyên nhân gốc rễ gây ra cao răng là do vệ sinh răng miệng không đúng cách, chế độ ăn uống không hợp lý. Nếu không khắc phục được những nguyên nhân này, cao răng sẽ tiếp tục hình thành và gây hại cho răng.

Các nguyên nhân khiến cao răng tự vỡ
Cao răng bị vỡ có thể do nhiều nguyên nhân khác nhau, thường liên quan đến các tác động cơ học hoặc các vấn đề về sức khỏe răng miệng:
- Các tác động cơ học: Ăn thực phẩm quá cứng như hạt, xương, kẹo cứng có thể tạo ra lực lớn lên răng và cao răng, khiến các mảng cao răng tự vỡ hoặc bong tróc. Khi bạn nhai đồ cứng, răng và cao răng phải chịu một lực lớn, đặc biệt là đối với những mảng cao răng đã tích tụ lâu ngày và trở nên cứng hơn. Ngoài ra, nếu bạn đánh răng quá mạnh, sử dụng bàn chải cứng, xỉa răng quá sâu thì có thể làm bong tróc một phần cao răng.
- Vấn đề răng miệng: Răng bị sâu, mòn men hoặc có các vết nứt sẽ dễ bị vỡ cao răng hơn. Khi men răng và nướu bị tổn thương, cao răng không còn được bám chặt vào răng, dễ dẫn đến hiện tượng vỡ hoặc bong tróc. Việc không chăm sóc đúng cách các vấn đề răng miệng có thể khiến cao răng dễ bị vỡ
- Yếu tố tuổi tác: Theo thời gian, độ bền của răng và chân răng giảm đi, đặc biệt ở những người lớn tuổi. Mảng cao răng khi tích tụ lâu dài có thể dễ dàng bị vỡ do sự yếu đi của cấu trúc răng. Đây là lý do tại sao nhiều người cao tuổi dễ gặp phải tình trạng cao răng tự vỡ ngay cả khi không có tác động mạnh.

Lưu ý sau khi loại bỏ vôi răng bị vỡ
Khi vôi răng bị vỡ và đã được xử lý, cần tuân thủ một số lưu ý để đảm bảo răng miệng luôn khỏe mạnh và không gặp phải các vấn đề về răng sau này:
- Không ăn đồ quá nóng hay quá lạnh: Sau khi cao răng bị vỡ và được loại bỏ, các răng có thể trở nên nhạy cảm hơn, đặc biệt là phần men răng có thể bị tổn thương. Việc ăn thực phẩm quá nóng hoặc quá lạnh có thể gây đau nhức, kích ứng và làm tổn thương nướu, khiến tình trạng răng miệng trở nên nghiêm trọng hơn.
- Không hút thuốc lá, uống trà, cafe: Hút thuốc và uống trà, cafe có thể làm tăng lượng mảng bám và cao răng mới trên răng, đồng thời làm men răng bị ố vàng. Việc này cũng ảnh hưởng đến sức khỏe nướu và dễ gây viêm lợi. Hơn nữa, nicotine trong thuốc lá có thể làm giảm khả năng phục hồi của mô nướu sau khi đã xử lý cao răng.
- Hạn chế ăn đồ ăn có đường: Đường là nguồn thức ăn chính của vi khuẩn gây mảng bám và sâu răng. Sau khi loại bỏ cao răng, việc tiêu thụ quá nhiều đường sẽ tạo điều kiện cho vi khuẩn phát triển, từ đó hình thành cao răng mới và các vấn đề về răng miệng. Do đó, hạn chế đồ ngọt giúp duy trì sự sạch sẽ cho răng miệng.
- Hình thành thói quen vệ sinh răng miệng tốt: Để ngăn ngừa cao răng tái phát, việc duy trì thói quen vệ sinh răng miệng hàng ngày rất quan trọng. Đánh răng ít nhất 2 lần mỗi ngày, dùng chỉ nha khoa và nước súc miệng có thể giúp loại bỏ mảng bám và ngăn ngừa cao răng mới hình thành. Việc này cũng giúp bảo vệ nướu và hạn chế vi khuẩn gây bệnh.
- Kiểm tra sức khỏe răng miệng định kỳ: Việc kiểm tra răng miệng định kỳ với nha sĩ giúp phát hiện và xử lý sớm các vấn đề răng miệng, bao gồm tình trạng cao răng. Các bác sĩ nha khoa cũng sẽ loại bỏ cao răng tích tụ thường xuyên để ngăn ngừa các bệnh lý liên quan đến nướu, sâu răng và các bệnh viêm nhiễm.

Có nên lấy cao răng thường xuyên không?
Để tránh trường hợp cao răng bị vỡ, bạn nên chủ động đi lấy cao răng để làm sạch răng miệng. Tuy nhiên, việc có nên lấy cao răng thường xuyên hay không là câu hỏi mà nhiều người quan tâm. Câu trả lời không đơn giản là “có” hay “không” mà còn phụ thuộc vào nhiều yếu tố:
- Tình trạng răng miệng: Nếu bạn có nhiều cao răng, hút thuốc, uống nhiều cà phê, trà, hoặc có các bệnh về răng miệng thì nên lấy cao răng thường xuyên hơn (khoảng 3-4 tháng/lần).
- Vệ sinh răng miệng: Nếu bạn chăm sóc răng miệng tốt, đánh răng đều đặn, sử dụng chỉ nha khoa thì có thể kéo dài khoảng thời gian giữa hai lần lấy cao răng (khoảng 6 tháng/lần).
- Lời khuyên của nha sĩ: Nha sĩ là người có chuyên môn, họ sẽ tư vấn cho bạn thời gian thích hợp để lấy cao răng dựa trên tình trạng răng miệng cụ thể của bạn.
Lưu ý, lấy cao răng là tốt nhưng không nên lấy quá nhiều, mà nên dựa có sự thăm khám của bác sĩ. Nếu lấy cao răng quá thường xuyên, men răng có thể bị mòn, khiến răng trở nên nhạy cảm hơn. Hơn nữa, chi phí lấy cao răng dù không đắt, nhưng cũng không hề rẻ nếu bạn thực hiện với tần suất dày đặc. Cách tốt nhất là bạn nên đi khám định kỳ 6 tháng/lần để bác sĩ tư vấn.

Xem thêm:
Cao răng bị vỡ không phải lúc nào cũng là vấn đề nguy hiểm, nhưng nếu không xử lý đúng cách, tình trạng này có thể gây ra các vấn đề về răng miệng như viêm nướu hay hôi miệng. Để bảo vệ sức khỏe răng miệng, bạn nên giữ vệ sinh sạch sẽ, tránh thói quen xấu và đặc biệt, lên lịch thăm khám nha sĩ định kỳ. Đây là cách tốt nhất để loại bỏ cao răng, ngăn ngừa tình trạng tích tụ và giảm nguy cơ biến chứng. Cảm ơn bạn đã theo dõi bài viết và hãy tiếp tục ủng hộ website Nha khoa DrGreen trong thời gian tới!
HỆ THỐNG NHA KHOA DRGREEN
- Địa chỉ 1: 40B Lạch Tray, Ngô Quyền, Hải Phòng
- Địa chỉ 2: HDS11 Vinhomes Marina, Lê Chân, Hải Phòng
- Địa chỉ 3: 38 Tân Dương, Thủy Nguyên, Hải Phòng
- Địa chỉ 4: 43 Trần Phú, Cẩm Phả, Quảng Ninh
- Hotline: 0936.996.609
- Website: https://nhakhoadrgreen.vn/
- Fanpage: https://www.facebook.com/nhakhoadrgreen
- Email: nhakhoadrgreen@gmail.com











