Hiện nay, phương pháp lấy cao răng là phương pháp giúp đem lại hàm răng trắng đẹp. Tuy nhiên, trong một số trường hợp, việc lấy cao răng có thể xảy ra tác dụng phụ. Trong đó, việc chảy máu chân răng sau khi thực hiện là xảy ra phổ biến nhất. Thông thường nguyên nhân có thể là do mảng bám vôi răng quá dày và cứng. Hoặc Bác sĩ mạnh tay làm tổn thương đến cấu trúc răng. Vậy tại sao lại chảy máu chân răng sau khi lấy cao răng? Cách giải quyết ra sao cho an toàn? Hãy cùng Nha khoa DrGreen tìm hiểu trong bài viết này
Tại sao phải lấy cao răng?
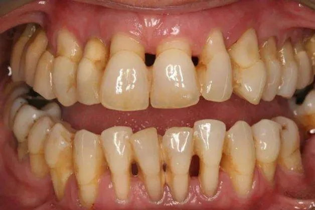
Cao răng là một lớp bám cứng trên bề mặt răng. Nó hình thành từ sự tích tụ của mảng bám thức ăn. Kết hợp vi khuẩn và khoáng chất từ nước bọt. Đây là môi trường lý tưởng cho vi khuẩn phát triển. Từ đó gây ra nhiều bệnh lý nghiêm trọng về răng miệng.
Hậu quả khi không làm sạch cao răng:
- Cao răng chứa vi khuẩn gây viêm lợi. Dẫn đến tình trạng nướu dễ tổn thương và chảy máu.
- Vi khuẩn trong cao răng sản sinh các hợp chất lưu huỳnh bay hơi. Gây ra tình trạng hơi thở khó chịu.
- Cao răng không được làm sạch kịp thời sẽ lấn sâu xuống dưới nướu. Gây viêm nha chu và làm tiêu xương ổ răng. Điều này khiến răng trở nên ê buốt, lung lay và có nguy cơ gãy rụng.
- Nếu viêm nha chu tiến triển nặng, vi khuẩn có thể xâm nhập vào tủy răng. Từ đó gây viêm tủy và nhiều biến chứng nguy hiểm.
- Cao răng còn có thể gây ra các bệnh lý khác như viêm niêm mạc miệng. Thậm chí có thể bệnh tim mạch do vi khuẩn lan rộng từ ổ răng miệng vào máu.

Chảy máu chân răng sau khi lấy cao răng có nguy hiểm không
Thông thường, lấy cao răng là một thủ thuật đơn giản và an toàn, không gây biến chứng. Tuy nhiên, nếu sau khi thực hiện, tình trạng chảy máu chân răng sau khi lấy cao răng diễn ra liên tục. Thậm chí một số trường hợp không có dấu hiệu dừng lại. Kèm theo sưng lợi, hơi thở có mùi hôi. Lúc này đây có thể là dấu hiệu của một vấn đề nghiêm trọng.
Nguyên nhân tiềm ẩn của chảy máu kéo dài:
- Việc lấy cao răng có thể đã tác động quá sâu đến chân răng hoặc mô nướu. Gtổn thương mà cơ thể không thể tự phục hồi.
- Một số trường hợp nướu đã bị viêm từ trước. Vì thế lấy cao răng có thể làm tình trạng này nghiêm trọng hơn. Từ đó dẫn đến nhiễm trùng và chảy máu không kiểm soát.
- Tại các cơ sở nha khoa không uy tín, dụng cụ và thiết bị y tế không được khử trùng đúng quy trình. Điều này làm tăng nguy cơ nhiễm trùng khoang miệng. Từ đó dẫn đến các biến chứng nguy hiểm.
Nếu không được xử lý kịp thời, chảy máu liên tục sau khi lấy cao răng có thể gây ra các biến chứng:
- Vi khuẩn từ vùng tổn thương có thể lan sâu vào các cấu trúc răng miệng. Gây viêm nha chu, tiêu xương, hoặc thậm chí mất răng.
- Nếu nhiễm trùng lan rộng, vi khuẩn có thể xâm nhập vào tủy răng. Gây đau nhức và nguy cơ phải điều trị tủy.
- Nhiễm trùng từ khoang miệng có thể lan ra toàn cơ thể. Từ đó ảnh hưởng đến các cơ quan khác như tim mạch.

Nguyên nhân gây chảy máu chân răng sau khi lấy cao răng
Ảnh hưởng từ các bệnh lý răng miệng
Một số bệnh nhân có tiền sử hoặc đang mắc các bệnh lý răng miệng. Ví dụ như sâu răng, viêm chân răng, viêm nướu, hoặc viêm nha chu. Luc này thường đối mặt với nhiều khó khăn khi thực hiện lấy cao răng. Cụ thể như sau:
Các khu vực răng và nướu bị tổn thương thường rất nhạy cảm. Khi tiến hành lấy cao răng, việc tác động có thể gây ra hiện tượng chảy máu chân răng sau khi lấy cao răng. Thậm chí có thể gây ê buốt răng nghiêm trọng.
Trong các trường hợp này, các bác sĩ khuyến nghị nên điều trị triệt để. Bệnh nhân càn điều trị các bệnh lý răng miệng trước khi lấy cao răng. Điều này giúp giảm nguy cơ tổn thương. Đồng thời cải thiện hiệu quả của quá trình làm sạch cao răng.
Cấu trúc cao răng quá dày và cứng
Cao răng tích tụ quá lâu ngày sẽ trở nên dày, cứng. Chúng bám chặt vào bề mặt răng, lan rộng xuống dưới nướu. Điều này làm cho quá trình lấy cao răng trở nên phức tạp và gây tổn thương nướu.
Khi cao răng quá dày, bác sĩ phải tác động mạnh hơn. Thậm chí can thiệp vào các vùng nướu sâu. Từ đó dẫn đến chảy máu chân răng sau khi lấy cao răng từ các mao mạch nướu. Nếu không được xử lý kịp thời, tình trạng này có thể gây viêm nướu hoặc biến chứng nghiêm trọng hơn. Cao răng càng cứng, mức độ tác động càng lớn. Từ đó làm tăng nguy cơ chảy máu liên tục hoặc gây tổn thương nặng đến nướu.

Cơ địa của mỗi người
Cơ địa là yếu tố ảnh hưởng lớn đến mức độ chảy máu khi lấy cao răng. Một số bệnh nhân có cơ địa đặc thù dễ gặp phải tình trạng này, đặc biệt là:
- Những người mắc bệnh máu khó đông, kết hợp với cao răng lan xuống nướu. Lúc này họ sẽ thường gặp phải tình trạng chảy máu liên tục. Trước khi thực hiện, bệnh nhân nên khai báo tình trạng y tế chi tiết với bác sĩ. Từ đó được đánh giá và tư vấn biện pháp an toàn.
- Những trường hợp thiếu hụt protein hoặc vitamin C cũng khiến răng và nướu yếu hơn. Từ đó dễ tổn thương khi lấy cao răng. Bạn cần duy trì chế độ dinh dưỡng hợp lý. Thông qua đó cải thiện sức khỏe răng miệng trước khi tiến hành thủ thuật.
Tay nghề của bác sĩ
Tay nghề và kinh nghiệm của bác sĩ là yếu tố then chốt quyết định hiệu quả và mức độ an toàn của việc lấy cao răng.
Những bác sĩ có tay nghề cao sẽ có khả năng xử lý tốt. Đặc biệt ở ngay cả những trường hợp phức tạp. Từ đó giúp giảm đau và hạn chế tối đa nguy cơ chảy máu hoặc tổn thương. Trong một số trường hợp đơn giản, bác sĩ non tay nghề cũng có thể gây ra tổn thương nướu. Thậm chí làm chảy máu chân răng sau khi lấy cao răng không cần thiết. Điều này xảy ra do thiếu kỹ năng hoặc sử dụng công cụ không phù hợp.
Bệnh nhân nên lựa chọn cơ sở nha khoa uy tín. Tìm hiểu kỹ về đội ngũ bác sĩ và trang thiết bị y tế trước khi quyết định lấy cao răng.

Cách khắc phục lấy cao răng bị chảy máu chân răng
Lấy cao răng bị chảy máu cần phải làm gì?
Sau khi thực hiện thủ thuật lấy cao răng, một số bệnh nhân có thể gặp phải hiện tượng chảy máu chân răng. Để giảm thiểu tình trạng này và giúp bạn cảm thấy dễ chịu hơn, một trong những biện pháp đơn giản nhưng hiệu quả là súc miệng với nước muối. Nước muối có tác dụng khử khuẩn vết thương. Nó giúp làm sạch và sát trùng khoang miệng. Đồng thời giảm thiểu nguy cơ nhiễm trùng.
Trong trường hợp máu vẫn tiếp tục chảy, bạn có thể dùng một miếng bông gòn sạch hoặc băng gạc. Sau đó cắn chặt vào vị trí bị chảy máu trong khoảng 5 – 10 phút. Lực cắn nhẹ nhàng sẽ giúp máu bắt đầu đông lại và ngừng chảy. Nếu cảm thấy có dấu hiệu ê buốt răng hoặc đau nhức ở vùng lợi, đặc biệt là khu vực chân răng, bạn có thể sử dụng thuốc giảm đau theo đúng chỉ định của bác sĩ nha khoa.
Tuy nhiên, nếu tình trạng chảy máu và đau đớn không cải thiện sau khi áp dụng các phương pháp trên, hoặc nếu triệu chứng trở nên nghiêm trọng hơn, bạn nên đến ngay các cơ sở nha khoa uy tín để được bác sĩ thăm khám và đưa ra phương án xử lý phù hợp. Việc này không chỉ giúp bạn giảm đau nhanh chóng mà còn tránh những biến chứng có thể xảy ra trong quá trình phục hồi.

Cách phòng ngừa chảy máu chân răng hiệu quả
Để đảm bảo hiệu quả điều trị và giúp nướu răng hồi phục tốt, bạn cần tuân thủ các hướng dẫn chăm sóc sau:
- Trong 2 giờ đầu không ăn bất kỳ loại thức ăn nào để tránh gây kích ứng cho nướu.
- Nên ăn các món mềm, dễ nhai như cháo, súp, hoặc thức ăn không cần lực cắn mạnh.
- Tránh các loại thực phẩm dai, cứng, hoặc dễ làm tổn thương vùng nướu vừa được làm sạch.
- Đặc biệt trong vài ngày đầu sau cạo vôi, nướu có thể nhạy cảm. Việc ăn thực phẩm nóng hoặc cay có thể gây kích ứng và làm chậm quá trình lành.
- Hạn chế sử dụng rượu bia trong ít nhất 72 giờ. Từ đó không làm chậm quá trình hồi phục của nướu và tránh nguy cơ viêm nhiễm.
- Đánh răng hai lần mỗi ngày bằng bàn chải lông mềm để tránh làm tổn thương nướu.
- Đảm bảo thay bàn chải sau mỗi 3 tháng sử dụng.
- Thay thế thói quen dùng tăm bằng chỉ nha khoa. Từ đó loại bỏ mảng bám mà không làm tổn thương chân răng.
- Sử dụng nước muối sinh lý hoặc dung dịch chuyên dụng để làm sạch và kháng khuẩn khoang miệng.
- Liên hệ với nha sĩ để được tư vấn thêm về các sản phẩm bảo vệ men răng và hỗ trợ nướu lành nhanh hơn.
Xem thêm:
- Răng bọc sứ lâu năm bị đau nhức do đâu? Cách điều trị
- Bọc răng sứ có lấy tủy không? Những điều cần biết
Trên đây là những điều cần biết về hiện tượng chảy máu chân răng sau khi lấy cao răng. Cùng với đó là cách điều trị và phòng ngừa hiệu quả. Để được tư vấn cụ thể, hãy liên hệ Nha khoa DrGreen theo thông tin bên dưới
Hotline: 0936.996.609
Fanpage: https://www.facebook.com/nhakhoadrgreen
Website: nhakhoadrgreen.vn
Hệ thống Nha khoa Dr Green:
- 40B Lạch Tray, Ngô Quyền, Hải Phòng
- HDS11 Vinhomes Marina, Lê Chân, Hải Phòng
- 38 Tân Dương, Thủy Nguyên, Hải Phòng
- 43 Trần Phú, Cẩm Phả, Quảng Ninh











