Viêm lợi là một trong những vấn đề răng miệng rất nhiều người mắc phải hiện nay. Bệnh này thường do vi khuẩn và mảng bám không được vệ sinh tích tụ trên răng gây ra. Tuy nhiên, trong lúc bị viêm lợi, nhiều người có cảm giác có cục hạch ở cổ. Lúc này, nhiều người thắc mắc xem việc có hạch khi bị viêm lợi có nguy hiểm không. Hiểu được điều này, Nha khoa DrGreen xin chia sẻ chi tiết tới các bạn những điều cần biết về việc viêm lợi nổi hạch trong bài viết này. Cùng với đó là cách phòng ngừa hiệu quả
Viêm lợi nổi hạch là gì?
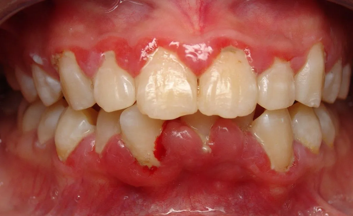
Tình trạng viêm lợi nổi hạch (Sưng lợi nổi hạch) là hiện tượng không hiếm trong bệnh lý răng miệng. Dưới góc nhìn chuyên môn, khoang miệng có mối liên hệ chặt chẽ với các cơ quan tai – mũi – họng. Do đó, một số lúc xuất hiện viêm nhiễm tại vùng nướu hoặc các cấu trúc quanh răng. Khi này phản ứng nổi hạch có thể xảy ra ở vị trí như vùng hàm, cổ, chân răng hoặc mô lợi.
Thông thường, viêm lợi biểu hiện với các triệu chứng đau nhức, sưng tấy gây khó chịu cho người bệnh. Khi được can thiệp điều trị kịp thời bằng các biện pháp chuyên môn, tình trạng viêm sẽ giảm dần. Cùng với đó là cảm giác đau cũng sẽ thuyên giảm. Tuy nhiên, một số những trường hợp viêm lợi tiến triển nặng. Khi này bệnh nhân có thể gặp phải cơn đau dữ dội kèm theo hiện tượng nổi hạch. Điều này cho thấy phản ứng viêm lan rộng hơn trong hệ thống bạch huyết.
Dù vậy, nổi hạch do sưng lợi là một biểu hiện sinh lý bình thường của cơ thể. Nó xảy ra trước tác nhân viêm nhiễm và không nhất thiết phải quá lo ngại. Điều quan trọng là người bệnh cần chủ động thăm khám nha khoa. Từ đó được chẩn đoán chính xác và áp dụng phương pháp điều trị phù hợp. Đồng thời kiểm soát cơn đau, hạn chế biến chứng và đảm bảo sức khỏe lâu dài.

Viêm lợi có nổi hạch không?
Vừa rồi chúng ta đã biết viêm lợi nổi hạch là gì. Lúc này điều nhiều người quan tâm nhất đó là hiện tượng sưng lợi nổi hạch có thật không. Hạch xuất hiện ở vùng cổ khi bị viêm lợi thực chất là hạch bạch huyết. Đây là một thành phần quan trọng trong hệ thống miễn dịch của cơ thể. Chúng là nơi các tế bào bạch cầu thực hiện chức năng nhận diện, bắt giữ yếu tố gây hại. Sau đó tiêu diệt vi sinh vật gây hại như vi khuẩn hoặc virus. Đồng thời, đây cũng là nơi sản sinh kháng thể. Từ đó giúp cơ thể chống lại các tác nhân nhiễm trùng.
Trong trường hợp viêm lợi, vi khuẩn tấn công vào mô nướu gây ra viêm tại chỗ. Hệ miễn dịch sẽ phản ứng bằng cách điều động các tế bào bạch cầu. Tại đây tế bào bạch cầu sẽ đến vùng tổn thương để tiêu diệt vi khuẩn. Sự tập trung lớn các tế bào miễn dịch tại đây khiến hạch sưng lên. Đây là phản ứng bình thường của cơ thể trong quá trình chống lại nhiễm trùng.
Phần lớn các trường hợp nổi hạch sưng lợi đều lành tính và ự thoái lui trong vòng 1–2 tuần. Đặc biệt ở những người có hệ miễn dịch khỏe mạnh. Tuy nhiên, một số trường hợp tình trạng sưng hạch kéo dài quá hai tuần. Đồng thời đi kèm các dấu hiệu bất thường như đau dữ dội, sốt cao, sụt cân. Lúc này người bệnh nên đến cơ sở y tế để được thăm khám. Đồng thời loại trừ những bệnh lý nghiêm trọng hơn, chẳng hạn như bệnh lý ác tính.

Nguyên nhân gây ra hiện tượng viêm lợi bị nổi hạch
Viêm nướu có thể làm nổi hạch
Viêm nướu là một tình trạng viêm nhiễm phổ biến của mô nướu. Nó có thể kèm theo hiện tượng viêm lợi nổi hạch lympho. Nguyên nhân chính của viêm nướu thường từ việc vệ sinh răng miệng không đầy đủ. Từ đó dẫn đến thức ăn bị mắc kẹt trong các kẽ răng. Điều này tạo điều kiện cho vi khuẩn phát triển và tấn công mô nướu, gây viêm nhiễm. Khi viêm nhiễm xảy ra, hạch lympho tại khu vực xung quanh nướu sẽ nổi lên. Từ đó phản ứng bảo vệ mô nướu, đồng thời làm cho nướu trở nên sưng tấy.
Các dấu hiệu điển hình của viêm nướu bao gồm:
- Nướu sưng đỏ thẫm, mềm và có cảm giác đau nhức khi chạm vào.
- Hơi thở có mùi hôi. Có thể đi kèm với hiện tượng chảy máu chân răng khi đánh răng hoặc khi ăn.
- Nướu dễ đau khi ăn các thực phẩm khô hoặc cứng.
- Cảm giác sưng nóng ở khu vực hàm. Đồng thời kèm theo triệu chứng sốt nhẹ, nổi hạch lympho, mất ngủ và chán ăn.
- Răng trở nên nhạy cảm, thậm chí có thể lung lay.

Sâu răng có thể gây ra hiện tượng sưng lợi nổi hạch
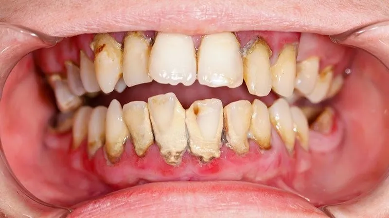
Sâu răng, khi phát triển đến giai đoạn nghiêm trọng, cũng có thể là nguyên nhân gây sưng lợi nổi hạch. Khi vi khuẩn xâm nhập vào tủy răng, sẽ gây ra đau nhức dữ dội, kèm theo sưng nướu. Thậm chí gây sưng má, mưng mủ ở chân răng, và nổi hạch lympho. Tình trạng này có thể gặp ở mọi đối tượng, nhưng phổ biến nhất là ở trẻ nhỏ. Điều này do trẻ chưa ý thức được tầm quan trọng của vệ sinh răng miệng. Đồng thời có sự thiếu quan tâm từ phía phụ huynh. Thông qua đó khiến tình trạng sâu răng dễ dàng xảy ra và phát triển mạnh.
Các dấu hiệu nhận biết sâu răng nghiêm trọng bao gồm:
- Xuất hiện các vết đen hoặc nâu trên bề mặt răng, dần dần hình thành các lỗ sâu lớn hơn.
- Nướu bị sưng, đau, và dễ chảy máu, đặc biệt khi vệ sinh răng miệng.
- Đau buốt răng khi ăn các thức ăn nóng, lạnh, chua, ngọt. Đồng thời có thể kèm theo tình trạng sốt và nổi hạch.
- Hơi thở có mùi hôi, và cơn đau không giảm dù đã sử dụng thuốc giảm đau.

Viêm tủy răng ảnh hưởng đến phần lợi
Viêm tủy răng là một tình trạng nghiêm trọng. Nó thường xảy ra khi răng bị chấn thương dẫn đến vỡ hoặc sứt mẻ. Thông qua đó tạo điều kiện cho vi khuẩn xâm nhập vào tủy răng. Viêm nhiễm tủy răng cũng có thể xuất phát từ việc sâu răng không điều trị kịp thời. Khi vi khuẩn tấn công tủy răng, mô nướu sẽ bị sưng đỏ. Đồng thời hạch lympho sẽ nổi lên như một phản ứng bảo vệ. Viêm tủy răng có thể dẫn đến biến chứng nghiêm trọng ngoài viêm lợi trùm nổi hạch. Trong đó bao gồm mất răng và nhiễm trùng máu nếu không được điều trị đúng cách.
Các triệu chứng của viêm tủy răng bao gồm:
- Cơn đau răng dai dẳng, đặc biệt là khi ăn thức ăn quá nóng, lạnh, hoặc có vị chua, ngọt.
- Răng ê buốt khi tiếp xúc với không khí lạnh hoặc khi đánh răng.
- Nướu sưng đỏ, kèm theo sốt nhẹ hoặc cao, nổi hạch lympho.
- Hơi thở có mùi hôi, cơn đau lan rộng sang các khu vực xung quanh.

Viêm nha chu ở giai đoạn nghiêm trọng
Viêm nha chu là một bệnh lý nghiêm trọng của mô mềm và mô cứng xung quanh răng. Đây thường là kết quả của tình trạng viêm nướu không được điều trị kịp thời. Khi bệnh viêm nha chu phát triển, các mô nướu sẽ bị tổn thương nghiêm trọng. Từ đó có thể gây ra các biến chứng như răng lung lay, thậm chí là rụng răng. Viêm nha chu nếu không được phát hiện và điều trị kịp thời có thể dẫn đến mất răng. Thậm chí ảnh hưởng nghiêm trọng đến sức khỏe tổng thể.
Ngoài triệu chứng sưng nướu nổi hạch, viêm nha chu còn kèm theo các dấu hiệu khác như:
- Hơi thở có mùi hôi nặng, tụt lợi và lộ chân răng.
- Nướu sưng đỏ, dễ chảy máu, và có cảm giác đau nhức khi ăn hoặc khi vệ sinh răng miệng.
- Cảm giác uể oải, mệt mỏi kèm theo triệu chứng sốt nhẹ và nổi hạch.
- Lợi mưng mủ, có thể tiết dịch từ các khe nướu.

Biến chứng nguy hiểm của hiện tượng viêm lợi nổi hạch
Nguy cơ viêm hạch, nhiễm trùng huyết
Nếu viêm lợi nổi hạch không được điều trị kịp thời, vi khuẩn có thể lan ra xa hơn. Thông qua đó gây ra viêm hạch bạch huyết. Tình trạng này có thể tạo thành các ổ nhiễm trùng lớn hơn, đe dọa đến sức khỏe của người bệnh. Đặc biệt, khi vi khuẩn xâm nhập vào máu, nó có thể dẫn đến nhiễm trùng huyết. Đây là một tình trạng nguy hiểm có thể gây tử vong.
Nhiễm trùng huyết xảy ra khi các chất độc từ vi khuẩn vào máu. Thông qua đó chúng sẽ gây ra phản ứng viêm toàn thân. Người bệnh có thể trải qua các triệu chứng như sốt cao, nhịp tim nhanh. Thậm chí có thể gây khó thở và cảm giác mệt mỏi cực độ. Đây là một tình trạng khẩn cấp và cần được điều trị ngay lập tức.

Ảnh hưởng đến sức khỏe toàn thân và hệ miễn dịch
Viêm lợi nổi hạch không chỉ gây khó chịu mà còn ảnh hưởng đến sức khỏe tổng thể. Hệ miễn dịch sẽ phải làm việc vất vả hơn để chống lại nhiễm trùng. Từ đó dẫn đến suy giảm khả năng phòng ngừa virus và vi khuẩn khác. Điều này có thể làm tăng nguy cơ mắc các bệnh lý khác. Ví dụ cảm cúm thông thường cho đến các bệnh lý nghiêm trọng hơn.
Giai đoạn phục hồi có thể kéo dài lâu và đòi hỏi phải chăm sóc bản thân tốt hơn. Việc này không chỉ ảnh hưởng đến thể chất. Nó òn có thể tác động đến tâm lý, dẫn đến stress và lo âu. Ngoài ra, một số nghiên cứu cũng chỉ ra rằng viêm lợi có liên quan đến các bệnh lý khác. Ví dụ như tiểu đường, bệnh tim mạch, hay các vấn đề về hô hấp.

Nguy cơ mất răng do viêm nướu
Khi bị viêm lợi nổi hạch, quá trình viêm sẽ làm nướu dần tách ra khỏi chân răng. Thông qua đó tạo ra khoảng trống giữa mô nướu và bề mặt răng. Nếu tình trạng viêm không được điều trị kịp thời, vi khuẩn sẽ phát triển mạnh mẽ. Sau đó chúng sẽ xâm nhập vào các mô nâng đỡ răng. Trong đó bao gồm mô lợi, dây chằng nha chu và xương ổ răng.
Sự nhiễm trùng này gây ra sự suy yếu của cấu trúc nâng đỡ. Điều này sẽ làm giảm khả năng bám chặt của răng vào xương hàm. Kết quả là răng sẽ trở nên lỏng lẻo, dễ bị lung lay. Cuối cùng có thể bị mất đi nếu không có biện pháp điều trị kịp thời.
Cách điều trị dứt điểm và phòng ngừa tái phát viêm lợi nổi hạch
Để tránh những hậu quả nghiêm trọng do viêm lợi nổi hạch gây ra, người bệnh cần tìm cách xử lý và phòng ngừa đúng cách. Dưới đây là một số biện pháp điều trị và phòng ngừa hiệu quả:
Điều trị viêm lợi bằng kháng sinh và chăm sóc răng miệng đúng cách
- Khi phát hiện có dấu hiệu viêm lợi nổi hạch, bước đầu tiên là tới ngay bác sĩ nha khoa. Thông qua đó được thăm khám và điều trị. Các bác sĩ có thể kê đơn thuốc kháng sinh để tiêu diệt vi khuẩn gây bệnh. Đây là bước rất quan trọng vì nếu không được điều trị, tình trạng có thể tiến triển xấu đi.
- Song song với việc dùng thuốc, người bệnh cũng cần thực hiện chăm sóc răng miệng cẩn thận. Đánh răng ít nhất hai lần mỗi ngày, sử dụng chỉ nha khoa để làm sạch giữa các kẽ răng. Sau đó súc miệng với nước muối ấm có thể giúp giảm tình trạng viêm nhiễm.
- Người bệnh cũng nên tránh các loại thực phẩm có chứa nhiều đường. Đồng thời thức ăn cay nóng có thể làm tăng thêm tình trạng viêm. Uống đủ nước và bổ sung vitamin cũng đóng vai trò quan trọng khi phục hồi sức khỏe.

Thăm khám nha khoa định kỳ để phát hiện và điều trị sớm các vấn đề liên quan
- Một trong những cách hiệu quả nhất để phòng ngừa tình trạng viêm lợi nổi hạch chính là đi khám nha khoa định kỳ. Thông thường, người lớn nên đến nha sĩ ít nhất hai lần một năm. Thông qua dó kiểm tra và làm sạch răng miệng.
- Qua các lần thăm khám, bác sĩ sẽ phát hiện sớm các vấn đề răng miệng. Ví dụ như sâu răng, viêm lợi hay bất kỳ dấu hiệu nào đáng lo ngại khác. Việc điều trị kịp thời sẽ giúp ngăn chặn sự phát triển của bệnh. Đồng thời bảo vệ sức khỏe toàn diện.
- Ngoài ra, người bệnh cũng nên theo dõi tình trạng sức khỏe của mình. Một số lúc bất kỳ dấu hiệu nào như sưng đau, chảy máu nướu hay nổi hạch. Lúc này hãy tham khảo ý kiến của bác sĩ ngay lập tức.
Có thể bạn quan tâm:
- Viêm lợi phì đại là gì? Nguyên nhân và cách chữa trị
- Viêm lợi trùm có tự khỏi được không? Lời giải đáp cụ thể
Viêm lợi nổi hạch là một tình trạng nghiêm trọng có thể dẫn đến nhiều vấn đề sức khỏe. Vì thế nhận biết nguyên nhân và mức độ nguy hiểm của tình trạng này rất quan trọng. Thông qua đó có biện pháp điều trị và có giải pháp phòng ngừa hiệu quả. Để được tư vấn cụ thể, hãy liên hệ Nha khoa DrGreen theo thông tin bên dưới
Hotline: 0936.996.609
Fanpage: https://www.facebook.com/nhakhoadrgreen
Website: nhakhoadrgreen.vn
Hệ thống Nha khoa Dr Green:
- 40B Lạch Tray, Ngô Quyền, Hải Phòng
- HDS11 Vinhomes Marina, Lê Chân, Hải Phòng
- 38 Tân Dương, Thủy Nguyên, Hải Phòng
- 43 Trần Phú, Cẩm Phả, Quảng Ninh











