Răng vĩnh viễn là giai đoạn quan trọng về sự phát triển về thể chất của trẻ. Chính vì thế giai đoạn này là giai đoạn mà cha mẹ cần chú trọng chăm sóc răng cho trẻ. Tuy nhiên, hiện nay, rất nhiều trẻ khi vừa mới mọc răng vĩnh viễn bị sâu. Bệnh này nếu không chữa trị kịp thời có thể gây ra biến chứng nghiêm trọng. Vậy hiện tượng răng vĩnh viễn của trẻ bị sâu do đâu? Điều trị và phòng ngừa như thế nào sao cho hiệu quả? Hãy cùng Nha khoa DrGreen tìm hiểu chi tiết trong bài viết dưới đây
Răng vĩnh viễn là gì?
Trước khi tìm hiểu răng vĩnh viễn của trẻ bị sâu do đâu thì cần biết răng vĩnh viễn là gì. Răng vĩnh viễn là những chiếc răng mọc lên sau khi răng sữa rụng hoàn toàn. Đây là quá trình tự nhiên trong sự phát triển của cơ thể con người. Nó bắt đầu từ khoảng 6 tuổi và kéo dài cho đến khi 12-13 tuổi. Lúc này hầu hết các răng sữa non nớt đã được thay thế bằng răng vĩnh viễn. Những chiếc răng này có vai trò quan trọng trong việc duy trì chức năng ăn nhai. Đồng thời đảm bảo phát âm và thẩm mỹ tốt nhất cho trẻ suốt đời.
Các chiếc răng vĩnh viễn sẽ tồn tại suốt quãng đời còn lại mỗi đứa trẻ. Ngoại trừ khi có sự can thiệp của các yếu tố bên ngoài như chấn thương. Ngoài ra là bệnh lý hoặc vệ sinh răng miệng không đúng cách. Tuy nhiên, nếu một chiếc răng vĩnh viễn bị gãy hoặc rụng, nó sẽ không tự mọc lại. Điều này khác so với quá trình thay thế chiếc răng sữa trong giai đoạn phát triển.
Vì vậy, việc chăm sóc răng miệng từ khi răng vĩnh viễn bắt đầu mọc rất quan trọng. Việc này cần duy trì suốt quãng đời còn lại để đảm bảo sức khỏe răng miệng lâu dài. Tại đây trẻ cần duy trì hói quen như đánh răng đúng cách. Ngoài ra, sử dụng chỉ nha khoa, và thăm khám nha sĩ định kỳ là những yếu tố then chốt. Từ đó giúp bảo vệ và duy trì các chiếc răng vĩnh viễn luôn khỏe mạnh.

Các dấu hiệu của việc răng vĩnh viễn của trẻ bị sâu
Sâu răng là một trong những bệnh lý răng miệng phổ biến và gặp ở mọi lứa tuổi. Việc phát hiện sớm các dấu hiệu răng vĩnh viễn của trẻ bị sâu là yếu tố then chốt. Từ đó ngăn chặn tình trạng tiến triển nặng và hạn chế biến chứng nguy hiểm. Dưới đây là các biểu hiện điển hình giúp bạn nhận biết sớm bệnh sâu răng:
- Hơi thở có mùi hôi là triệu chứng thường gặp dễ thấy nhất. Điều này do vi khuẩn gây sâu răng phân hủy thức ăn thừa. Sau đó hình thành mảng bám gây mùi khó chịu trong khoang miệng.
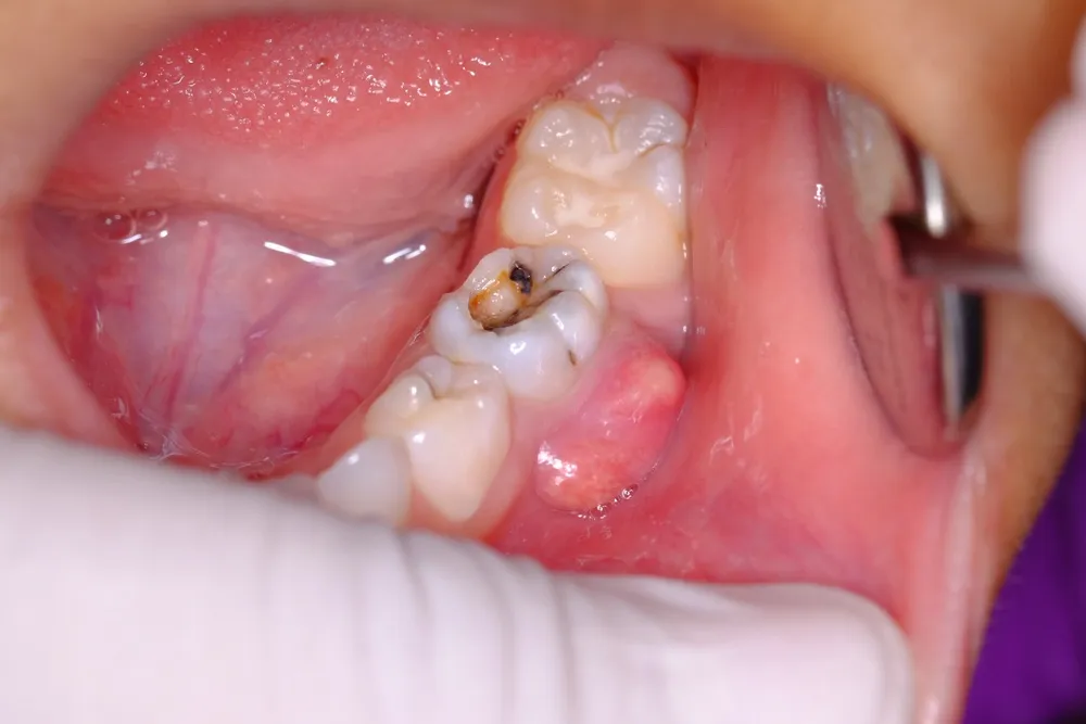
- Những đốm màu trắng đục, đen hoặc nâu là dấu hiệu của tổn thương men răng3. Đây là giai đoạn khởi phát của sâu răng. Nếu không được điều trị kịp thời sẽ phát triển thành lỗ sâu rõ rệt.
- Một số lúc nhói buốt khi tiếp xúc với thực phẩm quá nóng, quá lạnh, chua hoặc ngọt. Đây là là biểu hiện của men răng bị bào mòn và ngà răng bên trong bắt đầu lộ ra. Từ đó gây kích thích thần kinh răng.
- Vùng răng tổn thương thường có xu hướng ngả màu sẫm hơn so với các răng còn lại. Tình trạng đổi màu là dấu hiệu cho thấy mô răng bên trong đang bị phá hủy.
- Trẻ có thể gặp phải những cơn đau nhức dữ dội, dai dẳng. Đặc biệt là vào ban đêm hoặc khi nhai.
- Một số trường hợp sâu răng nghiêm trọng có thể gây sốt, sưng nướu. Thậm chí lan sang vùng mặt hoặc cổ. Đây là tình trạng viêm nhiễm đã lan rộng và cần được can thiệp y tế khẩn cấp.

Các giai đoạn của việc răng vĩnh viễn của trẻ bị sâu
Quá trình răng vĩnh viễn của trẻ bị sâu thường trải qua ba giai đoạn chính. Trong đó mỗi giai đoạn có những biểu hiện và mức độ nghiêm trọng khác nhau:
Giai đoạn bắt đầu khởi phát sâu răng vĩnh viễn
Ở giai đoạn đầu, răng vĩnh viễn của trẻ bị sâu thường không gây ra đau nhức mạnh mẽ. Tuy nhiên trẻ có thể cảm thấy ê buốt hoặc nhạy cảm khi ăn các món đồ nóng, lạnh, khi hít gió. Hoặc khi có sự thay đổi đột ngột về áp suất môi trường. Sự ê buốt này có thể kéo dài hơn bình thường. Thậm chí trong một số trường hợp có thể xuất hiện cơn đau thoáng qua.
Tuy nhiên, các triệu chứng này chưa rõ rệt và không gây khó chịu nhiều. Chính vì thế, cha mẹ của trẻ ít chú ý và có xu hướng bỏ qua. Những trong thực tế, sâu răng mới khởi phát là thời điểm lý tưởng để điều trị. Thông qua đó ngăn chặn sự phát triển của sâu răng nếu phát hiện sớm.

Giai đoạn sâu răng phát triển và tổn thương mô răng
Khi răng vĩnh viễn của trẻ bị sâu tiến triển, mức độ đau và các triệu chứng trở nên rõ rệt hơn. Lúc này, vi khuẩn đã ăn mòn cấu trúc men răng và ngà răng. Thông qua đó tạo ra những lỗ sâu với các kích thước khác nhau. Đau răng trở nên thường xuyên hơn và dữ dội hơn, đặc biệt là vào ban đêm.
Cảm giác đau có thể lan rộng và không chỉ xuất hiện khi ăn uống. Nó còn kéo dài, ảnh hưởng đến sinh hoạt hằng ngày của bệnh nhân. Giai đoạn này có thể gây khó khăn lớn trong việc ăn uống. Từ đó khiến bệnh nhân cảm thấy đau đớn khi nhai hoặc nuốt. Khi đó cần phải có sự can thiệp y tế kịp thời để tránh biến chứng.

Giai đoạn răng vĩnh viễn của trẻ bị sâu năng
Đến giai đoạn sâu răng nặng, vi khuẩn đã tấn công sâu vào tủy răng. Từ đó gây viêm tủy hoặc hoại tử tủy. Răng vĩnh viễn của trẻ bị sâu lúc này đã mất đi phần lớn cấu trúc. Khi đó chúng có thể bị gãy hoặc vỡ do vi khuẩn tiếp tục phá hủy mô răng. Đây là giai đoạn nghiêm trọng nhất của bệnh sâu răng. Nó có thể dẫn đến các biến chứng như viêm tủy, viêm chóp răng. Thậm chí là nhiễm trùng toàn thân nếu không được điều trị kịp thời.
Điều trị ở giai đoạn này thường phức tạp hơn. Trong đó bao gồm việc điều trị tủy (nhổ tủy) hoặc phục hình răng bằng các phương pháp. Ví dụ như trám, bọc răng sứ hoặc thậm chí là nhổ răng nếu răng không thể cứu vãn.

Nguyên nhân gây ra hiện tượng răng vĩnh viễn của trẻ bị sâu
Vệ sinh răng miệng sai cách
Việc vệ sinh răng miệng không đúng cách là một trong những nguyên nhân phổ biến dẫn đến răng vĩnh viễn của trẻ bị sâu. Một số trẻ đánh răng không đúng phương pháp hoặc sử dụng bàn chải không phù hợp. Lúc này vi khuẩn và mảng bám sẽ không được loại bỏ hoàn toàn khỏi bề mặt răng.
Điều này tạo ra môi trường lý tưởng cho vi khuẩn phát triển và tấn công răng. Thông qua đó hình thành các mảng bám và gây sâu răng. Ngoài ra, một số trường hợp trẻ đánh răng quá mạnh hoặc quá nhẹ. Chúng cũng có thể làm tổn thương nướu và men răng. Từ đó làm tăng nguy cơ mắc các bệnh lý răng miệng khác, bao gồm sâu răng vĩnh viễn.
Thói quen ăn quá nhiều đồ ngọt
Các loại bánh ngọt, kẹo, và thực phẩm chứa nhiều đường luôn là món ăn ưa thích của trẻ nhỏ. Tuy nhiên, những món ăn này không chỉ có hàm lượng đường cao. Nó còn dễ bám vào bề mặt răng.Từ đó tạo thành môi trường lý tưởng cho vi khuẩn trong khoang miệng.

Tại đây vi khuẩn tiếp xúc với các phần thức ăn còn sót lại. Khi đó chúng sẽ chuyển hóa đường thành axit. Axit này kết hợp với nước bọt tạo thành mảng bám trên răng. Thông qua đó ăn mòn men răng và gây ra việc răng vĩnh viễn của trẻ bị sâu. Nếu không được làm sạch kịp thời, axit này sẽ gây ra sự tổn thương nghiêm trọng. Đặc biệt là tổn thương đến men răng và hình thành sâu răng vĩnh viễn.
Men răng yếu
Men răng là lớp bảo vệ tự nhiên của răng. Nó đóng vai trò như một tấm chắn ngăn cản vi khuẩn xâm nhập. Tuy nhiên, một số lúc lớp men này bị tổn thương hoặc yếu đi do các yếu tố bên ngoài. Ví dụ như ăn uống không hợp lý, vệ sinh răng miệng kém, hoặc các bệnh lý răng miệng. Lúc này vi khuẩn sẽ dễ dàng xâm nhập và phá hủy cấu trúc răng. Một khi men răng bị hư hỏng nghiêm trọng, quá trình sâu răng sẽ tiến triển. Thậm chí răng vĩnh viễn của trẻ bị sâu nhanh chóng và không thể hồi phục. Từ đó dẫn đến tình trạng sâu răng vĩnh viễn.

Các cách điều trị răng vĩnh viễn của trẻ bị sâu hiệu quả
Trám răng vĩnh viễn
Tại Nha khoa DrGreen, điều trị răng vĩnh viễn của trẻ bị sâu là một dịch vụ phổ biến. Đặc biệt là trong các trường hợp răng bị sâu nhưng vẫn chưa ảnh hưởng đến tủy. Khi trẻ bị sâu răng, bác sĩ sẽ tiến hành làm sạch hoàn toàn vùng răng bị sâu. Sau đó loại bỏ các mô răng bị nhiễm khuẩn và mảng bám. Từ đó tránh sự lây lan của vi khuẩn. Tại đây bác sĩ sẽ trám lại lỗ sâu bằng vật liệu Composite. Đây là một loại nhựa nhân tạo cao cấp có thể phục hồi hình dạng và chức năng ăn nhai. Đồng thời đảm bảo tính thẩm mỹ.
Mức chi phí cho dịch vụ trám răng vĩnh viễn tại Nha khoa DrGreen dao động từ 300.000 đến 450.000 đồng mỗi chiếc răng. Mức giá này tùy thuộc vào mức độ sâu răng và vật liệu sử dụng. Điều này giúp đảm bảo cho trẻ có thể tiếp tục ăn uống một cách bình thường. Đồng thời không gặp phải bất kỳ sự khó chịu nào.

Chữa tủy răng
Một số trường hợp răng vĩnh viễn của trẻ bị sâu đã tiến triển nghiêm trọng. Lúc này bác sĩ sẽ thực hiện điều trị tủy (hay còn gọi là chữa tủy). Quy trình này bắt đầu bằng việc gây tê tại chỗ. Từ đó đảm bảo trẻ không cảm thấy đau đớn trong suốt quá trình điều trị. Sau khi gây tê, bác sĩ sẽ khoan một lỗ nhỏ trên bề mặt răng để tiếp cận buồng tủy.
Tại đây, bác sĩ sẽ tiến hành lấy tủy viêm nhiễm ra khỏi buồng tủy. Từ đó ngừng quá trình viêm và nhiễm trùng. Sau khi tủy viêm đã được loại bỏ, bác sĩ sẽ tiếp tục làm sạch buồng tủy. Sau đó trám lại để bảo vệ và phục hồi chức năng của răng. Việc chữa tủy không chỉ giúp bảo vệ răng vĩnh viễn. Nó còn ngăn ngừa các biến chứng như áp xe hay nhiễm trùng. Thông qua đó giúp trẻ duy trì khả năng ăn nhai bình thường.

Cách phòng ngừa răng vĩnh viễn của trẻ bị sâu
Chăm sóc răng miệng cho trẻ đúng cách
- Đánh răng đều đặn 2–3 lần mỗi ngày, đặc biệt sau các bữa ăn chính và trước khi đi ngủ. Sử dụng bàn chải lông mềm kết hợp với kem đánh răng có chứa fluor. Thông qua đó bảo vệ men răng khỏi việc răng vĩnh viễn của trẻ bị sâu
- Kỹ thuật đánh răng nên thực hiện theo chuyển động tròn nhẹ nhàng. Từ đó giúp đầu bàn chải dễ dàng tiếp cận các kẽ răng và loại bỏ mảng bám hiệu quả. Đồng thời không gây tổn thương nướu.
- Bổ sung các dụng cụ hỗ trợ làm sạch răng miệng như:
- Chỉ nha khoa: Làm sạch kẽ răng – vị trí bàn chải thường không tiếp cận được.
- Máy tăm nước: Tăng hiệu quả làm sạch, nhất là với người đang chỉnh nha hoặc có mão sứ.
- Nước súc miệng sát khuẩn: Giúp tiêu diệt vi khuẩn còn sót lại và khử mùi hôi miệng.

Duy trì chế độ dinh dưỡng khoa học
- Tăng cường thực phẩm giàu canxi và vitamin D. Chúng có trong sữa, phô mai, hải sản, trứng. Thông qua đó giúp tăng cường độ cứng chắc của răng.
- Bổ sung rau xanh và trái cây tươi. Những loại thực phẩm này giàu chất xơ, vitamin C và chất chống oxy hóa. Đồng thời có tác dụng hỗ trợ nướu và ngăn ngừa viêm lợi.
- Hạn chế đường và axit bằng việc giảm tối đa tiêu thụ các loại thực phẩm. Ví dụ như bánh kẹo, nước ngọt có gas, nước trái cây đóng chai. Đây là những “thủ phạm” làm tăng nguy cơ răng vĩnh viễn của trẻ bị sâu
Loại bỏ các thói quen xấu gây hại cho răng
- Tránh nghiến răng và cắn vật cứng. Thói quen này có thể gây nứt răng, mòn men và ảnh hưởng đến khớp cắn.
- Không dùng răng như công cụ. Hạn chế dùng răng để mở nắp chai, xé bao bì hoặc cắn móng tay.
- Hạn chế thay đổi nhiệt độ đột ngột trong thực phẩm. Không ăn uống quá nóng – quá lạnh liên tục để tránh gây ê buốt và tổn hại cấu trúc răng.

Khám răng định kỳ tại cơ sở nha khoa uy tín
Tần suất kiểm tra tối ưu là 6 tháng/lần để:
- Lấy vôi răng – loại bỏ mảng bám cứng. Những mảng bám này không thể làm sạch bằng đánh răng thông thường.
- Phát hiện sớm các tổn thương răng miệng như sâu răng, viêm tủy, tụt nướu.
- Nhận tư vấn chuyên sâu từ nha sĩ. Bao gồm cách chăm sóc và duy trì sức khỏe răng miệng lâu dài
Xem thêm:
- Xuất hiện mảng trắng sau khi nhổ răng – Những điều cần biết
- Tam giác đen ở răng là gì? Nguyên nhân và cách điều tri
Trên đây là những điều cần biết về hiện tượng răng vĩnh viễn của trẻ bị sâu. Cùng với đó là cách điều trị và phòng ngừa sâu răng vĩnh viễn một cách hiệu quả. Để được tư vấn cụ thể, hãy liên hệ Nha khoa DrGreen theo thông tin bên dưới
Hotline: 0936.996.609
Fanpage: https://www.facebook.com/nhakhoadrgreen
Website: nhakhoadrgreen.vn
Hệ thống Nha khoa Dr Green:
- 40B Lạch Tray, Ngô Quyền, Hải Phòng
- HDS11 Vinhomes Marina, Lê Chân, Hải Phòng
- 38 Tân Dương, Thủy Nguyên, Hải Phòng
- 43 Trần Phú, Cẩm Phả, Quảng Ninh











