Nhiều người khi soi gương bỗng nhận thấy răng trông dài hơn bình thường và không khỏi lo lắng liệu răng có thật sự “dài ra” theo thời gian hay không. Thực tế, hiện tượng này thường liên quan đến những thay đổi ở nướu hoặc cấu trúc răng miệng chứ không đơn thuần là răng phát triển thêm chiều dài. Vậy răng có dài ra không, nguyên nhân nào khiến bạn cảm thấy răng ngày càng lộ rõ và có những phương pháp điều trị nào hiệu quả? Bài viết dưới đây sẽ giúp bạn giải đáp chi tiết và hiểu đúng để chăm sóc răng miệng tốt hơn.
Nguyên Nhân Răng Dài Ra
Răng không thực sự dài sau tuổi trưởng thành, nhưng cảm giác “răng dài” thường xuất phát từ sự thay đổi của nướu, men răng hoặc khớp cắn.
Yếu tố di truyền
Di truyền có thể ảnh hưởng đáng kể đến cấu trúc răng, độ dày men răng và hình dạng nướu của mỗi người. Một số người bẩm sinh có nướu mỏng hoặc dễ tụt nướu, khiến phần thân răng lộ ra nhiều hơn theo thời gian và tạo cảm giác răng dài ra. Ngoài ra, các bệnh lý nha chu mang tính gia đình cũng có thể làm tăng nguy cơ thay đổi hình thái răng nếu không được theo dõi và chăm sóc đúng cách.
Thói Quen Ăn Uống
Chế độ ăn uống hàng ngày tác động trực tiếp đến sức khỏe răng và nướu. Việc thường xuyên tiêu thụ thực phẩm quá cứng, nhiều axit hoặc nhiều đường có thể làm mòn men răng và kích thích nướu co lại, khiến răng trông dài hơn. Bên cạnh đó, thói quen nghiến răng khi ăn hoặc nhai một bên trong thời gian dài cũng có thể gây mòn răng không đều, làm thay đổi tỷ lệ giữa răng và nướu.

Tác Động Sức Khỏe Khi Răng Dài
Răng dài có thể gây ra nhiều vấn đề nghiêm trọng nếu không được xử lý kịp thời.
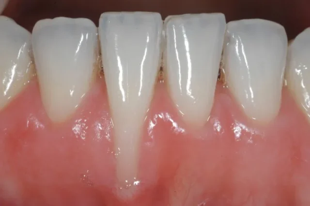
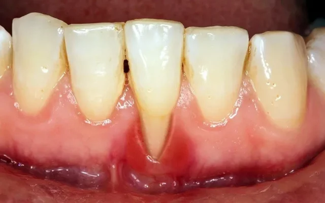
Răng Mòn và Viêm Lợi
Khi răng có dấu hiệu dài ra, nguyên nhân thường liên quan đến tình trạng tụt nướu hoặc mòn men răng. Điều này khiến phần chân răng lộ ra, làm răng trở nên nhạy cảm hơn khi ăn uống nóng lạnh. Đồng thời, tụt nướu cũng tạo điều kiện cho vi khuẩn tích tụ, dễ dẫn đến viêm lợi, chảy máu chân răng và nếu kéo dài có thể tiến triển thành bệnh nha chu ảnh hưởng đến độ chắc khỏe của răng.
Ảnh Hưởng Đến Hơi Thở và Giao Tiếp
Răng trông dài hơn do tụt nướu hoặc bệnh lý nha chu thường đi kèm với tình trạng hôi miệng, khiến nhiều người mất tự tin khi giao tiếp. Ngoài yếu tố thẩm mỹ, cảm giác ê buốt hoặc khó chịu khi nói chuyện, ăn uống cũng ảnh hưởng đến sinh hoạt hàng ngày. Việc nhận biết sớm và xử lý đúng cách không chỉ giúp cải thiện sức khỏe răng miệng mà còn giúp bạn tự tin hơn trong giao tiếp.

Phương Pháp Điều Trị Răng Dài
Chọn phương pháp phù hợp tùy theo nguyên nhân và mức độ nghiêm trọng.
Phẫu thuật Cắt Răng
Trong một số trường hợp răng trông dài do nướu phát triển không đều hoặc thân răng quá lộ, bác sĩ có thể chỉ định phẫu thuật cắt nướu hoặc tạo hình mô nướu để cân đối lại tỷ lệ giữa răng và nướu. Thủ thuật này giúp cải thiện thẩm mỹ nụ cười, đồng thời hạn chế nguy cơ tích tụ vi khuẩn ở vùng chân răng. Việc thực hiện cần được thăm khám kỹ lưỡng để đảm bảo an toàn và đạt kết quả tối ưu.
Chỉnh Nha và Bảo Vệ Răng
Nếu răng dài do sai lệch khớp cắn hoặc mòn răng không đều, các phương pháp chỉnh nha như niềng răng có thể giúp điều chỉnh vị trí răng, cải thiện tỷ lệ tổng thể của hàm. Bên cạnh đó, bác sĩ có thể kết hợp các biện pháp bảo vệ như phục hình men răng, dùng máng chống nghiến hoặc hướng dẫn chăm sóc răng miệng đúng cách để ngăn tình trạng tiến triển, giúp duy trì sức khỏe răng lâu dài.

Phòng Ngừa và Chăm Sóc Răng Dài
Chăm sóc đúng cách và khám định kỳ là chìa khóa.
Vệ Sinh Đúng Cách
Duy trì thói quen vệ sinh răng miệng đúng cách là bước quan trọng giúp hạn chế tình trạng răng trông dài do tụt nướu hoặc mòn men. Bạn nên đánh răng ít nhất hai lần mỗi ngày bằng bàn chải lông mềm, kết hợp sử dụng chỉ nha khoa và nước súc miệng để làm sạch mảng bám ở kẽ răng. Đồng thời, tránh chải răng quá mạnh vì có thể làm tổn thương nướu và khiến nướu co lại theo thời gian.
Kiểm Tra Định Kỳ
Thăm khám nha khoa định kỳ giúp phát hiện sớm các dấu hiệu tụt nướu, mòn răng hoặc bệnh lý nha chu – những nguyên nhân khiến răng trông dài hơn. Việc kiểm tra và lấy cao răng theo khuyến nghị của bác sĩ không chỉ giúp duy trì sức khỏe răng miệng mà còn ngăn ngừa các vấn đề nghiêm trọng về sau. Chủ động theo dõi tình trạng răng miệng sẽ giúp bạn bảo vệ nụ cười khỏe đẹp lâu dài.

Khi Nào Nên Tham Khảo Nha Sĩ
Hãy tham khảo ý kiến nha sĩ ngay lập tức nếu gặp dấu hiệu sau:
Triệu Chứng Đau Răng
Nếu bạn cảm thấy đau nhức, ê buốt kéo dài hoặc khó chịu khi ăn uống nóng lạnh, đó có thể là dấu hiệu răng và nướu đang gặp vấn đề. Cơn đau không chỉ xuất phát từ sâu răng mà còn có thể liên quan đến tụt nướu, viêm nha chu hoặc lộ chân răng – những nguyên nhân khiến răng trông dài hơn. Khi các triệu chứng này xuất hiện thường xuyên, bạn nên thăm khám nha sĩ sớm để được chẩn đoán và điều trị kịp thời.
Răng Dài Quá Mức
Khi nhận thấy răng lộ ra nhiều bất thường, nướu tụt rõ hoặc tỷ lệ răng – nướu mất cân đối, đó là dấu hiệu cần được kiểm tra chuyên môn. Tình trạng răng dài quá mức không chỉ ảnh hưởng đến thẩm mỹ mà còn làm tăng nguy cơ nhạy cảm răng và bệnh lý nha chu. Việc tham khảo ý kiến nha sĩ sẽ giúp xác định nguyên nhân chính xác và lựa chọn phương pháp điều trị phù hợp, tránh để tình trạng tiến triển nặng hơn.

Xem thêm:
- Trẻ sốt mọc răng: Nguyên nhân, triệu chứng và cách giảm đau
- Mầm Răng Vĩnh Viễn: Giải Pháp Chăm Sóc Răng Miệng Toàn Diện và Tương Lai Của Nụ Cười
Hy vọng bài viết này đã giúp bạn hiểu rõ hơn về vấn đề răng có dài ra không, nguyên nhân, tác động và các phương pháp điều trị. Chăm sóc răng miệng đúng cách và thăm khám nha sĩ định kỳ là chìa khóa để duy trì một hàm răng khỏe mạnh và nụ cười tự tin. Đừng ngần ngại tìm đến sự tư vấn của chuyên gia nếu bạn có bất kỳ lo lắng nào về răng miệng. Để có thêm nhiều kiến thức chuyên sâu và lựa chọn các dịch vụ nha khoa uy tín, bạn có thể tham khảo thêm tại website Nha Khoa DrGreen. Chúc bạn và gia đình luôn có một hàm răng khỏe mạnh!












