Bạn đã bao giờ tự hỏi tại sao nướu răng bị đen hay có màu sậm hơn bình thường chưa? Thực tế, màu sắc của nướu răng không phải lúc nào cũng là màu hồng nhạt như chúng ta thường hình dung. Giống như màu da, mỗi người có một tông màu nướu khác nhau, và đôi khi, những mảng màu sậm trên nướu có thể khiến bạn lo lắng. Bài viết này sẽ đi sâu vào tìm hiểu những nguyên nhân đằng sau tình trạng nướu bị đổi màu, từ những yếu tố tự nhiên không đáng ngại cho đến các dấu hiệu cảnh báo sức khỏe cần được chú ý. Chúng ta cũng sẽ khám phá các phương pháp điều trị hiện đại và cách phòng ngừa để bạn có thể tự tin với nụ cười khỏe mạnh của mình.
Nướu Răng Bị Đen Là Gì? Những Điều Cần Biết Về Màu Sắc Nướu Khỏe Mạnh
Khi nói đến sức khỏe răng miệng, nướu thường được coi là khỏe mạnh khi có màu hồng. Tuy nhiên, điều này không phải lúc nào cũng đúng với tất cả mọi người. Nướu khỏe mạnh có thể có nhiều tông màu khác nhau, và việc nướu răng bị đen không nhất thiết là dấu hiệu của bệnh lý. Để hiểu rõ hơn về điều này, chúng ta cần tìm hiểu về vai trò của melanin và sự khác biệt tự nhiên trong sắc tố nướu.
Vai trò của sắc tố Melanin trong màu sắc nướu
Melanin là một sắc tố tự nhiên được sản xuất bởi các tế bào hắc tố (melanocytes) có trong da và niêm mạc, bao gồm cả mô nướu. Chính sắc tố này quyết định màu da, màu tóc và màu mắt của chúng ta. Tương tự như vậy, melanin cũng là yếu tố chính tạo nên màu sắc tự nhiên của nướu. Sự sản sinh quá mức melanin có thể dẫn đến tình trạng nướu răng bị đen hoặc có các mảng sậm màu. Đây là một hiện tượng hoàn toàn bình thường và phổ biến ở nhiều người, đặc biệt là những người có tông màu da sậm hơn.
Sự khác biệt màu nướu tự nhiên giữa các cá nhân
Màu sắc nướu tự nhiên có thể biến đổi đáng kể giữa các cá nhân, và yếu tố chủng tộc thường đóng vai trò quan trọng. Theo các nghiên cứu khoa học, những người có nguồn gốc Á Châu, Trung Đông, Địa Trung Hải và Châu Phi có xu hướng có màu nướu sậm hơn do sự sản xuất melanin nhiều hơn. Các biến thể màu sắc này có thể xuất hiện ở một bên hoặc cả hai bên miệng, dưới dạng đồng nhất hoặc thành từng mảng riêng biệt. Đây là một đặc điểm sinh học bình thường và không cần bất kỳ can thiệp điều trị nào nếu không gây ra mối lo ngại về mặt thẩm mỹ cho người bệnh. Việc hiểu rõ về các biến thể màu nướu tự nhiên giúp chúng ta tránh những lo lắng không cần thiết khi nhận thấy nướu răng bị đen ở một mức độ nào đó.

Các Nguyên Nhân Chính Khiến Nướu Răng Bị Đen
Mặc dù nướu sậm màu có thể là một biến thể tự nhiên, nhưng đôi khi, tình trạng nướu răng bị đen cũng có thể là dấu hiệu của một vấn đề sức khỏe hoặc do các yếu tố bên ngoài tác động. Việc xác định nguyên nhân chính xác là bước quan trọng để đưa ra phương pháp xử lý phù hợp.
Tác động của thói quen hút thuốc lá lên nướu
Hút thuốc lá là một trong những nguyên nhân hàng đầu khiến nướu răng bị đen hoặc chuyển sang màu sẫm. Nicotine và các hóa chất độc hại khác trong thuốc lá kích thích các tế bào sản xuất melanin hoạt động mạnh mẽ hơn, dẫn đến tăng sắc tố ở môi và nướu. Hiện tượng này còn được gọi là “nướu của người hút thuốc” (smoker’s melanosis). Ngoài việc làm nướu sậm màu, hút thuốc lá còn gây ra nhiều tác hại nghiêm trọng khác cho sức khỏe răng miệng như tăng nguy cơ viêm nướu, viêm nha chu, hôi miệng và thậm chí là ung thư miệng. May mắn thay, việc từ bỏ thuốc lá có thể giúp giảm đáng kể sự sản sinh melanin và cải thiện màu sắc nướu theo thời gian.
Ảnh hưởng của một số loại thuốc đến sắc tố nướu
Một số loại thuốc có thể gây ra tác dụng phụ là làm thay đổi màu sắc của nướu. Sắc tố nướu không chỉ do di truyền quyết định mà còn chịu ảnh hưởng bởi nhiều yếu tố, trong đó có việc sử dụng thuốc. Các loại thuốc như thuốc chống loạn thần, thuốc điều trị ung thư (hóa trị), một số loại kháng sinh, và thuốc điều trị rối loạn lo âu có thể kích thích tăng sắc tố melanin, khiến nướu răng bị đen hoặc xuất hiện các mảng sẫm màu. Nếu bạn nhận thấy nướu mình sậm màu hơn sau khi bắt đầu dùng một loại thuốc mới, điều quan trọng là phải trao đổi với bác sĩ hoặc nha sĩ để được tư vấn. Họ có thể xem xét điều chỉnh liều lượng hoặc thay đổi loại thuốc nếu cần thiết, hoặc đơn giản là trấn an bạn rằng đây chỉ là một tác dụng phụ vô hại.
Bệnh lý nội tiết và các tình trạng sức khỏe liên quan
Trong một số trường hợp hiếm gặp, tình trạng nướu răng bị đen có thể là dấu hiệu của một bệnh lý nội tiết hoặc các vấn đề sức khỏe tiềm ẩn. Một ví dụ điển hình là bệnh Addison (suy tuyến thượng thận). Bệnh này có thể gây ra các mảng đen trên màng nhầy, bao gồm cả mô nướu, cùng với sự tăng sắc tố da ở các vùng khác trên cơ thể. Nếu nha sĩ của bạn nghi ngờ có liên quan đến bệnh lý nội tiết, họ sẽ giới thiệu bạn đến bác sĩ chuyên khoa để được chẩn đoán và điều trị kịp thời. Ngoài ra, các tình trạng như hội chứng Peutz-Jeghers, một rối loạn di truyền hiếm gặp, cũng có thể gây ra các đốm sẫm màu trên nướu và niêm mạc miệng.

Dấu hiệu cảnh báo nguy hiểm: Ung thư tế bào hắc tố miệng
Mặc dù đa số các trường hợp nướu răng bị đen là vô hại, nhưng đôi khi, một đốm đen bất thường trên nướu có thể là dấu hiệu của một tình trạng nghiêm trọng hơn, chẳng hạn như ung thư tế bào hắc tố miệng (oral melanoma). Đây là một dạng ung thư hiếm gặp nhưng rất nguy hiểm. Các dấu hiệu cảnh báo bao gồm một đốm đen xuất hiện đột ngột, có kích thước thay đổi, bờ không đều, màu sắc không đồng nhất hoặc gây đau đú, chảy máu. Nếu bạn nhận thấy bất kỳ tổn thương nào như vậy trên nướu của mình, hãy đến gặp nha sĩ ngay lập tức để được kiểm tra và chẩn đoán. Việc phát hiện sớm là yếu tố then chốt để điều trị thành công các loại ung thư.
Vấn đề vệ sinh răng miệng kém và các yếu tố khác
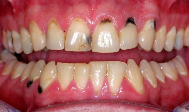
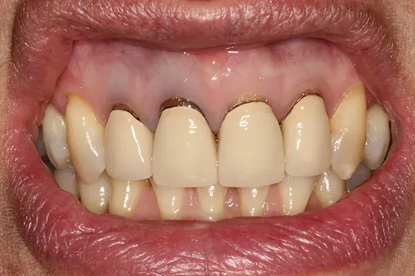
Mặc dù không phải là nguyên nhân trực tiếp gây ra nướu răng bị đen do sắc tố melanin, nhưng vệ sinh không đúng cách có thể dẫn đến các vấn đề khác làm ảnh hưởng đến màu sắc và sức khỏe tổng thể của nướu. Sự tích tụ mảng bám và cao răng do vệ sinh không đúng cách có thể gây viêm nướu (gingivitis) hoặc viêm nha chu (periodontitis). Viêm nướu thường khiến nướu sưng đỏ và dễ chảy máu, nhưng trong một số trường hợp, viêm mãn tính có thể làm nướu có vẻ sậm màu hơn do sung huyết mạch máu hoặc các lắng đọng sắc tố thứ phát. Ngoài ra, việc sử dụng các dụng cụ nha khoa kim loại (ví dụ như mão răng sứ kim loại, amalgam) cũng có thể tạo ra hiệu ứng “xăm hình” (amalgam tattoo) trên nướu, gây ra các đốm xanh hoặc đen do lắng đọng kim loại. Mặc dù không phải melanin, nhưng đây cũng là một dạng nướu sậm màu cần được phân biệt.
Khi Nào Bạn Cần Thăm Khám Nha Sĩ Về Tình Trạng Nướu Răng Bị Đen?
Như đã đề cập, không phải lúc nào nướu răng bị đen cũng là dấu hiệu đáng lo ngại. Tuy nhiên, có những trường hợp bạn cần tìm đến sự tư vấn của chuyên gia nha khoa để đảm bảo sức khỏe và thẩm mỹ. Bạn nên thăm khám nha sĩ nếu:
- Màu sắc nướu thay đổi đột ngột: Nếu nướu của bạn đột nhiên chuyển sang màu sậm hơn hoặc xuất hiện các đốm đen mới mà trước đây chưa từng có.
- Xuất hiện các đốm đen bất thường: Đặc biệt là những đốm có kích thước lớn, bờ không đều, màu sắc không đồng nhất hoặc có xu hướng phát triển về kích thước.
- Có các triệu chứng đi kèm: Nếu tình trạng nướu răng bị đen đi kèm với đau, chảy máu, sưng tấy, viêm loét, hoặc bất kỳ khó chịu nào khác.
- Bạn lo ngại về mặt thẩm mỹ: Ngay cả khi nướu sậm màu là do yếu tố tự nhiên và không ảnh hưởng đến sức khỏe, nếu bạn cảm thấy tự ti về nụ cười của mình, nha sĩ có thể tư vấn các giải pháp thẩm mỹ.
- Nướu sậm màu sau khi dùng thuốc mới hoặc cai thuốc: Để xác định xem đây có phải là tác dụng phụ hay là dấu hiệu của sự cải thiện.
Một cuộc kiểm tra tổng quát tại nha khoa sẽ giúp xác định nguyên nhân chính xác và đưa ra lời khuyên phù hợp. Đừng ngần ngại liên hệ với nha sĩ nếu bạn có bất kỳ thắc mắc hay lo lắng nào về màu sắc nướu của mình.

Giải Pháp Điều Trị Nướu Răng Bị Đen Hiệu Quả Từ Chuyên Khoa Nha Khoa
Nếu tình trạng nướu răng bị đen gây ra mối lo ngại về mặt thẩm mỹ hoặc là triệu chứng của một bệnh lý, nha sĩ có thể đề xuất các phương pháp điều trị khác nhau. Dưới đây là một số giải pháp phổ biến:
Phương pháp loại bỏ sắc tố nướu bằng phẫu thuật
Đây là một trong những lựa chọn truyền thống để loại bỏ mô nướu thâm đen. Nha sĩ sẽ sử dụng dao mổ để loại bỏ lớp biểu mô chứa nhiều melanin. Kết quả ban đầu của thủ thuật này thường rất tốt, nướu sẽ trở lại màu hồng tự nhiên. Tuy nhiên, một thách thức của phương pháp này là các tế bào sản xuất melanin đôi khi có thể tái xâm nhập vào vùng đã điều trị và gây ra sự tái phát sắc tố sau một thời gian. Điều này đòi hỏi bệnh nhân cần được theo dõi và có thể cần điều trị bổ sung nếu cần.
Điều trị nướu đen bằng công nghệ Laser tiên tiến
Điều trị bằng laser là một phương pháp hiện đại và ngày càng phổ biến để xử lý tình trạng nướu răng bị đen. Công nghệ laser sử dụng các bước sóng ánh sáng đặc biệt để phá hủy chọn lọc các tế bào sản xuất melanin mà không gây tổn thương đáng kể đến các mô xung quanh. Quá trình điều trị bằng laser tương đối nhanh chóng, ít xâm lấn, ít đau đớn và thường không cần dùng thuốc sau điều trị. Thời gian lành thương cũng ngắn hơn so với phương pháp phẫu thuật truyền thống, giúp bệnh nhân nhanh chóng lấy lại nụ cười hồng hào và tự tin.
Kỹ thuật ghép nướu rời thẩm mỹ
Ghép nướu rời là một phương pháp điều trị khác, đặc biệt hiệu quả trong những trường hợp nướu răng bị đen ở một vùng cụ thể và muốn che đi phần mô sậm màu. Kỹ thuật này bao gồm việc lấy một mảnh mô khỏe mạnh, không có sắc tố từ vòm miệng (vùng khẩu cái) của chính bệnh nhân và ghép vào vùng nướu bị sậm màu. Thay vì loại bỏ mô nướu đen, phương pháp này giúp che phủ nó bằng một lớp mô nướu có màu hồng tự nhiên hơn. Đây là một giải pháp lâu dài và mang lại hiệu quả thẩm mỹ cao, đặc biệt khi kết hợp với các kỹ thuật nha chu khác.
Các liệu pháp hỗ trợ và chăm sóc tại nhà
Bên cạnh các phương pháp điều trị chuyên sâu, việc chăm sóc răng miệng đúng cách tại nhà cũng đóng vai trò quan trọng trong việc duy trì sức khỏe nướu và hỗ trợ quá trình điều trị. Mặc dù không thể làm mất đi hoàn toàn sắc tố melanin tự nhiên, nhưng việc duy trì vệ sinh răng miệng tốt sẽ giúp nướu luôn khỏe mạnh, giảm nguy cơ viêm nhiễm, vốn có thể làm tình trạng nướu sậm màu trở nên trầm trọng hơn hoặc gây ra các vấn đề khác. Sử dụng kem đánh răng và nước súc miệng được thiết kế đặc biệt cho sức khỏe nướu có thể giúp kiểm soát mảng bám và vi khuẩn, từ đó duy trì môi trường miệng sạch sẽ và khỏe mạnh. Nếu bạn có nướu răng bị đen do hút thuốc, việc cai thuốc lá là liệu pháp “tại nhà” hiệu quả nhất để cải thiện màu sắc nướu.

Cách Phòng Ngừa Nướu Răng Bị Đen Để Duy Trì Nụ Cười Khỏe Mạnh
Phòng bệnh hơn chữa bệnh, và điều này đặc biệt đúng với sức khỏe răng miệng. Mặc dù không phải mọi trường hợp nướu răng bị đen đều có thể phòng ngừa (như do di truyền), nhưng có nhiều biện pháp bạn có thể thực hiện để giảm thiểu nguy cơ và duy trì nướu răng khỏe mạnh.
Duy trì thói quen vệ sinh răng miệng đúng cách
Vệ sinh răng miệng là nền tảng của một nụ cười khỏe mạnh. Chải răng ít nhất hai lần mỗi ngày bằng kem đánh răng có fluoride, dùng chỉ nha khoa hàng ngày và sử dụng nước súc miệng kháng khuẩn có thể giúp loại bỏ mảng bám, vi khuẩn và thức ăn thừa, ngăn ngừa viêm nướu và các bệnh nha chu. Nướu khỏe mạnh, không viêm nhiễm sẽ có màu sắc đồng đều hơn. Hãy chọn bàn chải đánh răng mềm và chải răng nhẹ nhàng để tránh làm tổn thương nướu. Các sản phẩm như kem đánh răng Colgate® Total hoặc nước súc miệng Colgate® Total Gum Care có thể hỗ trợ rất tốt trong việc bảo vệ nướu khỏi vi khuẩn và các vấn đề răng miệng phổ biến.
Từ bỏ thuốc lá và các chất kích thích
Nếu bạn đang hút thuốc, việc cai thuốc lá là một trong những hành động quan trọng nhất bạn có thể làm không chỉ cho sức khỏe nướu mà còn cho sức khỏe tổng thể. Nicotine và các hóa chất độc hại trong thuốc lá là nguyên nhân chính gây ra tình trạng nướu sậm màu và nhiều vấn đề răng miệng nghiêm trọng khác. Sau khi cai thuốc lá, các tế bào sản xuất melanin sẽ giảm hoạt động, và màu sắc nướu có thể dần trở lại bình thường hoặc sáng hơn. Hạn chế sử dụng rượu bia và các chất kích thích khác cũng góp phần duy trì sức khỏe răng miệng tốt.
Thăm khám nha sĩ định kỳ để phát hiện sớm và phòng ngừa
Việc thăm khám nha sĩ ít nhất 6 tháng một lần là cực kỳ quan trọng. Nha sĩ không chỉ kiểm tra tình trạng răng mà còn đánh giá tổng thể sức khỏe nướu của bạn. Họ có thể phát hiện sớm các dấu hiệu bất thường của nướu răng bị đen, xác định nguyên nhân và đưa ra lời khuyên hoặc can thiệp kịp thời. Việc lấy cao răng định kỳ cũng giúp loại bỏ các mảng bám cứng đầu, giữ cho nướu luôn sạch sẽ và khỏe mạnh, giảm nguy cơ viêm nhiễm.

Chế độ ăn uống và lối sống lành mạnh
Một chế độ ăn uống cân bằng, giàu vitamin và khoáng chất, đặc biệt là vitamin C và canxi, rất cần thiết cho sức khỏe của nướu và xương hàm. Tránh các thực phẩm quá ngọt, quá chua hoặc quá nóng/lạnh có thể làm tổn thương răng và nướu. Uống đủ nước cũng giúp rửa trôi vi khuẩn và thức ăn thừa, duy trì độ ẩm cho khoang miệng. Ngoài ra, quản lý căng thẳng và có lối sống lành mạnh nói chung cũng góp phần vào một hệ miễn dịch tốt, giúp cơ thể chống lại các bệnh viêm nhiễm, bao gồm cả những bệnh ảnh hưởng đến nướu.
Lời Khuyên Từ Chuyên Gia Nha Khoa Về Nướu Răng Bị Đen
Là một chuyên gia trong lĩnh vực nha khoa, tôi thường xuyên gặp các trường hợp bệnh nhân lo lắng về tình trạng nướu răng bị đen. Điều đầu tiên tôi muốn nhấn mạnh là không phải lúc nào màu nướu sậm cũng là dấu hiệu của bệnh lý. Nướu có nhiều sắc thái khác nhau, và đối với nhiều người, đặc biệt là các chủng tộc nhất định, nướu sậm màu là hoàn toàn bình thường do lượng melanin tự nhiên cao. Điều quan trọng là bạn cần quan sát và hiểu rõ cơ thể mình.
Nếu bạn nhận thấy sự thay đổi đột ngột về màu sắc nướu, sự xuất hiện của các đốm đen mới, hoặc nếu tình trạng nướu răng bị đen đi kèm với bất kỳ triệu chứng khó chịu nào như đau, sưng, chảy máu, thì đó là lúc bạn cần tìm đến sự tư vấn chuyên nghiệp. Đừng tự chẩn đoán hay điều trị tại nhà mà không có sự hướng dẫn của nha sĩ. Các vấn đề nghiêm trọng như ung thư miệng cần được phát hiện và điều trị càng sớm càng tốt.
Đối với những trường hợp nướu sậm màu do yếu tố thẩm mỹ, các kỹ thuật nha khoa hiện đại như điều trị bằng laser hay ghép nướu có thể mang lại kết quả rất khả quan, giúp bạn lấy lại nụ cười rạng rỡ và tự tin. Hãy thảo luận cởi mở với nha sĩ về mong muốn và lo ngại của bạn để cùng tìm ra giải pháp tối ưu nhất.

Kết Luận
Tình trạng nướu răng bị đen có thể xuất phát từ nhiều nguyên nhân khác nhau, từ yếu tố di truyền tự nhiên không đáng lo ngại cho đến các vấn đề sức khỏe tiềm ẩn hoặc thói quen sinh hoạt. Việc nắm vững kiến thức về các nguyên nhân này và biết khi nào cần tìm kiếm sự hỗ trợ của nha sĩ là chìa khóa để duy trì sức khỏe răng miệng toàn diện.
Hãy nhớ rằng, một nụ cười khỏe mạnh không chỉ là hàm răng trắng sáng mà còn là những chiếc nướu hồng hào, săn chắc. Đừng để những lo lắng về màu sắc nướu cản trở sự tự tin của bạn. Nếu bạn có bất kỳ thắc mắc hay cần tư vấn chuyên sâu về tình trạng nướu răng bị đen của mình, hãy liên hệ ngay với các chuyên gia. Để tìm hiểu thêm về sức khỏe răng miệng và các giải pháp chăm sóc nụ cười, bạn có thể tham khảo thêm các bài viết hữu ích tại Nha Khoa DrGreen.












