Hiện nay, nhu cầu cải thiện nụ cười ngày càng tăng cao, kéo theo đó là sự quan tâm đặc biệt đến các phương pháp nha khoa thẩm mỹ. Trong đó, bọc răng sứ nổi lên như một giải pháp hiệu quả, giúp khắc phục triệt để các vấn đề về răng như sứt mẻ, ố vàng, răng thưa, răng mọc lệch… Tuy nhiên, một câu hỏi thường trực trong tâm trí của nhiều người trước khi quyết định thực hiện phương pháp này là: bọc răng sứ có phải mài răng không? Câu hỏi này xuất phát từ lo ngại về việc xâm lấn răng tự nhiên, ảnh hưởng đến cấu trúc và cảm giác răng. Bài viết này sẽ đi sâu vào vấn đề này, phân tích chi tiết quy trình, các trường hợp cần và không cần mài răng, cùng những lưu ý quan trọng khác để bạn có cái nhìn toàn diện và đưa ra quyết định phù hợp nhất.
Bọc Răng Sứ Là Gì?
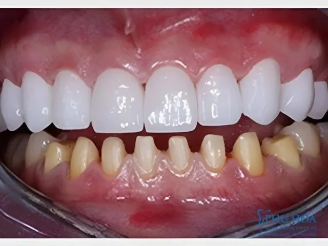
Bọc răng sứ, hay còn gọi là chụp răng sứ, là một phương pháp phục hình nha khoa, trong đó răng thật được mài (hoặc không mài, tùy thuộc vào tình trạng răng và loại sứ) và sau đó được phủ một lớp vỏ sứ bên ngoài. Lớp vỏ sứ này có tác dụng như một “áo choàng” bảo vệ răng, đồng thời cải thiện đáng kể hình dáng, màu sắc và độ bền của răng.

Các loại sứ bọc răng phổ biến
Sứ kim loại: Độ bền cao, chi phí hợp lý, nhưng màu sắc không tự nhiên bằng các loại sứ khác và có thể gây ra viền đen gần nướu.
Sứ titan: Độ bền gần tương đương sứ kim loại, khả năng tương thích sinh học tốt (không gây dị ứng), màu sắc sáng hơn và ít bị viền đen hơn.
Sứ Zirconia: Độ bền rất cao, màu sắc tự nhiên, khả năng chịu lực tốt, thích hợp cho răng hàm.
Sứ Ceramic (sứ không kim loại): Màu sắc trong suốt, tự nhiên nhất, thẩm mỹ cao, ít gây kích ứng, nhưng độ bền không cao bằng Zirconia.
Sứ Emax: Một loại sứ ceramic tiên tiến, có độ bền và tính thẩm mỹ vượt trội, phù hợp cho cả răng cửa và răng hàm.
Ưu điểm của bọc răng sứ
- Cải thiện thẩm mỹ: Bọc sứ giúp răng trắng sáng, đều màu, có hình dáng đẹp tự nhiên, khắc phục các khuyết điểm về răng.
- Phục hồi chức năng ăn nhai: Răng sứ có độ cứng cao, chịu lực tốt, giúp bạn ăn nhai thoải mái mà không lo đau nhức.
- Bảo vệ răng: Lớp sứ bên ngoài giúp bảo vệ răng khỏi các tác nhân gây hại từ môi trường như axit, vi khuẩn, nhiệt độ…
- Độ bền cao: Tuổi thọ của răng sứ có thể kéo dài từ 5-20 năm, tùy thuộc vào loại sứ và cách chăm sóc răng miệng.
- Tăng cường sự tự tin: Một nụ cười đẹp sẽ giúp bạn tự tin hơn trong giao tiếp và công việc.

Quy Trình Bọc Răng Sứ Có Cần Mài Răng Không?
Quy trình bọc răng sứ có cần mài răng không phụ thuộc vào nhiều yếu tố, bao gồm tình trạng răng hiện tại, loại sứ lựa chọn và phương pháp bọc răng. Dưới đây là quy trình bọc răng sứ thông thường và phân tích chi tiết về việc mài răng:
Các bước trong quy trình bọc răng sứ
- Khám và tư vấn: Bác sĩ sẽ kiểm tra tình trạng răng miệng, xác định các vấn đề cần điều trị và tư vấn loại sứ phù hợp.
- Lấy dấu răng: Bác sĩ sẽ lấy dấu răng để tạo hình răng sứ đúng với kích thước và hình dáng răng thật.
- Chuẩn bị răng: Đây là bước quan trọng, quyết định việc bọc răng sứ có cần mài răng không. Nếu răng cần mài, bác sĩ sẽ mài bớt một phần men răng để tạo khoảng trống vừa đủ cho răng sứ.
- Lắp thử răng sứ: Sau khi răng sứ được chế tạo xong, bác sĩ sẽ lắp thử lên răng để kiểm tra độ vừa vặn, màu sắc và hình dáng.
- Gắn răng sứ cố định: Nếu mọi thứ đều ổn, bác sĩ sẽ sử dụng xi măng nha khoa để gắn răng sứ cố định lên răng thật.
Giải thích vì sao cần mài răng (hoặc không cần)
Việc mài răng là cần thiết trong hầu hết các trường hợp bọc răng sứ có cần mài răng không, đặc biệt là khi răng bị sâu lớn, sứt mẻ nhiều hoặc răng có hình dáng không đều. Mục đích của việc mài răng là:
- Tạo khoảng trống: Để răng sứ có thể phủ kín răng thật mà không bị cộm, lồi.
- Đảm bảo độ bám dính: Bề mặt răng mài sẽ giúp xi măng nha khoa bám dính tốt hơn, giữ cho răng sứ không bị bong tróc.
- Cải thiện hình dáng răng: Bác sĩ có thể điều chỉnh hình dáng răng bằng cách mài để tạo ra một dáng răng hài hòa, cân đối.
Các trường hợp đặc biệt không cần mài răng
- Răng chưa bị tổn thương: Nếu răng chỉ bị ố vàng nhẹ hoặc có khe hở nhỏ, bác sĩ có thể sử dụng các loại sứ mỏng như Veneer để bọc mà không cần mài răng.
- Sử dụng công nghệ CAD/CAM: Công nghệ này cho phép thiết kế và chế tạo răng sứ chính xác đến từng milimet, giảm thiểu tối đa lượng men răng cần mài.
- Bọc sứ cho răng cửa bị thưa: Trong một số trường hợp răng cửa bị thưa, bác sĩ có thể điều chỉnh bằng cách bọc sứ mỏng mà không cần mài răng nhiều.
Xem thêm: Răng Sứ Dùng Được Bao Nhiêu Năm?

Những Lưu Ý Khi Mài Răng Để Bọc Sứ
Nếu trường hợp của bạn cần mài răng để bọc răng sứ có phải mài răng không, việc đảm bảo quy trình được thực hiện chính xác và an toàn là vô cùng quan trọng.
Độ mài phù hợp để không ảnh hưởng tủy răng
Lượng men răng mài đi phải được tính toán kỹ lưỡng bởi bác sĩ có chuyên môn, đảm bảo không xâm lấn đến tủy răng. Độ mài phù hợp thường khoảng 0.3-0.7mm, tùy thuộc vào loại sứ và tình trạng răng.
Những rủi ro nếu mài quá nhiều hoặc quá ít
- Mài quá nhiều: Có thể làm lộ tủy răng, gây đau nhức và viêm nhiễm. Đồng thời, răng bị mài quá nhiều sẽ yếu đi, dễ bị nứt vỡ.
- Mài quá ít: Răng sứ sẽ bị cộm, lồi, không vừa vặn với răng thật, gây khó chịu khi ăn nhai và ảnh hưởng đến thẩm mỹ.
Cách chăm sóc răng sau khi mài
- Sử dụng kem đánh răng chứa fluoride: Để tăng cường men răng và bảo vệ răng khỏi sâu răng.
- Tránh ăn đồ ăn quá cứng, quá nóng hoặc quá lạnh: Để giảm thiểu kích ứng và bảo vệ răng.
- Đeo máng bảo vệ răng (nếu cần): Để bảo vệ răng khỏi lực tác động mạnh trong khi ngủ hoặc chơi thể thao.
- Khám răng định kỳ: Để bác sĩ kiểm tra tình trạng răng và có biện pháp điều trị kịp thời nếu cần thiết.
Bọc Răng Sứ Có Đau Không?
Một trong những lo lắng lớn nhất của những người muốn bọc răng sứ có phải mài răng không là nỗi sợ đau. Quá trình mài răng thường không gây đau nhiều, do men răng không có dây thần kinh. Tuy nhiên, bạn có thể cảm thấy hơi khó chịu, ê răng nhẹ.
Cách giảm đau trong quá trình thực hiện
- Sử dụng thuốc tê: Bác sĩ sẽ tiêm thuốc tê để gây tê cục bộ, giúp bạn không cảm thấy đau trong quá trình mài răng.
- Sử dụng máy mài răng hiện đại: Các loại máy mài răng tiên tiến có độ rung và nhiệt thấp, giúp giảm thiểu kích ứng và đau nhức.
- Thực hiện các bước mài răng nhẹ nhàng: Bác sĩ sẽ mài răng từ từ, từng lớp mỏng để tránh gây tổn thương cho răng.
Thời gian hồi phục
Sau khi bọc răng sứ, bạn có thể cảm thấy ê răng nhẹ trong vài ngày. Cảm giác này sẽ giảm dần và biến mất hoàn toàn sau khoảng 1-2 tuần.

Những Lợi Ích và Rủi Ro Khi Bọc Răng Sứ
Như đã đề cập ở trên, bọc răng sứ mang lại rất nhiều lợi ích về thẩm mỹ và chức năng, giúp bạn có một nụ cười đẹp tự tin và sức khỏe răng miệng tốt. Tuy nhiên bạn cũng có thể sẽ gặp phải một vài những rủi ro nếu thực hiện không đúng cách như:
- Ê buốt răng kéo dài: Do mài răng quá nhiều hoặc răng sứ không vừa vặn.
- Viêm nướu: Do răng sứ không kín khít với đường viền nướu, gây tích tụ vi khuẩn.
- Sâu răng thứ phát: Nếu răng thật bị sâu bên dưới răng sứ.
- Bong tróc răng sứ: Do sử dụng xi măng nha khoa kém chất lượng hoặc không tuân thủ các hướng dẫn chăm sóc răng miệng.
- Dị ứng: Với một số loại sứ chứa kim loại.
Nếu bạn không muốn bọc răng sứ có phải mài răng không, có một số phương pháp thay thế khác có thể phù hợp với bạn:
- Dán sứ Veneer: Đây là một giải pháp thẩm mỹ tuyệt vời, sử dụng các lớp sứ mỏng (khoảng 0.3-0.5mm) để dán lên bề mặt răng, giúp che đi các khuyết điểm mà không cần mài răng nhiều.
- Trám răng thẩm mỹ: Phù hợp cho những trường hợp răng bị sâu nhỏ, sứt mẻ nhẹ. Bác sĩ sẽ sử dụng vật liệu trám răng composite có màu sắc tương đồng với răng thật để phục hình răng.
- Niềng răng: Nếu răng bạn bị mọc lệch, hô vẩu, móm… thì niềng răng là một giải pháp hiệu quả để chỉnh sửa răng và cải thiện nụ cười.

Hy vọng bài viết này đã giải đáp một cách chi tiết thắc mắc bọc răng sứ có phải mài răng không của bạn. Tóm lại, việc có cần mài răng hay không phụ thuộc vào tình trạng răng cụ thể và loại sứ lựa chọn. Để có phương án phục hình răng sứ phù hợp nhất, điều quan trọng nhất là bạn nên đến trực tiếp Nha Khoa DrGreen để được bác sĩ thăm khám và tư vấn cụ thể. Hãy nhớ rằng, việc lựa chọn một nha khoa uy tín với đội ngũ bác sĩ giàu kinh nghiệm và công nghệ tiên tiến sẽ giúp bạn giảm thiểu tối đa rủi ro và đạt được kết quả thẩm mỹ tốt nhất. Tham khảo thêm các dịch vụ và chương trình ưu đãi hấp dẫn tại Nha Khoa DrGreen để có thêm thông tin nhé!












