Trong quá trình niềng răng, bác sĩ sẽ áp dụng nhiều thao tác để đạt kết quả mong muốn. Trong đó công việc cần phải làm để hỗ trợ quá trình niềng răng là kéo cụm 4 răng cửa. Sau khi thực hiện, bạn sẽ rút ngắn thời gian chỉnh nha và tăng hiệu quả thẩm mỹ. Lúc này điều nhiều người thắc mắc là kéo cụm răng cửa mất bao lâu. Vậy thông thường kéo cụm 4 răng cửa mất bao lâu? Hãy cùng Nha khoa DrGreen giải đáp chi tiết thắc mắc trong bài viết dưới đây. Cùng với đó là các phương pháp và lưu ý khi thực hiện
Cụm 4 răng cửa nằm ở vị trí nào trong hàm?
Trước khi tìm hiểu kéo cụm 4 răng cửa mất bao lâu thì cần biết cụm 4 răng cửa nằm ở vị trí nào trong cung hàm. Cụm răng cửa là thuật ngữ chỉ nhóm răng phía trước nằm trên cùng một cung hàm. Trong đó bao gồm hai răng cửa giữa số 1 và hai răng cửa bên số 2. Trong dân gian, nhóm răng này thường được gọi bằng tên quen thuộc là “hàm tiền đạo”.
Nhóm răng cửa đóng vai trò vô cùng quan trọng trong mọi yếu tố hàng ngày. Nó không chỉ trong việc đảm bảo tính thẩm mỹ khuôn mặt. Nhóm răng này còn ảnh hưởng trực tiếp đến chức năng phát âm và giao tiếp hàng ngày. Chính vì thế, cụm 4 răng cửa hầu như bảo tồn và được ví như “vùng bất khả xâm phạm”. Đặc biệt là trong các kế hoạch điều trị chỉnh nha có chỉ định nhổ răng. Đồng thời là kế hoạch chỉnh nha do sai lệch khớp cắn nghiêm trọng
Mỗi người có hai cụm răng cửa, tương ứng ở hai hàm trên và dưới. Trong chỉnh nha, việc kéo nhóm răng cửa có thể được thực hiện ở một hoặc cả hai hàm. Điều này sẽ tùy vào tình trạng cụ thể của từng bệnh nhân. Đây là một trong những giai đoạn đòi hỏi kỹ thuật cao. Đồng thời cần có sự phối hợp chặt chẽ giữa bác sĩ và bệnh nhân. Điều này do việc kéo nhóm 4 răng cửa thường là phần điều trị khó khăn. Cùng với đó là cần nhiều thời gian nhất trong toàn bộ quá trình niềng răng.

Kéo cụm 4 răng cửa mất bao lâu để thực hiện chỉnh chu?
Vừa rồi chúng ta đã biết cụm 4 răng cửa nằm ở vị trí nào. Lúc này điều nhiều người thắc mắc là kéo cụm 4 răng cửa mất bao lâu khi thực hiện chỉnh nha. Việc kéo cụm 4 răng cửa trong quá trình niềng răng có thể kéo dài từ 4 đến 8 tháng. Điều này tùy thuộc vào tình trạng răng miệng của từng bệnh nhân. Tuy nhiên, tổng thời gian niềng răng trọn vẹn có thể kéo dài lâu hơn. Nó sẽ dao động từ 12 đến 24 tháng, tùy vào mức độ phức tạp của ca điều trị.
Cụ thể, thời gian kéo thẳng răng (di chuyển thân răng) thường mất từ 2 đến 6 tháng. Thời gian kéo chân răng (di chuyển phần chân răng) có thể kéo dài từ 2 đến 4 tháng. Quá trình kéo cụm răng cửa sẽ được thực hiện cẩn thận. Tất cả đều diễn ra song song với các giai đoạn di chuyển khác của các răng trong cung hàm. Thời gian này có thể thay đổi tùy vào độ khó của từng trường hợp.
Các khoảng thời gian này là ước tính trung bình dựa trên kinh nghiệm điều trị thực tế. Tuy nhiên, thời gian thục tế, đặc biệt là cụm răng cửa, có thể thay đổi một cách đáng kể. Điều này tùy thuộc vào độ lệch của khớp cắn, cấu trúc xương hàm, tuổi tác. Cùng với đó là ảnh hưởng của phản ứng của cơ thể đối với việc di chuyển răng. Do đó, quá trình điều trị cần được theo dõi và điều chỉnh kỹ lưỡng bởi bác sĩ chuyên khoa. Thông qua đó đảm bảo hiệu quả tối ưu cho từng bệnh nhân.

Việc kéo 4 răng cửa diễn ra ở giai đoạn nào khi niềng?
Vừa rồi chúng ta đã biết được kéo cụm 4 răng cửa mất bao lâu. Lúc này nhiều người quan tâm là việc kéo 4 răng cửa diễn ra giai đoạn nào khi niềng. Thông thường, việc kéo cụm răng cửa sẽ được thực hiện trong giai đoạn đóng khoảnh của quá trình niềng răng. Ở giai đoạn này, hầu hết các răng đã được di chuyển vào đúng vị trí trên cùng một trục thẳng. Thông qua đó tạo nền tảng cho bác sĩ có thể chỉ định thực hiện kéo cụm răng cửa. Từ đó hoàn thiện khớp cắn và hình thể khuôn mặt.
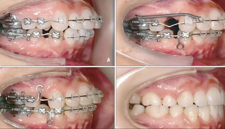
Trong quá trình kéo cụm 4 răng cửa, bác sĩ sẽ sử dụng các chun tiết diện lớn. Những chun nha khoa này được thiết kế đặc biệt để chịu được lực kéo mạnh mẽ. Thông qua đó giúp hỗ trợ hiệu quả trong việc di chuyển răng. Các chun này có vai trò quan trọng trong việc tạo lực kéo liên tục. Đồng thời đảm bảo rằng các răng cửa sẽ di chuyển đồng bộ và chính xác. Từ đó cải thiện không chỉ chức năng ăn nhai mà còn tính thẩm mỹ.
Giai đoạn đóng khoảnh trong niềng răng là giai đoạn quan trọng. Lúc này các khuyết điểm về khớp cắn và vị trí răng đã được khắc phục đáng kể. Đây cũng là thời điểm mà bệnh nhân sẽ nhận thấy những thay đổi rõ rệt nhất. Đặc biệt là thay đổi về vị trí của các răng trong hàm và sự biến đổi về khuôn mặt. Những sự điều chỉnh này giúp hàm răng trở nên đều đặn và tự nhiên hơn. Đồng thời cải thiện sự hài hòa tổng thể của khuôn mặt.

Các phương pháp kéo cụm 4 răng cửa phổ biến nhất
Khi đã biết được kéo cụm 4 răng cửa mất bao lâu và diễn ra giai đoạn nào thì nhiều người muốn biết thêm về các phương pháp kéo cụm 4 răng cửa phổ biến nhất. Hiện nay có những phương pháp kéo cụm 4 răng cửa như sau:
Kéo cụm 4 răng cửa hàm trên
Quá trình kéo cụm 4 răng cửa hàm trên thường được thực hiện đối với những bệnh nhân gặp tình trạng hô (răng hàm trên đưa ra quá nhiều so với hàm dưới) hoặc vẩu. Lúc đó hàm răng trên nhô ra phía trước gây mất cân đối khuôn mặt. Thông qua đó ảnh hưởng đến chức năng khớp cắn. Để điều chỉnh, bác sĩ sẽ sử dụng các khí cụ như dây chun chuỗi hoặc lò xo. Từ đó bác sĩ sẽ tác dụng lực, giúp di chuyển các răng cửa hàm trên lùi ra phía sau.
Việc này không chỉ cải thiện thẩm mỹ khuôn mặt. Nó còn giúp khớp cắn của bệnh nhân trở nên đều đặn và hài hòa hơn. Về thời gian điều trị, kéo cụm 4 răng cửa hàm trên thường kéo dài từ 4 đến 8 tháng. Điều này tùy thuộc vào mức độ hô vẩu của từng bệnh nhân. Bác sĩ sẽ lập kế hoạch điều trị chi tiết và theo dõi sát sao quá trình kéo răng. Thông qua đó đảm bảo hiệu quả tối ưu. Quá trình này đòi hỏi sự kiên trì và thực hiện liên tục theo kế hoạch cụ thể. Từ đó các răng di chuyển nhanh chóng và chính xác.

Kéo cụm 4 răng cửa hàm dưới
Một số những bệnh nhân gặp tình trạng móm và hàm dưới nhô ra trước so với hàm trên. Lúc này quá trình kéo cụm 4 răng cửa hàm dưới sẽ được thực hiện. Thông qua đó cân chỉnh lại khớp cắn và vị trí của các răng. Khi đó, bác sĩ cũng sử dụng dây chun chuỗi hoặc lò xo. Từ đó bác sĩ sẽ kéo các răng cửa hàm dưới về đúng vị trí. Đồng thời giúp hai hàm răng không còn lệch lạc và đảm bảo khớp cắn cân đối.
Thời gian để thực hiện việc kéo cụm răng cửa hàm dưới tương tự như với hàm trên. Thông thường việc kéo cụm răng cửa sẽ kéo dài từ 4 đến 8 tháng. Điều này tùy vào tình trạng móm của từng bệnh nhân. Ngoài ra, thời gian điều trị còn phụ thuộc vào các yếu tố khác như sức khỏe tổng quát. Ngoài ra là cơ địa và khả năng đáp ứng của cơ thể đối với phương pháp chỉnh nha.

Kéo cụm răng cửa ở cả hai hàm
Hiện nay, một số trường hợp bệnh nhân bị răng khấp khểnh, lệch lạc hoặc gặp phải các vấn đề nghiêm trọng về hô, móm. Lúc này bác sĩ có thể chỉ định kéo cụm răng cửa ở cả hai hàm. Thông qua đó điều chỉnh khớp cắn và đưa các răng về đúng vị trí mong muốn. Để kết quả tốt nhất, quá trình kéo răng sẽ được thực hiện song song ở cả hai hàm. Nó có thể bao gồm kéo răng vào trong, kéo ra ngoài. Hoặc một hàm kéo vào trong và hàm còn lại kéo ra ngoài.
Phương pháp này thường áp dụng cho những trường hợp răng hô, móm, vẩu. Những trường hợp hô, móm, vẩu này xảy ra ở mức độ nghiêm trọng. Đồng thời họ có thể kết hợp với các khí cụ như chun chuỗi, lò xo móc kéo. Thông qua đó giúp dịch chuyển các răng vào vị trí lý tưởng. Mặc dù hiệu quả cao, phương pháp này không quá phổ biến. Vì thế chỉ được áp dụng khi các tình trạng khớp cắn đặc biệt. Cùng với đó là răng miệng yêu cầu sự can thiệp mạnh mẽ hơn.
Sử dụng Minivis để kéo răng
Một phương pháp khác thường được sử dụng để kéo cụm 4 răng cửa là sử dụng minivis. Đây là một khí cụ đặc biệt trong chỉnh nha. Minivis là một loại vít nhỏ, có kích thước chỉ từ 5 đến 12mm, được làm hoàn toàn từ Titanium. Khí cụ này được thiết kế để tạo ra lực kéo ổn định và chính xác,. Thông qua đó giúp các răng dịch chuyển về đúng vị trí mong muốn. Đồng thời khắc phục tình trạng răng lệch lạc, khấp khểnh hoặc không đều.
Minivis thường được chỉ định trong trường hợp bệnh nhân cần nhổ răng. Khi đó, có khoảng trống trên cung hàm sau khi nhổ rất lớn và rõ. Vì thế, bác sĩ cần phải kéo các răng còn lại về vị trí của răng đã nhổ. Phương pháp này rất hiệu quả trong việc điều trị răng hô, móm, và khớp cắn lệch. Từ đó giúp cải thiện đáng kể cả về chức năng ăn nhai và thẩm mỹ khuôn mặt.

Những lưu ý khi thực hiện kéo cụm 4 răng cửa
Khi đã biết được kéo cụm 4 răng cửa mất bao lâu thì thấy được đây là quá trình lâu dài. Việc kéo 4 răng cửa trong quá trình chỉnh nha (niềng răng) đòi hỏi sự kiên trì. Đồng thời phải luôn tuân thủ nghiêm ngặt các hướng dẫn từ bác sĩ chuyên môn. Tuy nhiên, bạn có thể rút ngắn thời gian điều trị và đạt được hiệu quả chỉnh nha tối ưu. Khi đó bệnh nhân cần lưu ý và thực hiện đầy đủ các khuyến nghị sau:
Thực hiện chăm sóc răng miệng một cách tối ưu
Vệ sinh răng miệng đúng cách đóng vai trò quan trọng trong việc hỗ trợ răng dịch chuyển hiệu quả. Đồng thời ngăn ngừa các biến chứng có thể phát sinh trong quá trình niềng răng. Vệ sinh răng miệng tốt không chỉ bảo vệ sức khỏe khoang miệng. Nó còn giúp răng di chuyển theo đúng hướng với tốc độ ổn định. Cụ thể:
- Chải răng kỹ 2 – 3 lần/ngày bằng bàn chải lông mềm, đặc biệt là sau mỗi bữa ăn
- Sử dụng chỉ nha khoa hoặc máy tăm nước để làm sạch các kẽ răng. Đó là nơi bàn chải thông thường không tiếp cận được.
- Dùng bàn chải kẽ để vệ sinh kỹ lưỡng quanh mắc cài. Ngoài ra là xưng quanh dây cung và các khí cụ chỉnh nha khác.
- Súc miệng bằng nước chuyên dụng nhằm ngăn ngừa vi khuẩn và mảng bám.
- Tuyệt đối không dùng tay chạm vào mắc cài hay kéo chỉnh dây cung. Từ đó tránh gây tổn thương hoặc lệch khí cụ.
- Báo ngay với nha sĩ nếu phát hiện mắc cài bung, dây cung gãy. Hoặc bất kỳ bất thường nào trong miệng.
Chế độ ăn uống khoa học và lành mạnh
Thực đơn hàng ngày cần được điều chỉnh để phù hợp với tình trạng niềng răng. Điều này đặc biệt là trong giai đoạn kéo răng cửa – vốn có độ nhạy cảm cao và dễ bị tác động. Cụ thể như sau
- Hạn chế thực phẩm cứng, dai hoặc dẻo. hẳng hạn như xương, kẹo cao su, kẹo dẻo, bánh quy cứng… Những thực phẩm này có thể làm bung mắc cài hoặc gãy dây cung.
- Tránh thức ăn có nhiều đường, như bánh ngọt, kẹo… Thông qua đó ngăn ngừa sâu răng và viêm nướu. Đó là các yếu tố ảnh hưởng tiêu cực đến quá trình chỉnh nha.
- Ưu tiên thực phẩm mềm, dễ nhai. Ví dụ như cháo, súp, sữa chua, sinh tố, cơm nát, trái cây chín mềm… Thông qua đó giảm áp lực lên hệ thống khí cụ.
- Ăn uống đúng giờ, đủ chất để cơ thể có đủ dưỡng chất. Đặc biệt phục vụ quá trình tái tạo xương và mô quanh răng. Đồng thời thúc đẩy quá trình dịch chuyển răng nhanh chóng và bền vững.

Tuân thủ lịch tái khám định kỳ với bác sĩ chỉnh nha
Việc tái khám đúng lịch là điều kiện bắt buộc khi đi niềng răng. Từ đó đảm bảo quá trình kéo răng diễn ra liên tục và đạt hiệu quả cao. Đồng thời điều chỉnh kế hoạch khi cần thiết và rút ngắn tổng thời gian đeo niềng. Tại đây bạn sẽ cần đi tái khám mỗi 3 – 4 tuần/lần. Hoặc theo lịch hẹn cụ thể của bác sĩ điều trị.
Trong mỗi lần tái khám, bác sĩ sẽ:
- Đánh giá mức độ dịch chuyển của răng.
- Điều chỉnh lực kéo phù hợp.
- Khắc phục các sự cố kỹ thuật (nếu có).
- Tư vấn chế độ chăm sóc và ăn uống phù hợp với từng giai đoạn chỉnh nha.
Xem thêm:
- Siết răng khi niềng là gì? Những điều bạn cần biết
- Tư thế ngủ khi niềng răng như thế nào là chuẩn nhất?
Trên đây là lời giải đáp cho thắc mắc kéo cụm 4 răng cửa mất bao lâu. Cùng với đó là những phương pháp kéo cụm 4 răng cửa và lưu ý khi thực hiện. Để được tư vấn cụ thể, hãy liên hệ Nha khoa DrGreen theo thông tin bên dưới
Hotline: 0936.996.609
Fanpage: https://www.facebook.com/nhakhoadrgreen
Website: nhakhoadrgreen.vn
Hệ thống Nha khoa Dr Green:
- 40B Lạch Tray, Ngô Quyền, Hải Phòng
- HDS11 Vinhomes Marina, Lê Chân, Hải Phòng
- 38 Tân Dương, Thủy Nguyên, Hải Phòng
- 43 Trần Phú, Cẩm Phả, Quảng Ninh











