Niềng răng là một trong những phương pháp hiệu quả để phục hình răng đẹp nhất. Tuy nhiên, để quá trình niềng răng được thành công thì việc siết răng là việc không thể thiếu. Việc này không chỉ giúp răng di chuyển theo đúng kế hoạch. Nó còn đảm bảo kết quả cuối cùng là hàm răng đều đẹp và khớp cắn hoàn hảo. Tuy nhiên, nhiều người vẫn còn lo lắng khi nhắc đến cụm từ siết răng. Hiểu được điều này, Nha khoa DrGreen xin chia sẻ chi tiết tới các bạn những điều cần biết về việc siết răng khi niềng trong bài viết này
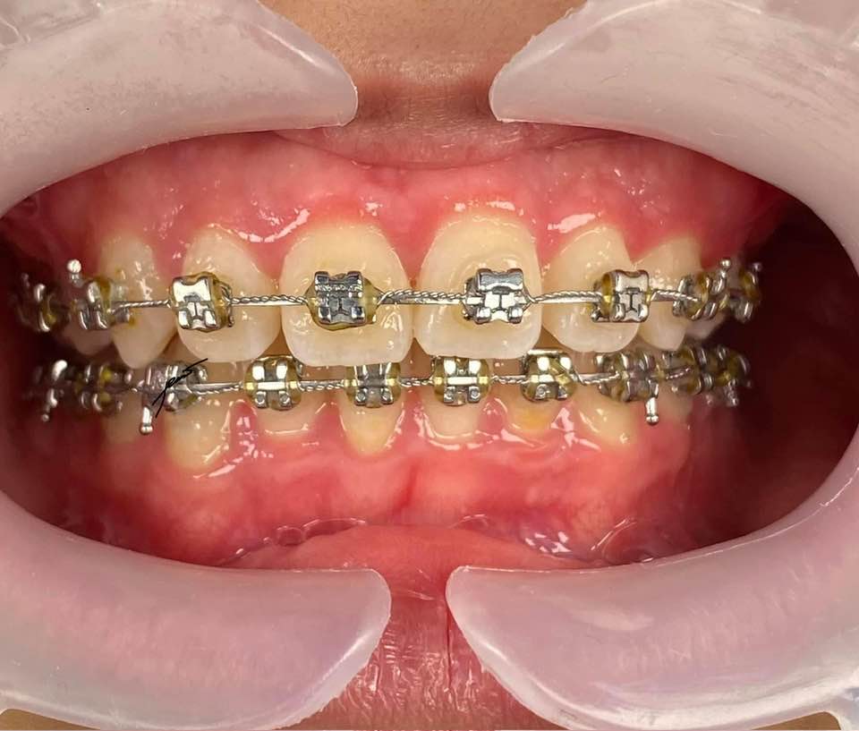
Siết răng khi niềng là gì?
Siết răng khi niềng là một kỹ thuật không thể thiếu trong quá trình niềng răng với mắc cài. Nó đóng vai trò quan trọng trong việc di chuyển và căn chỉnh răng về đúng vị trí mong muốn. Khi thực hiện, bác sĩ sẽ sử dụng dây cung được gắn vào các mắc cài trên răng. Dây cung sẽ liên tục tác động lực nhẹ lên các mắc cài. Từ đó tạo ra lực kéo hoặc đẩy làm răng di chuyển theo hướng đã kế hoạch từ trước. Quá trình này giúp các răng được sắp xếp đều đặn và hài hòa hơn trên cung hàm.
Phương pháp này thường có sự tác động của lực lên các răng. Vì thế bệnh nhân có thể cảm thấy đau do răng đang chịu áp lực. Hoặc có cảm giác như răng đang “chạy” trong quá trình này. Đây là một dấu hiệu cho thấy quá trình di chuyển và tái sắp xếp răng đang diễn ra. Thông thường, cảm giác đau nhức sẽ giảm dần sau khoảng 3-5 ngày.
Như đã nói đau nhức là một hiện tượng thường gặp sau mỗi lần siết răng. Tuy nhiên, một số lúc tình trạng này kéo dài hoặc không thuyên giảm. Lúc này bạn nên đến gặp bác sĩ nha khoa để kiểm tra. Sau khi kiểm tra bác sĩ điều chỉnh lại lực siết sao cho phù hợp. Tất cả đảm bảo quá trình điều trị được thực hiện hiệu quả và an toàn

Siết răng có đau không?
Khi bác sĩ siết răng khi niềng, khách hàng thường sẽ cảm thấy một số cảm giác khó chịu. Trong đó điển hình là đau nhức và cảm giác như răng đang dịch chuyển. Đây là hiện tượng hoàn toàn bình thường khi niềng răng. Điều này do lực tác động từ dây cung và mắc cài lên các răng. Thông qua đó giúp chúng di chuyển dần về đúng vị trí mong muốn trên cung hàm.
Lực kéo này làm các dây chằng xung quanh răng thay đổi. Tư đó dẫn đến cảm giác đau và khó chịu. Thông thường, cơn đau nhức sẽ xuất hiện ngay sau khi siết răng và kéo dài trong khoảng 1-2 ngày. Tuy nhiên, tình trạng này sẽ giảm dần và hầu hết bệnh nhân sẽ cảm thấy dễ chịu hơn. Thông thường sẽ bớt đau sau khoảng 3 đến 5 ngày. Lúc này các răng dần thích nghi với lực siết mới.
Để giúp giảm thiểu cảm giác khó chịu trong giai đoạn này, bác sĩ nha khoa sẽ tư vấn cho khách hàng một số biện pháp giảm đau hiệu quả. Các phương pháp phổ biến bao gồm việc sử dụng thuốc giảm đau theo chỉ định. Ngoài ra là chườm lạnh vào vùng má hoặc nướu để làm giảm sưng và giảm đau. Đồng thời hạn chế các thực phẩm cứng hoặc quá nóng có thể làm gia tăng sự đau đớn. Bác sĩ cũng sẽ hướng dẫn cách vệ sinh răng miệng đúng cách. Từ đó tránh các tình trạng viêm nhiễm có thể xảy ra trong quá trình điều trị..

Quy trình siết răng khi niềng chi tiết nhất
Việc siết răng khi niềng là thao tác nhằm tăng hoặc điều chỉnh lực tác động lên răng thông qua hệ thống dây cung – mắc cài. Thông qua đó giúp răng tiếp tục di chuyển theo đúng kế hoạch điều trị ban đầu. Quy trình này thường được thực hiện theo các bước như sau:
Bước 1: Tháo dây thun đàn hồi
- Bác sĩ sẽ gỡ bỏ các dây thun đàn hồi (elastic ligatures). Những dây thun này đang giữ dây cung cố định trên mắc cài.
- Dây thun có nhiệm vụ tạo áp lực ổn định. Đồng thời duy trì kết nối giữa dây cung và mắc cài.
Bước 2: Gỡ dây cung chính
- Sau khi tháo dây thun, bác sĩ tiến hành gỡ dây cung chính (archwire). Khi thực hiện cần phải đảm bảo dây cung chính đã ra khỏi toàn bộ hệ thống mắc cài.
- Đây là bước giúp tạo điều kiện kiểm tra chính xác mức độ dịch chuyển. Tất cả đều được kiểm tra kỹ càng ở từng răng kể từ lần siết gần nhất.

Bước 3: Kiểm tra dịch chuyển và tiến hành siết răng
- Bác sĩ sẽ đánh giá tình trạng “chạy răng” thông qua việc đo đạc hoặc quan sát bằng mắt thường.
- Dựa trên đánh giá này, bác sĩ sẽ điều chỉnh độ căng của dây cung. Đồng thời sử dụng thêm lò xo chỉnh lực hoặc thay đổi kiểu dây nếu cần.
- Tại bước này, bệnh nhân có thể cảm thấy ê buốt hoặc hơi đau. Điều này do răng đang chịu lực tác động để dịch chuyển về đúng vị trí mong muốn.
Bước 4: Gắn lại dây cung và dây thun đàn hồi
- Sau khi siết răng khi niềng, bác sĩ sẽ tiến hành lắp lại dây cung cũ. Hoặc thay dây mới nếu cần thiết vào từng mắc cài.
- Tiếp theo, dây thun đàn hồi sẽ được cài trở lại. Từ đó giúp cố định dây cung vào mắc cài và duy trì lực kéo ổn định.

Những cách giảm đau hiệu quả do siết răng khi niềng
Chườm lạnh (chườm đá)
Chườm lạnh là một phương pháp đơn giản nhưng hiệu quả giúp giảm cảm giác đau nhức sau siết răng khi liềng. Người bệnh có thể sử dụng túi chườm lạnh chuyên dụng. Hoặc bọc một vài viên đá trong khăn vải mềm. Sau đó áp nhẹ lên vùng má bên ngoài khu vực đau. Nhiệt độ thấp sẽ giúp làm co mạch, giảm lưu lượng máu tạm thời. Thông qua đó làm dịu phản ứng viêm, giảm cảm giác đau và sưng tấy. Mỗi lần chườm nên kéo dài khoảng 10–15 phút. Đồng thời có thể lặp lại nhiều lần trong ngày tùy theo mức độ khó chịu.
Chườm ấm:
Bên cạnh phương pháp chườm lạnh, chườm ấm cũng có thể được sử dụng. Thông qua đó hỗ trợ giảm đau, đặc biệt là khi cơn đau có liên quan đến siết răng khi niềng. Người bệnh nên sử dụng khăn sạch nhúng nước ấm. Hoặc sử dụng chai thủy tinh chứa nước ấm với nhiệt độ vừa phải, không quá nóng. Sau đó bạn sẽ chườm nhẹ nhàng bên ngoài vùng má. Nhiệt độ ấm sẽ giúp làm giãn cơ, tăng tuần hoàn máu. Đồng thời hỗ trợ giảm cảm giác căng tức do áp lực từ mắc cài.

Súc miệng bằng nước muối ấm
Súc miệng với nước muối sinh lý hoặc nước muối pha loãng là một thói quen vệ sinh miệng rất cần thiết trong quá trình niềng răng. Muối có tính sát khuẩn tự nhiên, giúp làm sạch khoang miệng. Cùng với đó là hạn chế sự phát triển của vi khuẩn gây viêm nhiễm. Đồng thời có thể làm dịu mô mềm và giảm đau tạm thời. Người bệnh nên súc miệng với nước muối ấm sau khi ăn và trước khi đi ngủ. Thông qua đó tối ưu hiệu quả bảo vệ răng miệng.

Ăn thức ăn mềm, dễ nhai
Sau khi siết răng khi niềng, các răng sẽ chịu lực tác động từ hệ thống mắc cài. Thông qua đó gây ra cảm giác ê buốt và đau nhức. Để giảm thiểu sự khó chịu, người niềng răng nên lựa chọn các loại thực phẩm mềm, dễ nhai. Ví dụ như cháo, súp, bún, mì, khoai nghiền… trong vài ngày đầu sau khi siết răng. Tránh các loại thực phẩm cứng, dai hoặc dính có thể tạo áp lực lên răng và mắc cài. Từ đó làm tăng cảm giác đau hoặc gây hư hỏng khí cụ chỉnh nha.

Massage nhẹ nhàng vùng nướu
Xoa bóp nướu là một cách hỗ trợ giảm đau đơn giản nhưng mang lại hiệu quả đáng kể. Bạn sẽ thực hiện bằng cách dùng đầu ngón tay sạch xoa nhẹ quanh vùng nướu. Khi đó người bệnh có thể giúp các mô mềm thích nghi nhanh hơn với mắc cài. Massage cũng giúp kích thích tuần hoàn máu, làm dịu cảm giác căng tức. Đồng thời hỗ trợ mô quanh răng phục hồi tốt hơn.
Một số lúc cảm giác đau nhức trở nên nghiêm trọng, ảnh hưởng đến sinh hoạt hằng ngày. Lúc này người bệnh có thể sử dụng thuốc giảm đau không kê đơn như paracetamol hoặc ibuprofen. Tuy nhiên, việc dùng thuốc phải tuân thủ đúng theo hướng dẫn và chỉ định của bác sĩ điều trị. Thông qua đó đảm bảo an toàn và tránh tác dụng phụ.

Những lưu ý để hạn chế đau đớn do siết răng khi niềng
Thời gian tái khám khi niềng răng
Thời gian tái khám trong quá trình niềng răng không cố định cho tất cả các trường hợp . Nó phụ thuộc vào phương pháp chỉnh nha và từng giai đoạn điều trị cụ thể. Thông thường, lịch tái khám sẽ dao động từ 4–6 tuần/lần. Điều này tùy vào tốc độ dịch chuyển của răng và kế hoạch điều trị của bác sĩ. Việc quan trọng nhất đối với bệnh nhân là tuân thủ nghiêm túc lịch hẹn của bác sĩ chỉnh nha. Mỗi lần tái khám đều có ý nghĩa quyết định đến việc điều chỉnh lực siết. Từ đó đảm bảo quá trình dịch chuyển răng diễn ra hiệu quả và an toàn.
Kiểm tra dây cung sau khi siết răng khi niềng
Sau khi bác sĩ hoàn tất quy trình siết răng khi niềng trong mỗi buổi tái khám, bệnh nhân cần:
- Chủ động kiểm tra kỹ lưỡng tình trạng dây cung – đặc biệt là các đoạn dây thừa.
- Một số lúc dây cung bị lòi ra ngoài quá mức hoặc đâm vào má, nướu. Khi đó cần thông báo ngay với bác sĩ để được cắt tỉa hoặc điều chỉnh. Từ đó tránh gây loét niêm mạc, viêm nướu hoặc cảm giác đau rát kéo dài.

Chế độ ăn uống sau khi siết răng
Trong vài ngày đầu sau mỗi lần siết răng khi niềng, bạn sẽ cảm thấy răng nhạy cảm hơn. Đôi khi là ê buốt nhẹ do răng đang thích nghi với lực kéo mới. Để giảm thiểu cảm giác khó chịu và tránh ảnh hưởng đến hệ thống mắc cài, bạn nên:
- Ưu tiên các món mềm, dễ nhai như súp, cháo, cơm nát, mì, rau củ hầm…;
- Tránh các loại thực phẩm cứng, dai hoặc cần lực nhai mạn. Chẳng hạn như mía, kẹo cứng, bánh quy giòn;
- Hạn chế đồ ăn quá nóng hoặc quá lạnh. Nhiệt độ cực đoan có thể làm tăng cảm giác ê buốt ở răng. Đặc biệt là những đang trong giai đoạn di chuyển.
Xem thêm:
- Tư thế ngủ khi niềng răng như thế nào là chuẩn nhất?
- Mới niềng răng đau mấy ngày? Cách khắc phục hiệu quả
Trên đây là những điều cần biết về việc siết răng khi niềng. Cùng với đó là những cách giảm đau và hạn chế khó chịu khi thực hiện siết răng. Để được tư vấn cụ thể, hãy liên hệ Nha khoa DrGreen theo thông tin bên dưới
Hotline: 0936.996.609
Fanpage: https://www.facebook.com/nhakhoadrgreen
Website: nhakhoadrgreen.vn
Hệ thống Nha khoa Dr Green:
- 40B Lạch Tray, Ngô Quyền, Hải Phòng
- HDS11 Vinhomes Marina, Lê Chân, Hải Phòng
- 38 Tân Dương, Thủy Nguyên, Hải Phòng
- 43 Trần Phú, Cẩm Phả, Quảng Ninh











