
Hiện nay, nhổ răng khôn là việc cần thiết để loại bỏ răng mọc lệch, mọc ngầm. Tuy nhiên, nhiều người vẫn còn do dự vì biến

Dán sứ Veener là một trong những phương pháp phục hình nha khoa tốt nhất hiện nay. Đây là phương pháp sẽ giúp cho người thực hiện

Hiện nay, nhổ răng khôn là giải pháp nhiều người lựa chọn để loại bỏ răng mọc lệch, mọc ngàm. Thông qua đó giúp cho bạn cảm

Đối với nhiều người, răng khểnh là nét đẹp tạo nên sự dễ thương cho khuôn mặt. Chính vì thế mà nhiều người tìm đến việc đắp

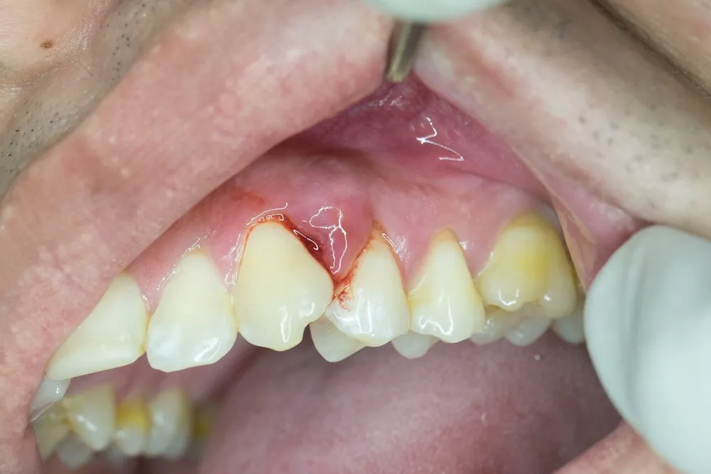
Sưng nướu răng là một trong những tình trạng rất nhiều người mắc phải hiện nay. Trong đó, tới hơn 80% người bị mắc sưng nướu ở

Hiện nay, hiện tượng sưng nướu răng có mủ đang ngày càng phổ biến ở nhiều người. Đây là một bệnh răng miệng nghiêm trọng có thể











