Viêm nướu là một vấn đề nha khoa phổ biến, ảnh hưởng lớn đến sức khỏe răng miệng cũng như chất lượng cuộc sống của người bệnh. Đây là tình trạng viêm nhiễm tại mô nướu xung quanh răng, gây ra các triệu chứng khó chịu và nếu không được xử lý kịp thời có thể dẫn đến các biến chứng nghiêm trọng hơn như tụt nướu, tiêu xương hàm và mất răng. Viêm nướu không chỉ đơn thuần là vấn đề thẩm mỹ mà còn là dấu hiệu cảnh báo các bệnh lý răng miệng nghiêm trọng khác.

Nguyên nhân gây viêm nướu
Viêm nướu thường bắt nguồn từ các yếu tố phổ biến dễ gặp trong cuộc sống hàng ngày, nhưng ít ai chú ý hoặc hiểu rõ tầm ảnh hưởng của chúng đến sức khỏe răng miệng. Để duy trì một hàm răng khỏe mạnh, việc nhận biết rõ nguyên nhân gây ra viêm nướu là bước đầu quan trọng giúp phòng tránh và điều trị hiệu quả.
Các yếu tố chính gây ra viêm nướu chính là do mảng bám vi khuẩn và cao răng tích tụ lâu ngày, hoặc do các yếu tố nội tiết, thói quen sinh hoạt không hợp lý. Hiểu rõ các nguyên nhân này sẽ giúp bạn có biện pháp phòng tránh phù hợp, giữ gìn sức khỏe răng miệng tốt hơn.

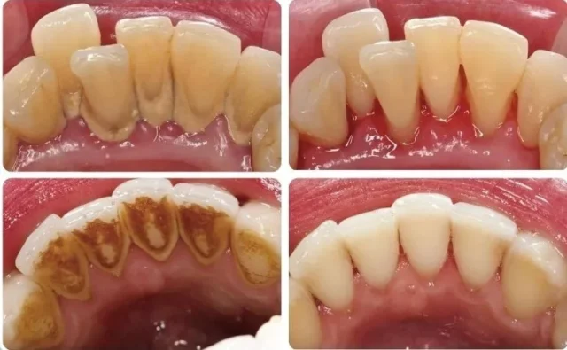
Do mảng bám vi khuẩn và cao răng tích tụ lâu ngày
Mảng bám vi khuẩn là lớp kem dính, mềm, liên tục hình thành trên bề mặt răng, đặc biệt là ở các vùng khó vệ sinh như giữa các răng, dưới đường viền nướu. Nếu không được loại bỏ đúng cách, mảng bám này sẽ trở thành cao răng cứng chắc, bám chặt vào răng, gây kích ứng, viêm nhiễm và phá hủy mô nướu.
Cao răng không chỉ là nguyên nhân trực tiếp gây viêm nướu mà còn tạo điều kiện thuận lợi cho vi khuẩn phát triển, làm trầm trọng thêm tình trạng viêm nhiễm. Quan trọng nhất, việc chủ quan vệ sinh răng miệng kém sẽ thúc đẩy tốc độ hình thành cao răng, dẫn đến quá trình viêm nhiễm kéo dài và khó kiểm soát hơn.
Do thay đổi nội tiết tố, hút thuốc lá hoặc vệ sinh răng miệng kém
Ngoài mảng bám và cao răng, các yếu tố nội tiết tố như thời kỳ thai nghén, tuổi dậy thì hoặc bước vào giai đoạn mãn kinh cũng khiến mô nướu dễ bị viêm, sưng đỏ và chảy máu hơn bình thường. Sự thay đổi hormone làm giảm khả năng chống lại vi khuẩn, khiến nướu dễ bị tổn thương ngay cả khi vệ sinh răng miệng đúng cách.
Thói quen hút thuốc lá cũng là tác nhân làm giảm lưu lượng máu đến mô nướu, làm giảm khả năng phục hồi và chống vi khuẩn, từ đó làm tăng nguy cơ viêm nướu. Đồng thời, vệ sinh răng miệng kém, thiếu cẩn thận hoặc không đúng cách, đặc biệt là không dùng chỉ nha khoa hay súc miệng kháng khuẩn, chính là nguyên nhân phổ biến khiến bệnh trở nên nghiêm trọng.
Xem thêm: Nguyên nhân và cách điều trị viêm nướu
Triệu chứng nhận biết viêm nướu
Phát hiện sớm các triệu chứng của viêm nướu là yếu tố then chốt giúp tránh tình trạng diễn biến xấu, dẫn đến các biến chứng mất răng hoặc tiêu xương. Người bệnh cần chú ý đến các dấu hiệu bất thường trong quá trình chăm sóc răng miệng hàng ngày để có biện pháp xử lý kịp thời.

Nướu sưng đỏ, dễ chảy máu khi chải răng hoặc ăn uống
Triệu chứng đầu tiên và rõ ràng nhất của viêm nướu chính là nướu sưng đỏ, có cảm giác hơi mềm và dễ bị tổn thương khi va chạm nhẹ. Khi dùng bàn chải hoặc chỉ nha khoa vệ sinh răng, nướu thường xuất hiện tình trạng chảy máu dù lực tác động không quá mạnh, điều này cảnh báo rằng mô nướu bị viêm nhiễm đang hoạt động mạnh.
Đây không chỉ là biểu hiện về mặt thẩm mỹ mà còn là cảnh báo rõ ràng của cơ thể về tình trạng viêm đang diễn ra. Nếu không xử lý kịp thời, nướu sẽ ngày càng sưng tấy, gây cảm giác đau, khó chịu mỗi khi ăn uống hay sinh hoạt hàng ngày.
Hơi thở có mùi hôi, cảm giác đau nhức và khó chịu vùng nướu
Ngoài sưng đỏ, biến chứng của viêm nướu còn thể hiện qua hơi thở có mùi hôi khó chịu. Đây là dấu hiệu của sự phát triển quá mức của vi khuẩn trong khoang miệng, gây nên mùi khó chịu, làm giảm tự tin trong giao tiếp xã hội.
Bên cạnh đó, khi bệnh nặng hơn, người bệnh còn gặp các cảm giác đau nhức, khó chịu, đặc biệt là khi ăn nhai thức ăn nóng hoặc cay, ảnh hưởng lớn đến cuộc sống hàng ngày. Những triệu chứng này đều cảnh báo bạn cần chú ý chăm sóc răng miệng và tìm hiểu biện pháp điều trị phù hợp để tránh các biến chứng nguy hiểm.
Xem thêm: Cách trị viêm nướu răng an toàn và hiệu quả
Cách phòng ngừa và điều trị viêm nướu
Phòng tránh viêm nướu không hề khó nếu bạn duy trì những thói quen chăm sóc răng miệng đúng cách, đồng thời kết hợp khám nha khoa định kỳ để xử lý các vấn đề sớm nhất. Điều quan trọng là xây dựng ý thức tự bảo vệ sức khỏe răng miệng mỗi ngày, từ việc vệ sinh hàng ngày đến việc thăm khám chuyên sâu.
Chỉ cần làm tốt các bước đơn giản này đều đặn, bạn sẽ giảm thiểu tối đa nguy cơ mắc bệnh viêm nướu, đồng thời giữ gìn nụ cười tươi sáng, tự tin trong mọi hoàn cảnh của cuộc sống. Dưới đây là những cách phòng ngừa và điều trị hiệu quả, phù hợp cho mọi lứa tuổi.

Đánh răng đúng cách, dùng chỉ nha khoa và súc miệng kháng khuẩn hằng ngày
Việc đánh răng đúng kỹ thuật là yếu tố quan trọng nhất giúp loại bỏ mảng bám và cao răng, giảm thiểu khả năng vi khuẩn phát triển gây viêm nhiễm. Nên chọn bàn chải phù hợp, lông mềm, chải đều cả mặt ngoài lẫn trong của mỗi răng, ít nhất 2 phút mỗi lần.
Ngoài ra, dùng chỉ nha khoa để làm sạch khe răng, vùng cổ răng – nơi mảng bám dễ tích tụ – là biện pháp tối ưu cho vệ sinh răng miệng. Súc miệng bằng dung dịch kháng khuẩn cũng giúp tiêu diệt vi khuẩn gây bệnh và làm sạch khoang miệng, giữ hơi thở thơm mát suốt cả ngày dài.
Xem thêm:Cách trị sưng nướu răng có mủ tại nhà an toàn và hiệu quả
Khám nha khoa định kỳ, lấy cao răng và điều trị sớm để tránh biến chứng
Không chỉ dựa vào chăm sóc tại nhà, việc kiểm tra nha khoa định kỳ mỗi 6 tháng là cực kỳ quan trọng, giúp phát hiện sớm các dấu hiệu bất thường và xử lý kịp thời. Các bác sĩ chuyên nghiệp sẽ giúp làm sạch cao răng, đồng thời kiểm tra tổng thể mô nướu, phát hiện sớm các vấn đề như viêm nướu nặng hơn hay các bệnh lý nha khoa khác.
Khi có dấu hiệu viêm nướu, việc điều trị sớm sẽ ngăn chặn bệnh phát triển thành các biến chứng nghiêm trọng hơn. Các biện pháp điều trị có thể bao gồm loại bỏ mảng bám, cao răng, dùng thuốc hoặc can thiệp chuyên sâu đối với các tổn thương nặng hơn, giúp duy trì sức khỏe răng miệng lâu dài.
Xem thêm:Sưng nướu răng hàm trên – Nguyên nhân và cách điều trị
Tổng kết
Viêm nướu là bệnh lý xảy ra phổ biến nhưng hoàn toàn có thể phòng tránh và điều trị hiệu quả nếu người bệnh có ý thức chăm sóc đúng cách. Nguyên nhân chủ yếu thường liên quan đến mảng bám vi khuẩn, cao răng tích tụ, cùng những yếu tố nội tiết hay thói quen sinh hoạt thiếu hợp lý. Triệu chứng như nướu sưng đỏ, chảy máu, hơi thở có mùi hôi là những dấu hiệu cảnh báo bạn cần hành động kịp thời.
Việc duy trì vệ sinh răng miệng đúng kỹ thuật, khám nha khoa định kỳ, loại bỏ cao răng sớm và điều trị tận gốc các vấn đề sẽ giúp ngăn chặn bệnh viêm nướu phát triển nặng hơn, bảo vệ sức khỏe toàn diện cho hàm răng. Chăm sóc răng miệng không chỉ giúp duy trì một nụ cười tự tin, tươi tắn mà còn góp phần nâng cao chất lượng cuộc sống mỗi ngày.

Liên hệ ngay với Nha khoa DrGreen để được kiểm tra răng sứ, đánh giá nguyên nhân gây hôi miệng và tư vấn cách chăm sóc đúng cách từ chuyên gia.
Hotline: 0936.996.609
Fanpage: https://www.facebook.com/nhakhoadrgreen
Website: nhakhoadrgreen.vn
Hệ thống Nha khoa Dr Green:
- 40B Lạch Tray, Ngô Quyền, Hải Phòng
- HDS11 Vinhomes Marina, Lê Chân, Hải Phòng
- 38 Tân Dương, Thủy Nguyên, Hải Phòng
- 43 Trần Phú, Cẩm Phả, Quảng Ninh











