
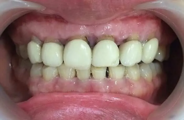
Hiện tượng răng sứ bị hở là hiện tượng rất nhiều người gặp phải. Tuy nhiên, rất ít người nhận ra được cho đến khi nó trở

Hiện nay, bọc răng sứ luôn lựa chọn phổ biến trong các phương pháp phục hồi nha khoa. Tuy nhiên, không phải lúc nào răng sứ cũng

Súc miệng nước muối là điều nhiều người hay làm để bảo vệ răng miệng của mình. Phương pháp này sẽ giúp loại bỏ và tiêu diệt

Bọc răng sứ là phương pháp hiệu quả giúp khắc phục những khuyết điểm của răng. Thông qua đó đem lại nụ cười trắng sáng và đều

Trám răng là một trong những phương pháp hiệu quả để khắc phục khiếm khuyết răng. Tuy nhiên, trong một số trường hợp, người bệnh trám răng

Những món ăn ngọt luôn là sự lựa chọn yêu thích của rất nhiều người hiện nay. Tuy nhiên trong quá trình ăn uống những món ngọt,











