
Niềng răng cho trẻ em đang trở thành một trong những vấn đề được nhiều bậc phụ huynh quan tâm. Việc can thiệp sớm sẽ giúp trẻ

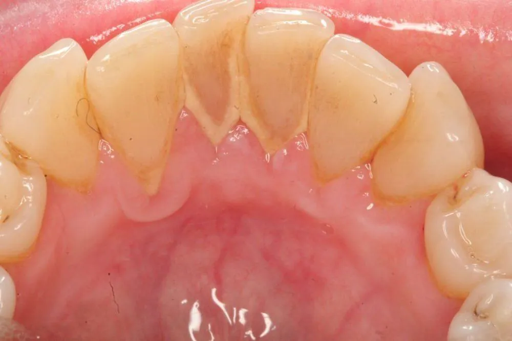
Cao răng là một vấn đề phổ biến mà nhiều người gặp phải. Không chỉ gây khó chịu, cao răng còn ảnh hưởng đến sức khỏe răng

Việc nhổ răng vẫn có thể gây ra chảy máu và kéo dài khiến nhiều người lo lắng. Lúc này, những giải pháp cầm máu sẽ là

Một số trường hợp muốn bọc răng sứ nhưng điều kiện lợi không cho phép thực hiện. Lúc này, việc cắt lợi sẽ được thực hiện trước

Xét nghiệm máu là việc được thực hiện trong một số trường hợp nhổ răng đặc biệt. Việc này sẽ giúp đảm bảo sức khỏe của khách

Tiêu xương hàm là hiện tượng nhiều người gặp phải khi bị mất răng. Hiện tượng này nếu để lâu có thể dẫn đến việc bị tụt











