
Xét nghiệm máu là việc được thực hiện trong một số trường hợp nhổ răng đặc biệt. Việc này sẽ giúp đảm bảo sức khỏe của khách

Tiêu xương hàm là hiện tượng nhiều người gặp phải khi bị mất răng. Hiện tượng này nếu để lâu có thể dẫn đến việc bị tụt

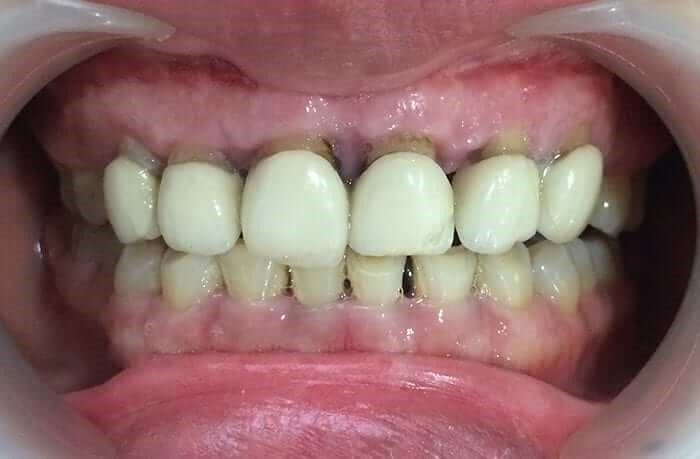
Hiện tượng răng sứ bị hở là hiện tượng rất nhiều người gặp phải. Tuy nhiên, rất ít người nhận ra được cho đến khi nó trở

Hiện nay, bọc răng sứ luôn lựa chọn phổ biến trong các phương pháp phục hồi nha khoa. Tuy nhiên, không phải lúc nào răng sứ cũng

Súc miệng nước muối là điều nhiều người hay làm để bảo vệ răng miệng của mình. Phương pháp này sẽ giúp loại bỏ và tiêu diệt

Bọc răng sứ là phương pháp hiệu quả giúp khắc phục những khuyết điểm của răng. Thông qua đó đem lại nụ cười trắng sáng và đều