Hiện tượng răng sứ bị hở là hiện tượng rất nhiều người gặp phải. Tuy nhiên, rất ít người nhận ra được cho đến khi nó trở nên nghiêm trọng. Nếu không điều trị kịp thời, răng sứ bị hở sẽ gây đau nhức, hôi miệng, mất răng thật. Vì thế, việc phát hiện sớm các triệu chứng của tình trạng này sẽ cực kỳ có ích. Nó có thể giúp bạn tiết kiệm thời gian và chi phí trong quá trình điều trị. Vậy dấu hiệu răng sứ bị hở gồm những gì? Nguyên nhân và cách phòng ngừa ra sao? Hãy cùng Nha khoa DrGreen giải đáp cho trong bài viết này
Răng sứ bị hở là gì?
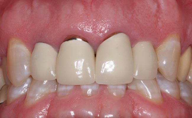
Trước khi tìm hiểu các dấu hiệu răng sứ bị hở thì cần biết hiện tượng răng sứ bị hở là gì. Tình trạng răng sứ bị hở là hiện tượng mão sứ không còn sát khít với cùi răng thật. Từ đó tạo ra một khe hở rõ rệt giữa viền nướu và cổ răng sứ. Khi quan sát bằng mắt thường, người bệnh có thể dễ dàng nhận thấy một khoảng trống nhỏ. Khoảng trống này nằm tại vị trí tiếp giáp giữa mão sứ và mô nướu.
Đây là hậu quả thường gặp khi bọc răng sứ không được thực hiện đúng kỹ thuật. Điều này có thể do lấy dấu không chính xác, thiết kế mão sứ sai lệch. Hoặc thao tác gắn mão chưa đạt yêu cầu. Nếu không được xử lý kịp thời, tình trạng này có thể dẫn đến nhiều biến chứng nghiêm trọng. Ví dụ như viêm nướu, hôi miệng, sâu răng dưới mão sứ và thậm chí là mất răng. Do đó, việc phát hiện và khắc phục sớm là điều cần thiết. Thông qua đó đảm bảo sức khỏe răng miệng lâu dài và duy trì hiệu quả phục hình.

Dấu hiệu răng sứ bị hở gồm những gì?
Quy trình bọc răng sứ yêu cầu sự chính xác và tỉ mỉ trong từng giai đoạn. Trong đó bao gồm khâu thăm khám, lấy dấu, mài cùi đến lắp mão sứ. Mỗi bước đều đóng vai trò quan trọng trong việc đảm bảo mão sứ được phục hình sát khít với cùi răng thật. Từ đó đạt hiệu quả thẩm mỹ tối ưu và độ bền lâu dài. Tuy nhiên, một số quá trình thực hiện sai kỹ thuật hoặc thiếu kiểm soát chất lượng. Khi đó chúng có thể dẫn đến những sai sót nghiêm trọng. Từ đó gây ảnh hưởng trực tiếp đến sức khỏe răng miệng của bệnh nhân.
Một trong những biến chứng phổ biến là tình trạng răng sứ bị hở. Dưới đây là các dấu hiệu răng sứ bị hở sớm:
- Viền nướu xuất hiện vết đen hoặc xám mờ. Thường do vi khuẩn tích tụ hoặc kim loại trong mão sứ bị oxy hóa (nếu dùng sứ kim loại).
- Khe hở giữa chân răng và viền nướu. Lúc này mão sứ không sát khít, để lộ phần cùi răng bên trong.
- Tụt nướu quanh răng sứ làm lộ chân răng thật, gây mất thẩm mỹ. Đồng thời tăng nguy cơ viêm nhiễm.
- Cảm giác ê buốt khi ăn uống. Đặc biệt khi dùng thực phẩm nóng, lạnh hoặc chua. Điều này do ngà răng bị lộ và chịu kích thích.
- Răng sứ lỏng lẻo, cộm cấn gây khó khăn trong việc ăn nhai. Từ đó ảnh hưởng đến khớp cắn và chức năng nhai.
- Thức ăn dễ mắc vào khe hở giữa răng sứ và nướu gây hôi miệng. Đồng thời làm tăng nguy cơ sâu răng, viêm nướu, viêm nha chu.

Nguyên nhân gây ra dấu hiệu răng sứ bị hở
Hiểu rõ nguyên nhân gây ra tình trạng mắc dấu hiệu răng sứ bị hở rất quan trọng. Nó sẽ giúp bạn có những biện pháp phòng ngừa hiệu quả hơn trong tương lai. Dưới đây là một số nguyên nhân phổ biến:
Kỹ thuật phục hình không chính xác từ bác sĩ điều trị
Quy trình bọc răng sứ đòi hỏi sự chính xác cao trong thao tác mài cùi răng. Tất cả đảm bảo đúng tỷ lệ giữa chiều cao, độ rộng và hướng của trục răng. Tuy nhiên, một số bác sĩ tay nghề chưa vững hoặc đánh giá sai tình trạng răng thật. Từ đó có thể dẫn đến việc mài răng quá sâu hoặc không đồng đều. Điều này không chỉ làm tổn thương mô răng thật. Nó còn gây suy yếu chân răng theo thời gian. Hậu quả là nướu có thể bị tụt, mất liên kết với mão sứ. Từ đó hình thành khe hở giữa mão sứ và nướu, ảnh hưởng chức năng lẫn thẩm mỹ.

Chất lượng bọc răng sứ không đảm bảo
Việc răng sứ kém chất lượng có thể gây kích ứng cho mô mềm xung quanh răng. Đặc biệt là vùng nướu. Các phản ứng viêm như sưng đỏ, đau nhức và thậm chí tụ mủ có thể xảy ra. Khi tình trạng viêm kéo dài, mão sứ sẽ bị đẩy lên cao. Điều này sẽ dẫn đến các dấu hiệu răng sứ bị hở giữa mão và cùi răng.
Đặc biệt, một số trường hợp dùng răng sứ kim loại (nhất là loại sứ kim loại thường). Lúc này phần khung kim loại bên trong có nguy cơ bị oxy hóa theo thời gian. Sự ăn mòn này làm mất đi sự ổn định của mão sứ. Theo thời gian chúng sẽ khiến mão không còn bám sát vào trụ răng. Từ đó tạo ra hiện tượng hở chân răng và làm lộ viền đen kém thẩm mỹ.

Mão sứ chế tác sai lệch kích thước
Một nguyên nhân khác dẫn đến dấu hiệu răng sứ bị hở là mão sứ được chế tác không đúng kích thước. Điều này có thể xuất phát từ quy trình lấy dấu hàm không chính xác. Hoặc sai sót trong khâu thiết kế, chế tác tại phòng Labo. Một số trường hợp mão sứ lớn hơn hoặc không tương thích với cùi răng. Lúc này việc gắn mão sẽ không đạt được độ sát khít cần thiết. Thông qua đó hình thành khe hở giữa mão sứ và mô răng thật.

Sử dụng xi-măng dán sứ kém chất lượng
Vật liệu dán mão sứ đóng vai trò quan trọng trong việc cố định mão lên cùi răng. Đồng thời đảm bảo độ kín khít và bền chắc. Một số trường hợp sử dụng loại xi-măng nha khoa không đạt chuẩn. Hoặc bác sĩ sử dụng với lượng quá ít. Lúc này chúng sẽ khiến mão sứ không được gắn chắc chắn. Thậm chí dễ bị lỏng lẻo hoặc bung bật sau một thời gian sử dụng. Tình trạng này cũng tạo điều kiện cho vi khuẩn xâm nhập. Theo thời gian chúng sẽ gây viêm nhiễm và hình thành khe hở.

Chăm sóc răng miệng không đúng cách
Một số người có thói quen vệ sinh răng miệng sai kỹ thuật. Chẳng hạn như sử dụng bàn chải lông cứng, chải răng với lực quá mạnh. Hoặc không làm sạch kỹ các vùng tiếp giáp giữa răng và nướu. Những thói quen này đều có thể gây tổn thương mão sứ theo thời gian. Các tác động cơ học không phù hợp sẽ khiến mão sứ bị lệch khỏi vị trí ban đầu. Từ đó gây mòn cổ răng, làm hở viền nướu và tạo điều kiện cho vi khuẩn phát triển.

Bọc răng sứ bị hở có sao không?
Vừa rồi chúng ta đã biết được dấu hiệu răng sứ bị hở. Cùng với đó là nguyên nhân gây ra hiện tượng nay. Lúc này điều nhiều người quan tâm đó là răng sứ bị hở có nguy hiểm không. Cụ thể việc răng sứ bị hở có những nguy cơ sau:
Nguy cơ mất răng thật
Mão sứ không khít hoàn hảo với nướu sẽ tạo ra khe hở giữa mão và mô nướu. Điều này sẽ tạo điều kiện cho vi khuẩn xâm nhập và phát triển. Vi khuẩn này có thể gây ra các bệnh lý răng miệng nghiêm trọng. Ví dụ như viêm nha chu, viêm nướu và viêm tủy. Đặc biệt, chân răng thật sẽ bị tác động thêm một lần nữa, khiến cấu trúc răng yếu đi. Khi đó, nguy cơ răng thật bị mất hoàn toàn sẽ gia tăng. Nó không chỉ làm mất khả năng ăn nhai. Thậm chí nó còn ảnh hưởng nghiêm trọng đến sức khỏe răng miệng tổng thể.

Ảnh hưởng đến thẩm mỹ
Dấu hiệu răng sứ bị hở không chỉ ảnh hưởng đến chức năng của răng. Nó còn gây tác động xấu đến thẩm mỹ, đặc biệt là ở các răng cửa. Khi răng sứ bị hở, chân răng thật sẽ bị lộ ra ngoài. Từ đó tạo cảm giác thiếu tự nhiên và mất thẩm mỹ khi giao tiếp. Đặc biệt, đối với răng sứ kim loại, phần kim loại ở dưới mão sứ bị lộ. Lúc này màu đen của kim loại sẽ làm tăng độ dễ nhận diện vấn đề. Từ đó khiến người bệnh cảm thấy tự ti và thiếu tự tin trong giao tiếp.
Ảnh hưởng đến hệ tiêu hóa
Một tác động không thể bỏ qua của dấu hiệu răng sứ bị hở là sự ảnh hưởng đến khả năng ăn nhai của bệnh nhân. Khi răng sứ không khít, bệnh nhân thường gặp phải tình trạng ê buốt, đau nhức. Hoặc cảm giác khó chịu khi ăn uống. Điều này làm cho việc nghiền nát thức ăn trở nên khó khăn. Từ đó dẫn đến tình trạng thức ăn không được tiêu hóa đúng cách. Hệ tiêu hóa sẽ phải làm việc vất vả hơn để xử lý thức ăn. Thông qua đó có thể dẫn đến các vấn đề tiêu hóa. Ví dụ như đau dạ dày, táo bón, trào ngược dạ dày hoặc vấn đề tiêu hóa khác.

Hôi miệng
Khi răng sứ bị hở, khe hở giữa mão và răng thật sẽ tạo ra những khu vực tích tụ thức ăn và mảng bám vi khuẩn. Sự tích tụ này không chỉ khiến việc vệ sinh trở nên khó khăn. Nó còn dẫn đến mùi hôi miệng, do sự phân hủy của thức ăn trong các kẽ hở. Hơn nữa, tình trạng này có thể làm tổn thương cùi răng thật. Từ đó dẫn đến đau nhức kéo dài và tăng nguy cơ viêm nhiễm. Điều này không chỉ ảnh hưởng đến sức khỏe răng miệng. Nó còn ảnh hưởng lớn đến chất lượng cuộc sống của bệnh nhân.
Răng sứ bị hở phải làm sao để điều trị và phòng ngừa?
Việc phát hiện sớm các dấu hiệu răng sứ bị hở là rất quan trọng, tuy nhiên, bạn cũng cần biết cách xử lý và phòng ngừa tình trạng này.
Thăm khám nha sĩ để kiểm tra và điều chỉnh mão sứ
- Khi phát hiện dấu hiệu răng sứ bị hở, bước đầu tiên bạn nên làm là đến gặp nha sĩ để kiểm tra. Bác sĩ sẽ thực hiện các xét nghiệm cần thiết. Thông qua đó đánh giá tình trạng cụ thể của răng sứ và đưa ra giải pháp thích hợp.
- Một số trường hợp, nha sĩ có thể điều chỉnh mão sứ để khắc phục tình trạng hở. Tuy nhiên, một số trường hợp tình hình đã trở nên nghiêm trọng. Lúc này việc thay mới mão sứ có thể là điều cần thiết. Quyết định sẽ phụ thuộc vào khảo sát lâm sàng mà nha sĩ thực hiện.
- Đừng chần chừ khi bạn thấy có dấu hiệu bất thường. Bởi việc can thiệp sớm sẽ giúp bạn tiết kiệm thời gian. Đồng thời tối ưu chi phí trong quá trình điều trị.

Duy trì chế độ chăm sóc vệ sinh răng miệng đúng cách
- Giữ cho răng miệng luôn sạch sẽ rất quan trọng. Đây là một trong những biện pháp phòng ngừa hiệu quả nhất . Bạn nên đánh răng ít nhất hai lần mỗi ngày bằng bàn chải mềm. Đồng thời sử dụng kem đánh răng chứa fluoride để giúp loại bỏ mảng bám và vi khuẩn.
- Ngoài ra, dùng chỉ nha khoa để làm sạch kẽ hở giữa các răng cũng là một thói quen tốt. Điều này sẽ giúp bạn giữ cho khu vực răng sứ luôn sạch sẽ. Đồng thời giảm nguy cơ bị sâu răng hoặc các bệnh lý về nướu.
- Khám nha khoa định kỳ là một phần không thể thiếu. Đặc biệt trong việc phòng ngừa các vấn đề về răng miệng. Nha sĩ sẽ giúp bạn kiểm tra và phát hiện sớm những dấu hiệu bất thường. Từ đó có biện pháp xử lý kịp thời trước khi tình trạng trở nên nghiêm trọng.
Xem thêm:
- Răng sứ có tháo ra được không? Những lưu ý quan trọng
- Có nên súc nước muối sau khi bọc răng sứ không?
Dấu hiệu răng sứ bị hở có thể gây ra nhiều phiền toái trong quá trình ăn uống. Đồng thời ảnh hưởng đến sức khỏe răng miệng tổng thể. Nhận biết sớm các dấu hiệu, hiểu rõ nguyên nhân và thực hiện các biện pháp xử lý đúng cách sẽ giúp bạn bảo vệ hàm răng của mình một cách hiệu quả. Để được tư vấn cụ thể, hãy liên hệ Nha khoa DrGreen theo thông tin bên dưới
Hotline: 0936.996.609
Fanpage: https://www.facebook.com/nhakhoadrgreen
Website: nhakhoadrgreen.vn
Hệ thống Nha khoa Dr Green:
- 40B Lạch Tray, Ngô Quyền, Hải Phòng
- HDS11 Vinhomes Marina, Lê Chân, Hải Phòng
- 38 Tân Dương, Thủy Nguyên, Hải Phòng
- 43 Trần Phú, Cẩm Phả, Quảng Ninh











