Viêm nha chu là bệnh nhiễm trùng nghiêm trọng ở phần nướu mà rất nhiều người mắc. Bệnh này chủ yếu xuất phát từ việc vệ sinh răng miệng không sạch sẽ. Người mắc bệnh này sẽ cảm thấy đau đớn và khó chịu khi sinh hoạt. Đặc biệt ở trẻ em, phần nướu chưa trọn vẹn thì bệnh này có thể gây biến chứng. Vậy bệnh viêm nha chu ở trẻ em là gì? Nguyên nhân và cách điều trị bệnh này ra sao? Hãy cùng Nha khoa DrGreen tìm hiểu chi tiết trong bài viết này
Viêm nha chu ở trẻ em là gì?
Viêm nha chu ở trẻ em là một bệnh lý nhiễm trùng nghiêm trọng tại vùng nướu răng. Bệnh này phát sinh do vi khuẩn và các vi sinh vật tích tụ trên bề mặt răng. Đặc biệt xuất hiện nhiều nhất trong các túi nướu quanh răng. Khi vi khuẩn sinh sôi, chúng kích thích hệ thống miễn dịch phản ứng. Từ đó gây ra tình trạng viêm nhiễm mãn tính tại các mô xung quanh chân răng.
Ở giai đoạn đầu, viêm nha chu có thể chỉ gây sưng đỏ và viêm nhẹ ở nướu. Tuy nhiên, khi bệnh tiến triển, tình trạng viêm sẽ lan rộng. Điều này dẫn đến tổn thương nghiêm trọng ở xương hàm và các mô nâng đỡ răng. Nếu không được điều trị kịp thời viêm nha chu có thể gây mất răng vĩnh viễn. Thậm chí làm suy giảm chức năng nhai và ảnh hưởng lớn đến thẩm mỹ khuôn mặt.
Tuy nhiên, viêm nha chu vẫn có thể được phát hiện sớm và điều trị kịp thời. Lúc này bệnh có thể được kiểm soát và thậm chí khỏi hoàn toàn. Thường xuyên đánh răng, dùng chỉ nha khoa đúng cách là cách tốt nhất. Ngoài ra, hãy giúp trẻ súc miệng bằng dung dịch kháng khuẩn và thăm khám nha khoa định kỳ. Điều này sẽ giúp ngăn ngừa và kiểm soát hiệu quả tình trạng viêm nha chu. Đồng thời bảo vệ sức khỏe răng miệng lâu dài

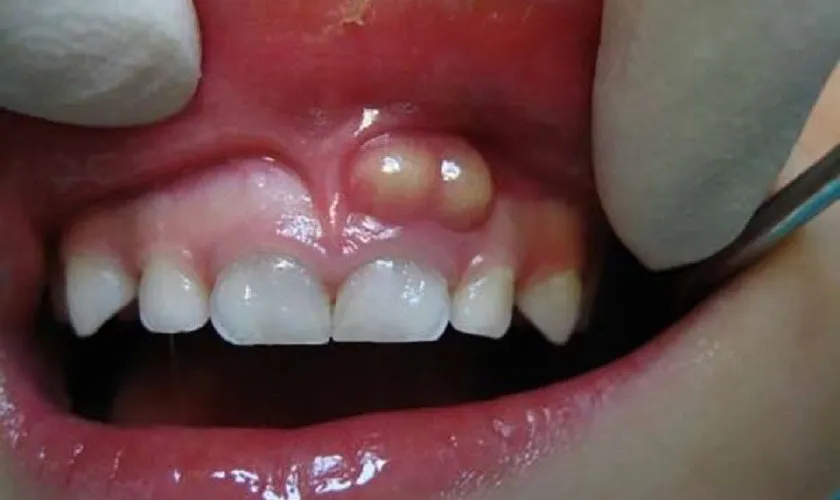
Những dấu hiệu của bệnh viêm nha chu ở trẻ em
Nướu khỏe mạnh thường có độ săn chắc và ôm sát vào chân răng. Nó đóng vai trò quan trọng trong việc bảo vệ răng và giữ vững cấu trúc răng miệng. Màu sắc của nướu khỏe mạnh có thể thay đổi tùy thuộc vào cơ địa của từng người. Thông thường dao động từ hồng nhạt, hồng đậm, đến nâu. Chúng đều được coi là bình thường nếu không xuất hiện các dấu hiệu viêm nhiễm. Tuy nhiên, một số trường hợp nướu bị tổn thương hoặc viêm nha chu ở trẻ em. Lúc này trẻ có thể xuất hiện một số dấu hiệu và triệu chứng như sau:
- Vùng nướu bị viêm thường sưng phồng và không còn săn chắc như trước.
- Nướu chuyển từ màu hồng tự nhiên sang đỏ tươi, đỏ sẫm. Thậm chí tím sẫm, biểu hiện của viêm nặng.
- Nướu trở nên nhạy cảm, dễ đau hoặc chảy máu khi tiếp xúc.
- Nướu có thể chảy máu khi đánh răng, xỉa răng, hoặc thậm chí khi khạc nhổ.
- Sau khi chải răng, bàn chải thường xuất hiện vết máu hồng do nướu bị tổn thương.
- Hơi thở có mùi hôi khó chịu mà không cải thiện dù đã vệ sinh răng miệng.
- Mủ xuất hiện giữa răng và nướu, cho thấy tình trạng nhiễm trùng nghiêm trọng.
- Khi viêm nha chu nặng, răng có thể bị lung lay. Điều này do mất cấu trúc nâng đỡ của nướu và xương.
- Người bệnh cảm thấy đau hoặc khó chịu khi ăn nhai, đặc biệt khi cắn các thực phẩm cứng.
- Nướu co lại, làm lộ chân răng nhiều hơn, dẫn đến răng trở nên nhạy cảm.

Nguyên nhân gây viêm nha chu ở trẻ em
Ăn uống không khoa học
Trẻ em thường có xu hướng tiêu thụ các loại thực phẩm chứa nhiều đường. Phổ biến nhất như bánh, kẹo, nước ngọt có ga,… Những thực phẩm này không chỉ hấp dẫn trẻ. Nó còn tạo môi trường thuận lợi cho vi khuẩn trong khoang miệng phát triển. Vi khuẩn sử dụng đường làm nguồn năng lượng, tạo ra acid gây ăn mòn. Sau đó làm tổn thương lớp men răng vốn còn non nớt của trẻ. Một số cha mẹ không kiểm soát chế độ ăn uống một cách hợp lý. Lúc này viêm nha chu ở trẻ em có thể mắc cùng nhiều bệnh lý răng miệng khác.
Vệ sinh không đúng cách
Trẻ nhỏ thường chưa nhận thức đầy đủ về tầm quan trọng của việc vệ sinh răng miệng. Từ đó dẫn đến việc chải răng qua loa hoặc bỏ quên một số vùng khó tiếp cận. Điều này khiến các mảng bám thức ăn tồn đọng trên bề mặt răng trong thời gian dài. Thông qua đó tạo môi trường lý tưởng cho vi khuẩn sinh sôi và phát triển. Các vi khuẩn này sẽ tấn công vào mô nướu, dẫn đến viêm nhiễm. Thậm chí gây nên các bệnh lý nghiêm trọng như viêm nha chu.
![]()
Thói quen thở bằng miệng
Thở bằng miệng là một thói quen không tốt ở trẻ em. Theo thời gian điều này gây ra nhiều hệ lụy đến sức khỏe răng miệng. Việc thở bằng miệng làm giảm lượng nước bọt, dẫn đến tình trạng khô miệng. Nước bọt đóng vai trò quan trọng trong việc giữ ẩm, trung hòa acid. Đồng thời ngăn chặn sự phát triển của vi khuẩn có hại. Khi miệng bị khô, lợi khuẩn bị suy giảm, tạo điều kiện cho vi khuẩn có hại phát triển mạnh. Từ đó dẫn đến nguy cơ viêm nha chu ở trẻ em và các vấn đề răng miệng khác.
Hệ miễn dịch yếu
Trẻ em có hệ miễn dịch yếu thường khó khăn trong việc đối phó với sự tấn công của vi khuẩn có hại trong khoang miệng. Lúc này cơ thể không đủ khả năng chống lại các vi khuẩn gây bệnh. Từ đó tình trạng viêm nhiễm sẽ lan rộng và trở nên nghiêm trọng hơn. Điều này không chỉ làm tăng nguy cơ viêm nha chu ở trẻ em. Nó còn gây khó khăn trong quá trình điều trị. Thậm chí nếu điều trị sái cách sẽ khiến bệnh lý dễ tái phát và kéo dài.

Các giai đoạn của bệnh viêm nha chu ở trẻ em
Viêm lợi (giai đoạn khởi phát)
Viêm lợi, hay còn gọi là viêm nướu, là giai đoạn đầu của viêm nha chu ở trẻ em. Giai đoạn này thường bắt nguồn từ sự tích tụ mảng bám trên bề mặt răng. Tình trạng này xảy ra ở cả trẻ em và người lớn khi vệ sinh răng miệng không đúng cách. Nếu không được điều trị kịp thời, viêm lợi có thể tiến triển thành viêm nha chu. Từ đó gây ảnh hưởng đến các mô và xương xung quanh răng. Tuy nhiên, đây là giai đoạn có thể cải thiện dễ dàng. Đặc biệt khi người bệnh chú trọng vệ sinh răng miệng. Đồng thời thực hiện thăm khám nha khoa định kỳ.
Viêm nha chu cấp tính
Khi viêm lợi không được điều trị, bệnh sẽ tiến triển thành viêm nha chu cấp tính. Ở giai đoạn này, nướu bắt đầu bị tổn thương nghiêm trọng, dẫn đến tình trạng tụt nướu. Theo thời gian khiến chân răng lộ ra và hình thành các túi nướu giữa răng và nướu. Những túi này là nơi trú ngụ lý tưởng cho vi khuẩn có hại. Từ đó gây nhiễm trùng và kích thích phản ứng miễn dịch của cơ thể.
Hệ miễn dịch khi phản ứng lại vi khuẩn có thể khiến các mô nướu co lại. Từ đó dẫn đến chảy máu nướu khi đánh răng hoặc dùng chỉ nha khoa. Nếu không được điều trị đúng cách, tình trạng này có thể gây tiêu xương chân răng. Thậm chí làm tăng nguy cơ mất răng vĩnh viễn.

Viêm nha chu mãn tính
Khi viêm nha chu cấp tính không được kiểm soát, bệnh chuyển sang giai đoạn mãn tính. Thậm chí nó sẽ gây ra nhiều vấn đề nghiêm trọng hơn. Biểu hiện phổ biến của viêm nha chu ở trẻ em mãn tính là chảy máu chân răng kéo dài. Ngoài ra là đau xung quanh răng và tình trạng tụt nướu ngày càng nghiêm trọng.
Trong quá trình này, sự phá hủy xương nâng đỡ chân răng diễn ra liên tục. Điều này khiến răng trở nên lung lay và mất đi sự vững chắc. Nếu không được điều trị kịp thời, viêm nha chu mãn tính có thể dẫn đến phản ứng. Trong đó bao gồm viêm lan tỏa, ảnh hưởng tiêu cực đến sức khỏe toàn thân.
Viêm nha chu nghiêm trọng
Ở giai đoạn nghiêm trọng nhất, các mô liên kết giữ răng, nướu và xương đều bị tổn thương nặng nề. Nướu co rút, xương hàm và các cấu trúc nâng đỡ răng bị phá hủy gần như hoàn toàn. Từ đó dẫn đến răng lung lay hoặc mất răng vĩnh viễn.
Triệu chứng thường thấy ở giai đoạn này bao gồm đau đớn dữ dội khi nhai. Ngoài ra chảy máu nặng, hơi thở có mùi hôi khó chịu và cảm giác có vị hôi trong miệng. Nếu không được điều trị kịp thời, viêm nha chu ở trẻ em có thể gây biến dạng. Tác động xấu cấu trúc hàm và ảnh hưởng lớn đến chất lượng cuộc sống.

Cách điều trị viêm nha chu ở trẻ em an toàn và hiệu quả
Vệ sinh răng miệng đúng cách và an toàn
Điều trị viêm nha chu ở trẻ em thường bắt đầu bằng việc cải thiện thói quen vệ sinh răng miệng. Lúc này cha mẹ phải hướng dẫn trẻ cần:
- Đánh răng đều đặn 2–3 lần mỗi ngày sau bữa ăn. Sử dụng bàn chải có lông mềm và kích thước phù hợp. Từ đó làm sạch răng hiệu quả mà không làm tổn thương nướu.
- Sử dụng kem đánh răng chứa fluoride. Nó giúp tăng cường men răng và ngăn ngừa sự hình thành của mảng bám.
- Kết hợp sử dụng chỉ nha khoa hàng ngày. Từ đó loại bỏ mảng bám và thức ăn thừa ở các kẽ răng. Đây là những khu vực mà bàn chải khó tiếp cận.
Làm sạch chuyên sâu tại phòng khám
Một số trường hợp viêm nha chu nghiêm trọng hoặc viêm nướu cấp tính. Lúc này việc tự vệ sinh tại nhà không đủ để kiểm soát bệnh. Người bệnh cần đến nha khoa để bác sĩ thực hiện các bước làm sạch chuyên sâu như:
- Cạo vôi răng: Loại bỏ cao răng và mảng bám tích tụ. Những mảng này xuất hiện nhiềutrên bề mặt răng và dưới đường viền nướu.
- Làm sạch mảng bám sâu dưới nướu: Đây là biện pháp quan trọng. Thông qua đó loại bỏ vi khuẩn gây viêm nhiễm. Đồng thời ngăn ngừa bệnh tiến triển sang giai đoạn nghiêm trọng hơn.

Thuốc điều trị viêm nha chu ở trẻ em
Một số trường hợp viêm nha chu ở trẻ em đã trở nên nghiêm trọng. Lúc này bác sĩ có thể kê đơn sử dụng thuốc điều trị để kiểm soát viêm nhiễm và giảm triệu chứng. Các loại thuốc phổ biến bao gồm:
- Thuốc kháng sinh: Được chỉ định để tiêu diệt vi khuẩn gây viêm nhiễm trong mô nướu.
- Nước súc miệng chuyên dụng: Giúp kiểm soát vi khuẩn trong khoang miệng. Đồng thời hỗ trợ quá trình lành thương.
- Thuốc điều trị viêm nha chu khác: Tùy thuộc vào tình trạng bệnh, bác sĩ có thể kê thêm các loại thuốc hỗ trợ điều trị hiệu quả.
Xem thêm:
- Viêm lợi trùm có tự khỏi được không? Lời giải đáp cụ thể
- Răng mọc lệch ở trẻ em do đâu? Nguyên nhân và cách điều trị
Trên đây là những điều cần biết về bệnh viêm nha chu ở trẻ em. Cùng với đó là các giai đoạn phát triển của bệnh và cách điều trị hiệu quả. Để được tư vấn cụ thể, hãy liên hệ Nha khoa DrGreen theo thông tin bên dưới
Hotline: 0936.996.609
Fanpage: https://www.facebook.com/nhakhoadrgreen
Website: nhakhoadrgreen.vn
Hệ thống Nha khoa Dr Green:
- 40B Lạch Tray, Ngô Quyền, Hải Phòng
- HDS11 Vinhomes Marina, Lê Chân, Hải Phòng
- 38 Tân Dương, Thủy Nguyên, Hải Phòng
- 43 Trần Phú, Cẩm Phả, Quảng Ninh











