Trám răng sâu là một trong những phương pháp phổ biến và hiệu quả nhất để khắc phục các tình trạng răng bị sâu nhẹ đến trung bình. Không chỉ giúp ngăn ngừa vi khuẩn lây lan và tổn thương nghiêm trọng hơn, trám răng còn mang lại chức năng ăn nhai và thẩm mỹ cho người dùng. Với sự phát triển của công nghệ nha khoa, hiện nay các vật liệu trám đa dạng về tính năng, độ bền và thẩm mỹ, phù hợp với từng nhu cầu và điều kiện của mỗi người. Trong bài viết này, chúng ta sẽ đi sâu tìm hiểu về quy trình, ưu điểm, hạn chế cùng chi phí của phương pháp trám răng sâu, từ đó giúp bạn đưa ra quyết định đúng đắn khi cần thiết.

Trám răng sâu là gì và khi nào cần thực hiện
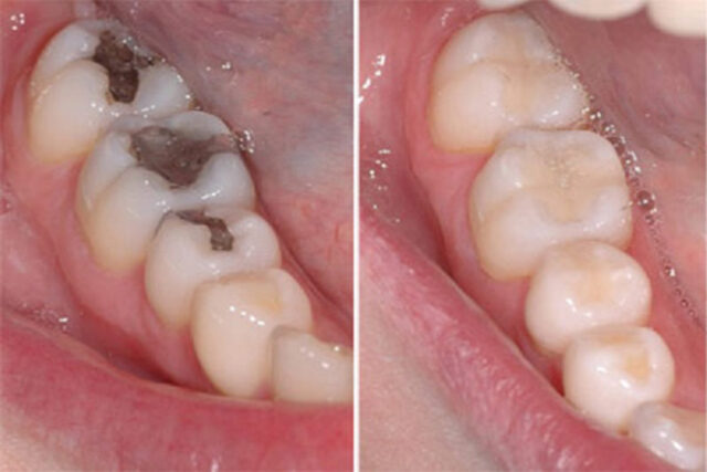
Trám răng sâu là một phương pháp điều trị nha khoa dùng vật liệu chuyên dụng để lấp đầy các lỗ sâu trên răng bị sâu do vi khuẩn gây ra. Đây là kỹ thuật đơn giản, không gây đau đớn, dựa trên nguyên lý loại bỏ phần mô bị hư tổn, làm sạch và sau đó trám kín để phục hồi hình dạng, chức năng của răng.

Là phương pháp dùng vật liệu nha khoa để lấp đầy lỗ sâu răng
Trám răng sâu sử dụng các loại vật liệu đặc biệt như amalgam (hợp kim bạc, chì, thiếc), composite (hợp chất nhựa dân dụng), hoặc sứ để trám kín các lỗ sâu trên răng. Các vật liệu này có khả năng thích ứng cao, đảm bảo tính thẩm mỹ và độ bền phù hợp với từng vị trí của răng.
Sự phát triển của công nghệ vật liệu nha khoa đã mang lại nhiều lợi ích vượt trội như tính an toàn, không gây kích ứng mô mềm và tuổi thọ ngày càng được nâng cao. Tiến trình trám răng luôn đảm bảo vệ sinh tối đa để loại bỏ vi khuẩn, mảng bẩn, giảm nguy cơ tái phát sâu trở lại. Ngoài ra, vật liệu trám có thể chế tác phù hợp với màu răng tự nhiên, giúp duy trì vẻ đẹp tự nhiên của hàm răng.
Thường áp dụng khi răng bị sâu nhẹ đến trung bình, chưa ảnh hưởng tủy
Thông thường, trám răng sâu sẽ được chỉ định khi răng mới bắt đầu xuất hiện những lỗ sâu nhỏ hoặc vừa, khu vực sâu chưa lan rộng hoặc gây kích thích tủy răng. Nếu không điều trị kịp thời, sâu răng sẽ lan rộng, phá huỷ cấu trúc răng và dẫn tới các vấn đề phức tạp hơn.
Trám là phương pháp tối ưu trong giai đoạn này bởi thời gian thực hiện nhanh, không gây đau đớn, và ít rủi ro. Đặc biệt, nếu phát hiện sớm, việc trám răng giúp tiết kiệm chi phí, tránh việc phải điều trị phức tạp như răng tẩy tủy hoặc nhổ răng. Người bệnh nên định kỳ kiểm tra răng miệng để sớm phát hiện các dấu hiệu sâu răng mới nhất, từ đó có hướng xử lý phù hợp.
Ưu điểm và hạn chế của trám răng sâu
Việc trám răng sâu mang lại nhiều lợi ích rõ rệt, góp phần bảo vệ sức khỏe răng miệng và duy trì vẻ đẹp thẩm mỹ của hàm răng. Tuy nhiên, cùng với đó, phương pháp này cũng tồn tại một số hạn chế nhất định mà người bệnh cần lưu ý để có quyết định phù hợp.

Ưu điểm: ngăn ngừa vi khuẩn phát triển, phục hồi chức năng ăn nhai và thẩm mỹ
Trám răng sâu giúp ngăn chặn sự lan rộng của vi khuẩn và tổn thương của sâu răng, từ đó giữ cho cấu trúc răng không bị phá huỷ nặng nề hơn. Bên cạnh đó, việc trám kín các lỗ sâu còn giúp duy trì chức năng nhai, không gây khó chịu khi ăn uống, đồng thời giảm thiểu các bệnh lý nha khoa khác như viêm nướu, viêm nha chu.
Về mặt thẩm mỹ, các vật liệu composite hay sứ có thể phù hợp màu răng, giúp người dùng không cảm thấy mất tự tin khi cười nói. Ngoài ra, quá trình trám diễn ra nhanh, ít gây ảnh hưởng đến sinh hoạt hàng ngày và có thể xử lý luôn trong vòng một buổi hẹn tại nha khoa.
Hạn chế: độ bền không cao bằng bọc sứ, có thể bong sút theo thời gian
Dù có nhiều ưu điểm, song trám răng cũng không thể thay thế hoàn toàn các phương pháp phục hình khác như bọc sứ hoặc cắm implant. Các vật liệu trám thường có độ bền trung bình, sau một thời gian dài sử dụng có thể bị bong, sứt hoặc xuất hiện màu khác so với răng thật, gây mất thẩm mỹ.
Ngoài ra, trám răng sâu không phù hợp với các trường hợp sâu nặng, sâu lan rộng tới tủy hoặc răng đã yếu, mỏi, hỏng nặng. Trong những trường hợp này, cần các kỹ thuật tối ưu hơn để đảm bảo độ bền và chức năng lâu dài, tránh phải thực hiện lại nhiều lần. Người bệnh cần tuân thủ tốt lời khuyên của nha sĩ để kéo dài tuổi thọ của miếng trám.
Quy trình và chi phí trám răng sâu
Để hiểu rõ hơn về phương pháp trám răng sâu, chúng ta cần tìm hiểu các bước thực hiện cũng như các yếu tố ảnh hưởng đến chi phí của quá trình này.

Quy trình gồm làm sạch lỗ sâu, tạo hình khoang trám và hàn kín bằng vật liệu chuyên dụng
Quy trình trám răng sâu bắt đầu bằng bước khám và chẩn đoán chính xác tình trạng của răng, sau đó tiến hành vệ sinh sạch sẽ vùng bị sâu để loại bỏ phần mô răng đã hư tổn. Tiếp theo, nha sĩ sẽ tạo hình khoang trám phù hợp để đảm bảo vật liệu bám chắc, tối đa hoá khả năng chịu lực và hạn chế các điểm gây kích ứng.
Sau khi chuẩn bị xong khoang trám, bước quan trọng là trám kín vết sâu bằng vật liệu phù hợp, sau đó dùng dụng cụ để chỉnh sửa, làm bóng bề mặt sao cho trông tự nhiên và đảm bảo chức năng ăn nhai tốt nhất. Cuối cùng, nha sĩ sẽ kiểm tra cẩn thận để đảm bảo không còn khe hở, giúp kéo dài tuổi thọ của miếng trám và phòng ngừa tái phát sâu.
Chi phí dao động từ vài trăm nghìn đến hơn một triệu đồng tùy vị trí và chất liệu trám
Chi phí trám răng sâu không cố định mà dao động theo nhiều yếu tố như mức độ sâu của răng, vị trí của răng, loại vật liệu trám sử dụng và hạng mục dịch vụ của từng nha khoa. Thông thường, các dịch vụ trám composite hay sứ cao cấp có giá thành cao hơn amalgam.
Chung quy, mức phí trung bình giao động từ khoảng 300.000 đồng đến hơn 1.500.000 đồng cho mỗi răng, các răng hàm hoặc răng cửa có thể có mức giá khác nhau. Người bệnh nên tham khảo chi tiết từ nha sĩ trước khi điều trị, đồng thời cân nhắc về chất lượng dịch vụ và độ bền của vật liệu trám để đưa ra quyết định phù hợp nhất.
Tổng kết
Trám răng sâu là một phương pháp đa năng, hiệu quả, giúp phục hồi răng hư tổn nhanh chóng, giảm thiểu rủi ro nhiễm khuẩn và duy trì thẩm mỹ cho hàm răng. Với những tiến bộ trong công nghệ vật liệu nha khoa, hiện nay việc trám răng không còn đơn thuần là biện pháp tạm thời, mà còn là giải pháp dài hạn, thích hợp với nhiều người.
Dù có nhiều ưu điểm, người bệnh cần lưu ý về hạn chế của phương pháp này như độ bền không bằng các kỹ thuật phục hình khác, cần có chế độ chăm sóc đúng cách để kéo dài tuổi thọ của miếng trám. Chi phí trám răng sâu cũng khá phù hợp so với giá trị thẩm mỹ và sức khỏe, song cần lựa chọn địa chỉ nha khoa uy tín để đảm bảo kết quả tốt nhất. Hi vọng bài viết đã cung cấp đầy đủ các thông tin cần thiết để bạn có thể tự tin hơn trong các quyết định về chăm sóc răng miệng.

Liên hệ ngay với Nha khoa DrGreen để được kiểm tra răng sứ, đánh giá nguyên nhân gây hôi miệng và tư vấn cách chăm sóc đúng cách từ chuyên gia.
Hotline: 0936.996.609
Fanpage: https://www.facebook.com/nhakhoadrgreen
Website: nhakhoadrgreen.vn
Hệ thống Nha khoa Dr Green:
- 40B Lạch Tray, Ngô Quyền, Hải Phòng
- HDS11 Vinhomes Marina, Lê Chân, Hải Phòng
- 38 Tân Dương, Thủy Nguyên, Hải Phòng
- 43 Trần Phú, Cẩm Phả, Quảng Ninh











