Răng kẹ hay còn gọi là răng thừa, răng mọc sai vị trí, mọc chen chúc với những chiếc răng khác. Răng kẹ có thể mọc một hoặc nhiều chiếc, khiến hàm răng kém thẩm mỹ, gây ra các bệnh lý nguy hiểm cho răng. Vậy răng kẹ phải làm sao, có nên nhổ răng kẹ hay không? Cùng Nha khoa Dr Green tìm hiểu hiểu và đưa ra phương pháp xử lý phù hợp cho hàm răng của bạn.
Nguyên nhân hình thành răng kẹ? Răng kẹ có nguy hiểm không?
Tại sao lại mọc răng kẹ?
Răng kẹ được hình thành do nhiều nguyên nhân khác nhau. Một nghiên cứu chỉ ra rằng, răng kẹ được hình thành do:
- Gen di truyền, bố mẹ truyền cho con của họ.
- Hình thành do thật sứt môi, hội chứng Gardner, loạn xương đòn ở sọ…
- Do rối loạn trong quá trình phân đôi mầm răng.
- Hoạt động của ngà răng làm thay đổi cấu trúc.

Răng kẹ ảnh hưởng thế nào tới răng miệng?
Răng kẹ khiến nụ cười kém tự tin hơn, nguy cơ dẫn tới các bệnh lý nguy hiểm và làm thay đổi cấu trúc răng. Cụ thể:
Ảnh hưởng tới thẩm mỹ của hàm răng
Trong khuôn miệng mọc thừa ra một chiếc răng sẽ khiến hàm răng của bạn kém thẩm mỹ, còn hơn thế nữa khi răng kẹ mọc ngay vị trí giữa hai răng cửa hàm trên.
Điều này khiến cho nụ cười kém duyên, mất đi sự hài hoà của khuôn mặt. Vì thế mà người bệnh tự ti, ngại giao tiếp, ảnh hưởng tới các mối quan hệ.
Nguy cơ cao mắc các bệnh lý về răng
Răng mọc ở vị trí bất thường sẽ cản trở việc ăn nhai, thức ăn dễ kẹt lại trong kẽ răng và khó làm sạch. Lâu dần hình thành mảng bám cứng đầu, ổ vi khuẩn nguy hiểm, nguy cơ cao mắc viêm nướu, sâu răng…
Thay đổi cấu trúc răng
Răng mọc chen chúc, sai vị trí sẽ làm ảnh hưởng tới những chiếc răng kế cận. Lâu dần dẫn tới sai lệch khớp cắn, làm thay đổi cấu trúc răng.

Có nên nhổ răng kẹ hay không?
Nhiều người thường hạn chế việc nhổ răng vì sợ ảnh hưởng tới dây thần kinh, khiến đau nhức xương hàm, đau đầu hoặc sợ ảnh hưởng tới chất lượng của những chiếc răng kế cận. Tuy nhiên, với sự phát triển hiện đại của y khoa hiện nay, bạn không cần lo lắng về những vấn đề này.
Các dây thần kinh nằm ẩn sâu bên dưới xương hàm, nhổ răng không gây nguy hiểm cho các mạch máu dẫn truyền tới hệ thần kinh trung ương. Quá trình thực hiện nhổ răng được diễn ra nghiêm ngặt, hạn chế đau nhức cho người bệnh.
Thông thường, quá trình nhổ răng sẽ diễn ra trong 10 – 20 phút, nếu trường hợp khó có thể lâu hơn. Sau khi hết thuốc tê cơn đau có thể quay nhưng chỉ đau âm ỉ trong khoảng 1 – 2 ngày sau đó.
So với cơn đau ngắn ngủi này thì việc nhổ răng kẹ mang lại nhiều lợi ích hơn cả về mặt sức khỏe lẫn thẩm mỹ cho người bệnh. Vì vậy, nếu phát hiện răng kẹ, bạn cần thăm khám và điều trị sớm, tránh để lâu dần hình thành bệnh lý nguy hiểm cho răng.

Phương pháp điều trị răng kẹ phù hợp là gì?
Khi điều trị răng kẹ, nha sĩ sẽ chia làm 2 trường hợp: điều trị cho trẻ em và người trưởng thành. Cụ thể:
Điều trị răng kẹ cho trẻ em
Răng kẹ của trẻ em chỉ cần nhổ bỏ là có thể xử lý vấn đề. Tiếp đó, cha mẹ cần theo dõi sức khỏe răng miệng của con và đưa tới nha khoa thăm khám định kỳ 3 – 6 tháng một lần, chụp x-quang để kiểm tra. Nếu phát hiện bất thường cần có biện pháp can thiệp sớm.
Điều này cũng nên được thực hiện thường xuyên, kể cả với những trẻ có một hàm răng khỏe mạnh bình thường. Bởi khám sức khỏe định kỳ sẽ giúp phát hiện và điều trị sớm các bệnh lý cho trẻ, tránh đau đớn kéo dài và gây khó khăn trong điều trị.

Điều trị răng kẹ cho người trưởng thành
Khi điều trị răng kẹ ở người trưởng thành, có 3 phương pháp được chỉ định tùy theo từng trường hợp. Cụ thể:
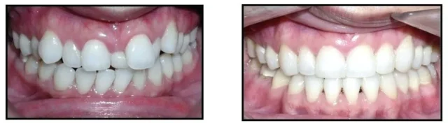
Nhổ răng và niềng răng
Đây là phương pháp khá phổ biến và mang lại hiệu quả cao, phù hợp với cả những chiếc răng kẹ đã mọc lớn. Lúc này, nha sĩ sẽ tiến thành nhổ răng kẹ và tư vấn phương pháp niềng răng phù hợp với nhu cầu và chi phí của người bệnh.
Một số phương pháp niềng răng phổ biến như:
- Niềng răng mắc cài
- Niềng răng trong suốt Invisalign
- Niềng răng mắc cài trong
- …

Nhổ răng và phục hình răng cửa khép thưa
Sau khi nhổ răng, nếu thấy khe hở không quá lớn, nha sĩ có thể gợi ý cho bạn sử dụng phương pháp phục hình răng để thu hẹp khoảng trống của răng kẹ vừa nhổ.
Một số phương pháp phổ biến như:
- Bọc răng sứ
- Dán sứ
- Trám răng
Ưu điểm của phương pháp này là nhanh chóng, chỉ mất khoảng 3 – 4 ngày để phục hình răng. Nhưng bạn lưu ý chỉ thực hiện khi kích thước của răng kẹ rất nhỏ, sau khi nhổ để lại một khoảng trống bé xíu, nếu không răng sau khi phục hình sẽ rất to, làm mất cân đối hàm răng.
Xem thêm:
Lời kết
Trên đây là nội dung chia sẻ của Nha khoa Dr Green về răng kẹ, có nên nhổ răng kẹ hay không? Nguyên nhân và phương pháp điều trị răng kẹ phù hợp cho từng trường hợp. Để được tư vấn chuyên sâu về tình trạng răng, quý khách vui lòng liên hệ với chúng tôi để được phản hồi sớm nhất.
Hotline: 0936.996.609
Fanpage: https://www.facebook.com/nhakhoadrgreen
Website: nhakhoadrgreen.vn
Hệ thống Nha khoa Dr Green:
- 40B Lạch Tray, Ngô Quyền, Hải Phòng
- HDS11 Vinhomes Marina, Lê Chân, Hải Phòng
- 38 Tân Dương, Thủy Nguyên, Hải Phòng
- 43 Trần Phú, Cẩm Phả, Quảng Ninh












