Lệch khớp cắn là tình trạng hai hàm răng trên dưới không phối hợp nhịp nhàng khi ăn nhai và đóng khớp. Đây là hiện tượng phổ biến trong nha khoa với nhiều mức độ khác nhau từ nhẹ cho tới nặng. Trong các trường hợp nhẹ, bạn có thể không nhận thấy rõ ràng nhưng ở mức độ vừa đến nặng, lệch khớp cắn sẽ ảnh hưởng đến chức năng ăn nhai, phát âm và thẩm mỹ khuôn mặt. Bài viết này chia sẻ chi tiết từ nguyên nhân, dấu hiệu nhận biết, hậu quả và các phương pháp điều trị thực tế dựa trên kinh nghiệm lâm sàng để bạn có thể đưa ra quyết định chăm sóc phù hợp. Nếu bạn đang đối mặt với vấn đề răng miệng liên quan đến lệch khớp cắn, việc nhận diện sớm sẽ cho phép can thiệp hiệu quả và giảm thiểu biến chứng về sau.
Nguyên nhân gây lệch khớp cắn
Nguyên nhân dẫn đến lệch khớp cắn rất đa dạng, có thể do yếu tố di truyền, bất thường bẩm sinh hoặc tác động từ thói quen sinh hoạt. Việc nhận diện đúng nguyên nhân giúp bác sĩ chọn liệu pháp chỉnh nha thích hợp và tối ưu cảnh báo biến chứng.
Di truyền và hình thái xương hàm
Di truyền đóng vai trò quan trọng trong sự phát triển hình thể của xương hàm và răng. Nhiều trường hợp lệch khớp cắn bắt nguồn từ sự khác biệt về kích thước và tỷ lệ giữa cung hàm trên và dưới, hoặc sự lệch chuẩn giữa xương hàm và răng vĩnh viễn. Những đặc điểm này có thể được truyền từ thế hệ này sang thế hệ khác và thường biểu hiện sớm từ thời kỳ mọc răng sữa hoặc răng vĩnh viễn.
Dị tật bẩm sinh và sự phức tạp của cấu trúc miệng
Một số dị tật bẩm sinh như hở hàm ếch hoặc sứt môi có thể đi kèm lệch khớp cắn. Các bất thường vùng hàm mặt từ nhỏ có thể làm thay đổi việc sắp xếp răng và khớp cắn sau này. Lớn lên, khi răng mọc chen chúc hoặc mất cân đối giữa các cấu trúc xương, lệch khớp cắn trở nên rõ rệt hơn.
Thói quen sinh hoạt và yếu tố môi trường
Thói quen như mút ngón tay, mút núm vú giả kéo dài hoặc đẩy lưỡi về phía răng cửa trong thời gian dài có thể tạo ra sự di lệch giữa hai hàm. Những thói quen này ảnh hưởng đến sự phát triển của cung răng và khớp cắn, đặc biệt ở trẻ nhỏ. Ngoài ra, chấn thương hàm mặt trong tai nạn hoặc hoạt động thể thao cũng có thể gây lệch khớp cắn nếu không được xử lý đúng cách.
Bệnh lý răng miệng và mất răng sớm
Răng sâu, viêm nha chu hoặc mất răng sớm có thể làm mất cân bằng giữa các răng còn lại và dẫn tới lệch khớp cắn. Khi một hoặc nhiều răng mất đi mà không được bù đắp bằng trồng răng, chỉnh nha hoặc implant, lực nhai phân bổ không đều khiến răng còn lại di chuyển ra vị trí mới, gây lệch khớp cắn kéo dài. Xem thêm các phương pháp điều trị răng mất phù hợp tại trồng răng implant.

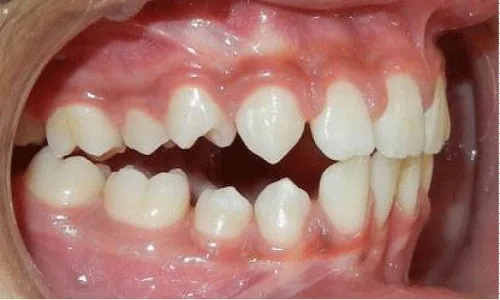
Dấu hiệu nhận biết lệch khớp cắn
Những dấu hiệu lệch khớp cắn có thể rõ hoặc mờ tùy mức độ. Hiểu rõ dấu hiệu giúp bạn nhận diện sớm và tìm gặp nha sĩ để được đánh giá chính xác.
Các dấu hiệu điển hình
- Xương hàm trên và hàm dưới không chạm khít khi cắn, có thể cảm nhận được sự mất cân đối trong đóng khớp.
- Răng chen chúc hoặc mọc lệch ở một phía, khiến khuôn mặt có sự mất cân đối về đối xứng.
- Nghẽn, mỏi hàm hoặc đau khi nhai do hai hàm không phối hợp tốt.
- Loét má hoặc lưỡi do cắn vào phần mềm hoặc vùng má khi ăn nhai, thậm chí có dấu hiệu đau tổn thương mô mềm.
- Phát âm bất thường, dễ nói ngọng hoặc khó phát âm một số âm do vị trí răng không khớp chuẩn.
- Nóng giận, mệt mỏi khi ăn nhai kéo dài và cảm giác ăn uống không thoải mái.
Các triệu chứng liên quan đến giấc ngủ và đau đầu
- Ngáy to hoặc ngưng thở khi ngủ ở mức độ nhẹ đến vừa có thể liên quan đến lệch khớp cắn và tư thế hàm trong khi ngủ.
- Đau cổ, vai và đau đầu kéo dài có thể xuất phát từ công suất cơ hàm và căng cơ quanh khớp thái dương hàm (TMJ). Tìm hiểu thêm các dấu hiệu liên quan tại răng hàm bị lệch.

Ảnh hưởng của lệch khớp cắn đến chức năng và thẩm mỹ
Lệch khớp cắn không chỉ là vấn đề thẩm mỹ mà còn ảnh hưởng tới chức năng ăn nhai, phát âm, và sức khỏe tổng quát của hàm mặt. Việc nhận diện sớm giúp hạn chế các biến chứng lâu dài và cải thiện chất lượng cuộc sống.
Chức năng ăn nhai và tiêu hóa
Khi hai hàm không khớp, lực nhai sẽ không phân bổ đều, gây mỏi cơ, đau cơ hàm và khó nghiền nát thức ăn. Điều này có thể dẫn đến ăn uống không đều, thiếu chất và ảnh hưởng tiêu hóa do thức ăn không được nghiền nhỏ tối ưu trước khi nuốt. Ngoài ra, nhai không hiệu quả còn làm tăng thời gian ăn và dễ bỏ bữa ở một số người.
Thẩm mỹ và tâm lý
Một khuôn mặt lệch, hàm trên- dưới không cân đối có thể ảnh hưởng đến sự tự tin và giao tiếp. Người có lệch khớp cắn thường tự ti về ngoại hình, nhất là ở giai đoạn phát triển ở tuổi dậy thì. Ảnh hưởng tâm lý này có thể lan tỏa sang cả sức khỏe tinh thần và chất lượng cuộc sống hàng ngày.
Khớp thái dương-hàm (TMJ) và đau nhức
Trong trường hợp lệch khớp cắn kéo dài, khớp thái dương hàm có thể bị quá tải, dẫn tới đau nhức khu vực TMJ, nghe tiếng kêu khi há miệng và hạn chế độ mở miệng. Tìm hiểu thêm các phương pháp điều trị tại trồng răng implant.

Khi nào cần gặp bác sĩ nha khoa?
Bạn nên gặp bác sĩ nha khoa khi nhận thấy bất cứ dấu hiệu lệch khớp cắn rõ ràng hoặc xuất hiện các triệu chứng kéo dài như đau hàm, khó ăn nhai hoặc phát âm khó. Đánh giá sớm giúp ngăn ngừa biến chứng và tối ưu kết quả điều trị. Xem xét các phương pháp chẩn đoán tiên tiến tại khám nha khoa.
Các dấu hiệu cần gặp bác sĩ ngay lập tức
- Không thể cắn chặt răng giữa hai hàm hoặc cảm giác đau dữ dội khi đóng/mở miệng.
- Đau vùng quanh khớp thái dương hàm hoặc khu vực má và tai kéo dài.
- Răng hàm trên và hàm dưới không khép kín khi nghỉ ngơi hoặc ngủ.
Các phương pháp chẩn đoán và đánh giá lệch khớp cắn
Chẩn đoán lệch khớp cắn dựa trên khám lâm sàng, chụp X-quang và, trong một số trường hợp, đánh giá bằng công nghệ hình ảnh 3D hoặc phân tích khớp cắn bằng các mẫu hàm. Việc đánh giá chi tiết cho phép bác sĩ xác định mức độ lệch và lên kế hoạch điều trị phù hợp.
Khám lâm sàng và hỏi bệnh
Bác sĩ sẽ hỏi kỹ về thói quen từ thời thơ ấu, tiền sử chấn thương, và các bệnh lý răng miệng hiện tại. Khám lâm sàng đánh giá sự đối xứng của khuôn mặt, tương quan hai hàm, mức độ chen chúc răng, và quan sát cách hai hàm gặp nhau khi cắn. Tham khảo thêm cách chăm sóc răng miệng hiệu quả tại cách đánh răng sạch sẽ.
Chụp X-quang và phân tích hệ xương hàm
Chụp X-quang giúp xác định mức độ lệch và các biến chứng liên quan như răng mọc lệch, xương hàm bị lệch hoặc hô/móm. Đối với trường hợp phức tạp, bác sĩ có thể đề nghị hình ảnh 3D hoặc CBCT để có cái nhìn chi tiết về xương và kết cấu quanh khớp thái dương hàm. Tham khảo thêm các phương pháp chẩn đoán tại kham-lam-sang.

Các cách khắc phục lệch khớp cắn
Điều trị lệch khớp cắn phụ thuộc vào nguyên nhân, mức độ lệch và tình trạng răng miệng của mỗi người. Dưới đây là các phương pháp phổ biến, được áp dụng ở nhiều căn bệnh nhân nha khoa khác nhau, từ đơn giản đến phức tạp.
Niềng răng và chỉnh nha
Niềng răng bằng mắc cài là một trong những phương pháp hiệu quả nhất để căn chỉnh răng lệch và cải thiện khớp cắn. Quá trình này bao gồm điều chỉnh vị trí răng bằng lực từ mắc cài và dây cung, giúp hai hàm gặp nhau chính xác hơn khi ăn nhai. Đối với lệch khớp cắn nhẹ đến vừa, niềng răng có thể mang lại kết quả ổn định sau một khoảng thời gian từ 12 đến 36 tháng tùy từng trường hợp. Trong nhiều tình huống, bác sĩ kết hợp niềng răng với các thiết bị phụ trợ như máng treo, minivòng hoặc các phương pháp chỉnh hình xương hàm để tối ưu hiệu quả.
Nhổ răng và tăng hiệu quả chỉnh nha
Trong trường hợp quá tải răng hoặc răng chen chúc nhiều, bác sĩ có thể cân nhắc nhổ một hoặc vài răng cần thiết để tạo không gian cho việc căn chỉnh. Việc nhổ răng thường được kết hợp với niềng răng hoặc máng giữ hàm để đảm bảo kết quả thẩm mỹ và chức năng tối ưu. Đồng thời, nhổ răng cũng có thể giúp giảm nguy cơ lệch lại sau khi điều trị. Tìm hiểu thêm các phương pháp trồng răng phù hợp tại trồng răng implant.
Phẫu thuật hàm cho lệch khớp cắn nặng
Đối với lệch khớp cắn nghiêm trọng hoặc khi chỉnh nha thông thường không mang lại kết quả như mong đợi, phẫu thuật hàm có thể được chỉ định. Phẫu thuật giúp căn chỉnh xương hàm trên và dưới, từ đó cải thiện khớp cắn và khuôn mặt. Phẫu thuật thường được phối hợp với trị liệu chỉnh nha trước và sau phẫu thuật để đảm bảo kết quả lâu dài và an toàn cho người bệnh.
Các công nghệ hiện đại và lựa chọn điều trị thay thế
Hiện nay, ngoài niềng răng cố định, nhiều người lựa chọn niềng trong suốt (aligners) hoặc các thiết bị chỉnh nha tiên tiến khác. Các phương pháp này mang lại thẩm mỹ cao và ít ảnh hưởng đến sinh hoạt hàng ngày. Tuy nhiên, hiệu quả còn phụ thuộc vào mức độ lệch và sự kiên trì của người dùng. Bác sĩ sẽ tư vấn phương án phù hợp nhất cho từng trường hợp cụ thể.

Biện pháp phòng ngừa và chăm sóc tại nhà
Một phần quan trọng của quản lý lệch khớp cắn là phòng ngừa và chăm sóc răng miệng đúng cách. Dù ở bất kỳ độ tuổi nào, việc can thiệp sớm và chăm sóc đều giúp giảm nguy cơ lệch khớp cắn nặng hơn và cải thiện kết quả điều trị.
Chống thói quen xấu ở trẻ em
- Kiểm soát và giảm hoặc loại bỏ thói quen mút ngón tay và dùng núm vú giả khi trẻ lên 2–3 tuổi.
- Khuyến khích trẻ ngậm núm vú đúng cách và hướng dẫn húi lưỡi đúng vị trí khi tập nói và ăn.
Chăm sóc răng miệng định kỳ và dinh dưỡng
Khám nha khoa định kỳ 2 lần/năm giúp phát hiện và điều trị sớm các bệnh lý nền như sâu răng và viêm nha chu, từ đó giảm yếu tố thúc đẩy lệch khớp cắn. Dinh dưỡng cân đối, hạn chế thức ăn quá dai hoặc quá cứng có thể giảm áp lực lên hàm và giúp răng ổn định hơn trong quá trình chỉnh nha.
Sử dụng đúng dụng cụ chỉnh nha và tuân thủ chỉ định
Khi đã được chỉ định niềng răng hoặc máng chỉnh nha, tuân thủ lịch hẹn và hướng dẫn của bác sĩ là yếu tố quyết định thành công. Tránh tự ý bỏ hoặc gia tăng thời gian đeo, vì điều này có thể làm gián đoạn quá trình điều trị và kéo dài thời gian chỉnh nha.

Lưu ý dinh dưỡng và lối sống hỗ trợ điều trị lệch khớp cắn
Chế độ ăn uống phù hợp và lối sống tích cực có thể hỗ trợ quá trình chỉnh nha và phục hồi sau phẫu thuật, giảm đau và tăng sự thoải mái khi đeo niềng hoặc các thiết bị chỉnh nha khác. Tham khảo thêm về các mẹo ăn uống chăm sóc răng tại các mẹo làm trắng răng.
Dinh dưỡng cho người đang chỉnh nha
Chọn thực phẩm mềm và dễ tiêu hóa trong các giai đoạn đầu của chỉnh nha có thể giảm áp lực lên răng và khớp. Tránh thực phẩm quá cứng, quá dai hoặc dính có nguy cơ làm hỏng niềng hoặc làm lệch lệnh lên răng. Bổ sung nguồn canxi và vitamin D từ sữa, cá hồi, hải sản và các sản phẩm bổ sung nếu được bác sĩ khuyến nghị.
Hoạt động hằng ngày và thói quen
Hạn chế nhai các vật cứng như đá viên hoặc bút, và tránh nghiến răng quá mạnh khi ngủ. Nếu nghiến răng về đêm, bác sĩ có thể đề xuất nẹp chống nghiến hoặc các biện pháp giảm đau cơ hàm giúp bạn ngủ ngon và giảm căng cơ. Để biết thêm các cách chăm sóc và phòng ngừa, xem nội dung hướng dẫn tại nỗi trào lạc và ngưng thở.

Kết luận và lời khuyên
Lệch khớp cắn là một vấn đề răng miệng phổ biến và có thể ảnh hưởng lâu dài đến chức năng ăn nhai, thẩm mỹ và sức khỏe toàn diện của bạn. Việc nhận diện sớm, tham khảo ý kiến bác sĩ nha khoa có chuyên môn và lựa chọn phương pháp điều trị phù hợp sẽ giúp bạn quay lại với cuộc sống thoải mái hơn. Mỗi người có một cơ địa và mức độ lệch khác nhau, vì vậy cần có sự tư vấn cá nhân từ nha sĩ hoặc chuyên gia chỉnh nha để đạt được kết quả tối ưu.
Để biết thêm thông tin chi tiết và tham khảo thêm các bài viết liên quan về chăm sóc răng miệng, bạn có thể xem thêm các tài liệu hướng dẫn từ các nguồn uy tín và cập nhật liên tục. Nếu bạn muốn tìm hiểu thêm về các giải pháp nha khoa và cách chăm sóc tại nhà, hãy tham khảo thêm nội dung tại Nha Khoa DrGreen.












