Khớp cắn đối đầu là một tình trạng răng miệng thường gặp nhưng vẫn gây nhiều nhầm lẫn cho người ngoài cuộc. Đây không phải là khớp cắn chuẩn mà là một dạng lệch nhẹ nằm ở khu vực răng cửa, nơi hai hàm sẽ chạm nhau theo cách edge-to-edge khi hàm ở trạng thái nghỉ. Khớp cắn đối đầu có thể ảnh hưởng đáng kể đến thẩm mỹ khuôn mặt, chức năng ăn nhai và sức khỏe răng miệng về lâu dài. Đối với nhiều người, vấn đề này phát sinh từ sự mất cân bằng giữa chiều dài hàm, hình dáng khuôn mặt và sự phát triển của răng; từ đó, các răng cửa trước hoặc cả vùng răng hàm nhỏ có thể bị lệch hoặc chạm nhau khi đóng khớp. Vì vậy, nhận diện sớm và có kế hoạch điều trị phù hợp đóng vai trò rất quan trọng, giúp ngăn ngừa biến chứng và duy trì vẻ đẹp nụ cười tự nhiên.
Các dấu hiệu nhận biết khớp cắn đối đầu
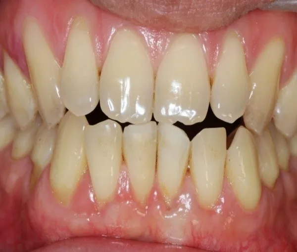
Khi nói về dấu hiệu nhận biết khớp cắn đối đầu, người bệnh thường dựa vào đặc điểm sau đây. Dựa trên quan sát lâm sàng, bác sĩ nha khoa sẽ đánh giá các yếu tố kết nối giữa răng và hàm để xác định mức độ lệch, từ nhẹ đến trung bình hoặc nặng. Dưới đây là những dấu hiệu phổ biến và dễ nhận diện:
- Hai hàm chạm trực tiếp ở phần cạnh cắn khi nghỉ, không có sự phủ đều của răng cửa như khớp cắn lý tưởng.
- Răng cửa trên và dưới chạm nhau theo chiều ngang và thường không có khoảng phủ (overjet) hoặc phủ đứng (overbite) như cấu trúc khớp cắn bình thường.
- Ăn nhai và cắn liên tục gây mỏi hàm, đặc biệt khi nhai thức ăn hoặc nói chuyện kéo dài khiến cơ hàm căng thẳng.
- Mòn men hoặc mẻ cạnh ở răng cửa do tiếp xúc thẳng hàng, kéo dài theo thời gian.
- Khuôn mặt mất cân đối theo tỷ lệ thẩm mỹ, có thể thấy sự lệch của đường cong khuôn miệng hoặc hai hàm không nằm ở cùng mức độ cân đối.
- Ê buốt răng hoặc nhạy cảm do lớp men bị mòn mạnh ở vùng tiếp xúc không tối ưu.
Để phân biệt giữa khớp cắn đối đầu và khớp cắn chuẩn, bác sĩ sẽ tiến hành kiểm tra tổng quát, đánh giá mức độ phủ và giải thích tác động của từng vị trí răng trên khuôn hàm. Các dấu hiệu trên là cơ sở để đề xuất kế hoạch điều trị sao cho vừa phục hồi chức năng ăn nhai vừa duy trì thẩm mỹ tối ưu.

Nguyên nhân gây ra khớp cắn đối đầu
Hiểu rõ nguyên nhân khớp cắn đối đầu giúp người bệnh nhận diện được các yếu tố rủi ro và có biện pháp phòng ngừa sớm. Bên cạnh di truyền, có nhiều yếu tố môi trường và phát triển tác động lên sự hình thành khớp cắn đối đầu. Dưới đây là những yếu tố thường gặp được bác sĩ nha khoa xem xét khi chẩn đoán:
1. Di truyền và phát triển hàm
Yếu tố di truyền đóng vai trò quan trọng trong việc quyết định cấu trúc hàm răng và mức độ lệch khớp cắn. Nếu trong gia đình có người bị khớp cắn đối đầu hoặc các lệch khớp cắn khác, nguy cơ di truyền sẽ cao. Sự phát triển không đồng đều của xương hàm và răng có thể dẫn đến vị trí răng cửa không cân đối, từ đó hình thành khớp cắn đối đầu. Trường hợp này thường đi kèm với sự lệch của các nhóm răng khác như khớp cắn chéo hoặc khớp cắn hở, cho thấy một hệ thống răng hàm chưa đạt được sự hòa hợp tối ưu. Bạn có thể tham khảo về tầm quan trọng của cấy ghép Implant nếu cần thiết để phục hồi răng mất và điều chỉnh khớp cắn đúng chuẩn.
2. Thói quen sinh lý và thói quen xấu từ nhỏ
Thói quen như ngậm núm vú giả quá dài, đẩy lưỡi, mút ngón tay hoặc bú bình kéo dài có thể tác động lên sự xếp đặt răng cửa và cung hàm. Những thói quen này tạo áp lực lên các răng cửa và phát triển xương hàm không đồng đều, gây nên khớp cắn đối đầu lệch lạc theo thời gian. Thông thường, khi trẻ dậy thì hoặc sau khi thay răng, sự mất cân bằng này có thể trở nên khó khắc phục nếu không được can thiệp đúng thời điểm. Để biết thêm về các phương pháp nâng cao và xử lý các thói quen xấu, bạn có thể đọc bài viết tại cách xử lý răng sâu nhẹ.
3. Mất răng và thiếu hụt răng
Mất răng không được thay thế đúng cách có thể làm tăng khoảng trống giữa các răng, dẫn đến xê dịch và mất cân bằng chức năng cắn. Khi một răng bị mất hoặc các răng kề bị tiêu biến ở vùng hạn chế, xu hướng di chuyển theo đường không mong muốn có thể xảy ra và dẫn đến khớp cắn đối đầu kéo dài, đặc biệt khi không có biện pháp chỉnh nha kịp thời. Tham khảo các phương pháp duy trì sức khỏe răng miệng trong quá trình điều trị tại các bài viết liên quan.
4. Tổn thương và phẫu thuật ở vùng mặt
Chấn thương hàm mặt hoặc phẫu thuật chỉnh hình có thể ảnh hưởng đến cấu trúc xương hàm và vị trí răng, từ đó dẫn đến sự lệch khớp cắn ở mức độ khác nhau. Những sang chấn này có thể làm thay đổi hướng lực nhai và cách răng tương tác với nhau, gây ra khớp cắn đối đầu ở một số trường hợp nặng. Để xử lý các tình huống này một cách hiệu quả, bạn có thể xem xét các giải pháp phẫu thuật chỉnh hình phù hợp như đã đề cập trong các bài viết chuyên sâu.
Hướng tới việc phòng ngừa và chăm sóc, việc nhận diện các yếu tố nguy cơ này sẽ giúp người dùng có kế hoạch can thiệp sớm, giảm thiểu tác động tiêu cực lên sức khỏe răng miệng và thẩm mỹ khuôn mặt.

Các phương pháp chuẩn đoán và xác định mức độ khớp cắn
Chẩn đoán khớp cắn đối đầu yêu cầu một quy trình đánh giá toàn diện, kết hợp giữa khám lâm sàng, hình ảnh học và mô hình hàm. Mục tiêu là xác định mức độ lệch, phạm vi ảnh hưởng và tác động lên chức năng và thẩm mỹ. Dưới đây là các bước chuẩn đoán phổ biến:
- Khám lâm sàng: bác sĩ kiểm tra diện tích tiếp xúc, khoảng cách giữa răng cửa trên và dưới, trạng thái men răng và khả năng đóng mở hàm. Đánh giá chức năng nhai, khớp thái dương hàm, và các dấu đau hay âm thanh bất thường khi hàm di chuyển. Để giúp chuẩn đoán chính xác hơn, có thể thực hiện chụp phim và lấy mẫu mô hình hàm.
- Xét nghiệm hình ảnh: chụp X-quang panorama hoặc tác động cắn ở các mức độ khác nhau để đánh giá xương hàm, vị trí răng, sự liên kết giữa hai hàm và độ lệch khớp cắn. Các hình ảnh này giúp loại trừ các vấn đề khác và xác định nguyên nhân gốc rễ.
- Kiểm tra mô hình hàm: lấy dấu mẫu hàm và tái hiện ảo hoặc bằng mẫu thạch cao để phân tích vị trí răng, khoảng trống và lực nhai. Việc so sánh mô hình trước và sau sẽ cho phép ước lượng mức độ lệch và dự báo quá trình di chuyển của răng khi điều trị.
- Định vị và đánh giá lực nhai: đôi khi bác sĩ thực hiện phân tích bite để đánh giá lực hai hàm tác động lên các răng và khớp. Việc này giúp đề xuất phương án chỉnh nha tối ưu, nhằm hướng lực tập trung vào những vùng cần điều chỉnh.
Sau khi hoàn tất các bước chuẩn đoán, bác sĩ sẽ đưa ra cách chỉnh khớp cắn đối đầu phù hợp và lên kế hoạch điều trị chi tiết. Việc nhận định đúng mức độ khớp cắn giúp tối ưu hóa kết quả và giảm thời gian điều trị, đồng thời hạn chế rủi ro cho sức khỏe răng miệng. Hãy nhớ rằng chẩn đoán sớm thường mang lại cơ hội điều trị ít xâm lấn và thẩm mỹ cao hơn cho người bệnh. Bạn có thể tham khảo thêm tại Các phương pháp chẩn đoán hiện đại.

Các phương pháp điều trị khớp cắn đối đầu hiện nay
Điều trị khớp cắn đối đầu phụ thuộc vào mức độ lệch và nguyên nhân căn bản. Dưới đây là các phương án điều trị phổ biến, được áp dụng tùy từng trường hợp để mang lại hiệu quả tối đa mà vẫn đảm bảo an toàn cho răng và khớp hàm:
1. Niềng răng chỉnh nha (các hình thức niềng răng)
Niềng răng là phương pháp điều trị phổ biến nhất cho khớp cắn đối đầu ở mức độ nhẹ đến trung bình. Bác sĩ sẽ gắn các khí cụ lên răng và dùng lực từ dây cung để dịch chuyển các răng về vị trí đúng. Các hình thức niềng răng hiện nay có thể đi kèm với tính thẩm mỹ cao như niềng răng trong suốt (không mắc cài) hoặc niềng răng có mắc cài truyền thống. Ưu điểm của niềng răng là khả năng điều chỉnh vị trí răng một cách từ từ, cải thiện cả khớp cắn đối đầu và cả thẩm mỹ khuôn mặt. Trong quá trình niềng răng, bác sĩ sẽ cân nhắc đáp ứng lực nhai và sự di chuyển của các răng, đồng thời kết hợp với các biện pháp duy trì để ngăn ngừa lệch trở lại sau khi kết thúc điều trị. Điều này không chỉ giúp khôi phục khớp cắn đối đầu mà còn bảo vệ men răng, nướu và khớp thái dương hàm khỏi tổn thương kéo dài.
Trong quá trình điều trị, có thể cần kết hợp các công nghệ tiên tiến như nắn chỉnh răng theo thời gian chính xác để đạt hiệu quả tối ưu nhất.
2. Bọc răng sứ và chỉnh hình thẩm mỹ
Ở mức độ nhẹ và vừa, khi khoảng cách giữa các răng chưa quá lớn và răng khỏe mạnh, bác sĩ có thể đề xuất bọc răng sứ hoặc thiết kế mão sứ lên trụ răng. Phương pháp này không chỉ giúp cải thiện thẩm mỹ mà còn hỗ trợ điều chỉnh lực và hình dáng răng cắn để khớp cắn đối đầu trở nên cân bằng hơn. Tuy nhiên, bọc răng sứ là giải pháp giới hạn, phù hợp với tình trạng răng cửa cần cải thiện mà không có quá nhiều tổn thương hoặc lệch phẫu thuật xương hàm. Trường hợp lệch quá mức hoặc răng đã bị mài quá mức, bác sĩ sẽ xem xét các giải pháp khác để đảm bảo an toàn và bền vững.
3. Phẫu thuật chỉnh sửa khớp cắn đối đầu (nếu cần)
Các trường hợp khớp cắn đối đầu nặng do xương hàm hoặc chấn thương gây ra có thể cần can thiệp phẫu thuật chỉnh hình. Phẫu thuật chỉnh sửa khớp cắn đối đầu nhằm điều chỉnh vị trí xương hàm trên hoặc hàm dưới để thiết lập khớp cắn chuẩn và cân bằng lực nhai. Quy trình phẫu thuật đòi hỏi đánh giá kỹ lưỡng về chức năng, thẩm mỹ và tuổi tác của người bệnh, đồng thời cần sự phối hợp chặt chẽ giữa bác sĩ phẫu thuật hàm mặt và bác sĩ chỉnh nha. Sau phẫu thuật, giai đoạn phục hồi và chỉnh nha bổ sung có thể cần thiết để ổn định kết quả lâu dài và ngăn ngừa tái phát.
4. Các phương pháp chỉnh nha kết hợp và điều chỉnh lực
Trong một số trường hợp, bác sĩ có thể kết hợp nhiều phương pháp để tối ưu hóa kết quả điều trị. Ví dụ, kết hợp giữa niềng răng và một số liệu pháp hỗ trợ như điều chỉnh đường cong cung răng, hoặc sử dụng các dụng cụ hỗ trợ để điều chỉnh lực nhai. Mục tiêu là tái cấu trúc khớp cắn đối đầu bằng cách phân bổ lực nhai đều và giảm áp lực lên những vùng dễ mòn men. Các phương pháp chỉnh nha hiện đại ngày nay tập trung vào sự thoải mái cho người bệnh, thời gian điều trị được tối ưu và kết quả thẩm mỹ cao. Để biết thêm về các phương pháp điều trị khác, bạn có thể tham khảo bài viết về quy trình niềng răng chi tiết.

Lời khuyên và lưu ý khi điều trị khớp cắn đối đầu
Để đạt được kết quả tối ưu và kéo dài hiệu quả điều trị khớp cắn đối đầu, người bệnh cần chú ý những lời khuyên sau đây. Trước hết, chọn một bác sĩ nha khoa có kinh nghiệm trong chỉnh nha và chẩn đoán khớp cắn đối đầu để đảm bảo kế hoạch điều trị được thiết kế riêng cho từng trường hợp. Việc tuân thủ đúng lịch hẹn, chăm sóc răng miệng đúng cách và thực hiện theo phác đồ điều trị là rất quan trọng. Thêm vào đó, người bệnh nên:
- Đảm bảo chăm sóc răng miệng hàng ngày bằng cách chải răng đúng kỹ thuật, dùng chỉ nha khoa và nước súc miệng theo hướng dẫn của bác sĩ.
- Kiểm soát chế độ ăn uống tránh thức ăn quá cứng, quá dai hoặc dính có thể làm hỏng hoặc làm lệch dụng cụ chỉnh nha.
- Theo dõi biến đổi và tái khám định kỳ để đánh giá tiến triển và điều chỉnh kế hoạch điều trị khi cần thiết. Có thể tham khảo về các triệu chứng răng khớp để phối hợp tốt hơn trong quá trình điều trị.
- Giữ tinh thần kiên nhẫn vì quá trình chỉnh nha có thể mất thời gian và cần sự phối hợp giữa bác sĩ và người bệnh để đạt được sự cân bằng giữa chức năng và thẩm mỹ.
Ngoài ra, khi đối mặt với các dấu hiệu bất ổn như đau kéo dài, ê buốt tăng hoặc sự thay đổi đột ngột trong cảm giác khi ăn nhai, người bệnh nên liên hệ với bác sĩ để được đánh giá lại và điều chỉnh kế hoạch.“cách chỉnh khớp cắn đối đầu” đang được cập nhật liên tục với các công nghệ mới, vì vậy việc tham khảo ý kiến chuyên gia có thể mang lại những lựa chọn tối ưu hơn cho từng trường hợp cụ thể.

Kết luận và tầm quan trọng của việc điều trị sớm
Khớp cắn đối đầu là tình trạng có thể ảnh hưởng sâu sắc đến chức năng ăn nhai, thẩm mỹ khuôn mặt và sức khỏe răng miệng. Điều trị khớp cắn đối đầu sớm không chỉ giúp phục hồi đường ăn nhai mà còn ngăn ngừa các biến chứng như mòn men, ê buốt và căng mỏi cơ hàm. Việc nhận diện sớm và lựa chọn phương pháp chỉnh nha phù hợp sẽ mang lại kết quả ổn định và lâu dài. Dù ở mức độ nhẹ hay nặng, sự can thiệp đúng thời điểm và theo đúng phác đồ sẽ giúp bạn đạt được khớp cắn cân bằng hơn, cải thiện tự tin và chất lượng cuộc sống. Hãy chú ý quan tâm chăm sóc răng miệng và tham khảo ý kiến từ các chuyên gia tại các trung tâm uy tín để đưa ra quyết định tối ưu. Bạn có thể tham khảo thêm các phương pháp mới như trồng răng Implant hiệu quả.
Nếu bạn đang tìm hiểu thêm về các lựa chọn nâng cao trong chỉnh nha hoặc muốn được tư vấn cụ thể cho trường hợp của mình, đừng ngần ngại tham khảo thêm bài viết tại Nha Khoa DrGreen để có thông tin chi tiết và cập nhật nhất. Đọc thêm và tham khảo tại Nha Khoa DrGreen.











