Viêm nướu răng là một trong những vấn đề răng miệng phổ biến, đặc biệt ở trẻ em. Khi nói đến hình ảnh viêm nướu răng ở trẻ, cha mẹ thường hình dung ra những chiếc nướu sưng đỏ, dễ chảy máu và gây đau đớn cho con. Tuy nhiên, việc nhận diện sớm các dấu hiệu này qua hình ảnh thực tế có ý nghĩa vô cùng quan trọng, giúp cha mẹ kịp thời phát hiện và có biện pháp can thiệp, tránh để bệnh tiến triển nặng gây ảnh hưởng đến sức khỏe răng miệng lâu dài và sự phát triển của răng vĩnh viễn sau này của trẻ. Bài viết này sẽ đi sâu vào việc cung cấp những hình ảnh viêm nướu răng ở trẻ ở các mức độ khác nhau, đồng thời phân tích chi tiết về nguyên nhân, dấu hiệu nhận biết và các phương pháp điều trị dứt điểm, hiệu quả nhất.
Tổng quan về viêm nướu răng ở trẻ em
Viêm nướu ở trẻ em không chỉ là một tình trạng đơn lẻ mà còn là dấu hiệu cảnh báo cho nhiều vấn đề răng miệng tiềm ẩn khác. Nướu răng, hay còn gọi là lợi, là mô mềm bao quanh chân răng, có vai trò bảo vệ răng và xương hàm. Khi nướu bị viêm nhiễm, chúng sẽ trở nên nhạy cảm, sưng tấy và dễ chảy máu, gây khó chịu cho trẻ trong sinh hoạt hàng ngày, đặc biệt là khi ăn uống và vệ sinh răng miệng. Việc hiểu rõ về tổng quan bệnh lý này giúp cha mẹ có cái nhìn toàn diện hơn về tầm quan trọng của việc chăm sóc răng miệng cho con.
Trẻ em thường là đối tượng dễ mắc viêm nướu hơn người lớn vì nhiều lý do. Thứ nhất, khả năng vệ sinh răng miệng của trẻ thường chưa hoàn thiện. Các bé có thể chưa biết cách chải răng đúng kỹ thuật, bỏ sót các kẽ răng hoặc mặt trong của răng, dẫn đến tích tụ mảng bám vi khuẩn. Mảng bám này chính là nguyên nhân hàng đầu gây viêm nướu. Thứ hai, chế độ ăn uống của trẻ thường chứa nhiều đường, đặc biệt là kẹo, bánh ngọt, nước ngọt – những thực phẩm tạo môi trường lý tưởng cho vi khuẩn phát triển và sản sinh axit tấn công men răng và nướu. Thứ ba, giai đoạn mọc răng sữa và thay răng vĩnh viễn cũng khiến nướu của trẻ trở nên nhạy cảm và dễ bị tổn thương hơn. Nướu có thể sưng nhẹ và đau khi răng mọc, tạo điều kiện cho vi khuẩn dễ dàng xâm nhập nếu không được vệ sinh cẩn thận. Bên cạnh đó, một số trẻ có thói quen thở bằng miệng, làm khô niêm mạc miệng và nướu, tạo điều kiện cho vi khuẩn yếm khí phát triển, cũng là một yếu tố nguy cơ.
Viêm nướu ở trẻ không chỉ gây đau đớn tức thời mà còn có thể dẫn đến những hậu quả nghiêm trọng hơn nếu không được điều trị kịp thời. Bệnh có thể tiến triển thành viêm nha chu, gây mất xương ổ răng và thậm chí là mất răng sớm. Đối với trẻ em, điều này đặc biệt nguy hiểm vì nó có thể ảnh hưởng đến sự mọc của răng vĩnh viễn, làm lệch lạc khớp cắn hoặc gây ra các vấn đề về thẩm mỹ và chức năng ăn nhai sau này. Do đó, việc nắm bắt các thông tin về hình ảnh viêm nướu răng ở trẻ, nguyên nhân và cách điều trị là vô cùng cần thiết để cha mẹ có thể bảo vệ nụ cười khỏe mạnh của con mình.

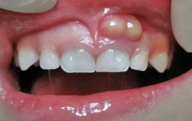
Hình ảnh viêm nướu răng ở trẻ em qua các giai đoạn
Việc nhận biết hình ảnh viêm nướu răng ở trẻ qua các giai đoạn là bước đầu tiên và quan trọng nhất để cha mẹ có thể đưa ra quyết định điều trị kịp thời. Các dấu hiệu viêm nướu thường bắt đầu một cách âm thầm và tiến triển dần nếu không được chú ý. Dưới đây là những mô tả chi tiết về các giai đoạn viêm nướu ở trẻ, kèm theo hình ảnh minh họa để cha mẹ dễ dàng nhận diện.
Ở giai đoạn đầu, viêm nướu thường biểu hiện nhẹ nhàng, đôi khi khó nhận thấy nếu không quan sát kỹ. Nướu có thể hơi sưng nhẹ ở rìa răng, màu sắc chuyển từ hồng nhạt sang đỏ nhạt hoặc đỏ tươi. Khi chải răng, trẻ có thể thấy một chút máu dính trên bàn chải hoặc khi nhổ nước bọt. Trẻ có thể cảm thấy hơi khó chịu hoặc ngứa nhẹ ở vùng nướu, nhưng không đến mức đau dữ dội. Đây là giai đoạn lý tưởng để can thiệp vì bệnh hoàn toàn có thể được chữa khỏi bằng cách cải thiện vệ sinh răng miệng.
Hình ảnh viêm nướu răng ở trẻ giai đoạn nhẹ:

Khi viêm nướu tiến triển sang giai đoạn trung bình, các triệu chứng trở nên rõ ràng hơn. Nướu sẽ sưng to hơn, có màu đỏ sẫm hoặc tím tái. Tình trạng chảy máu nướu răng xảy ra thường xuyên hơn, không chỉ khi chải răng mà còn khi ăn uống hoặc thậm chí tự nhiên. Trẻ có thể bắt đầu cảm thấy đau nhức, đặc biệt khi chạm vào nướu hoặc khi nhai. Hơi thở của trẻ cũng có thể bắt đầu có mùi hôi khó chịu do sự phát triển của vi khuẩn. Ở giai đoạn này, các mảng bám và vôi răng đã tích tụ đáng kể dưới đường viền nướu, cần được làm sạch chuyên nghiệp.

Ở giai đoạn nặng, viêm nướu có thể đã chuyển sang viêm nha chu, một tình trạng nghiêm trọng hơn ảnh hưởng đến các mô và xương nâng đỡ răng. Nướu bị sưng rất to, có thể có mủ, màu tím sẫm và rất dễ chảy máu. Trẻ sẽ cảm thấy đau nhức liên tục, ảnh hưởng đến giấc ngủ và việc ăn uống, có thể dẫn đến biếng ăn, sốt. Răng có thể bắt đầu lung lay do mất xương ổ răng. Hơi thở hôi rất nặng. Ở giai đoạn này, việc điều trị trở nên phức tạp hơn và đòi hỏi sự can thiệp của nha sĩ chuyên khoa. Nhận diện kịp thời các hình ảnh viêm nướu răng ở trẻ là chìa khóa để bảo vệ sức khỏe răng miệng toàn diện cho con.

Viêm nướu răng ở trẻ em có nguy hiểm gì không?
Khi cha mẹ phát hiện hình ảnh viêm nướu răng ở trẻ, một trong những câu hỏi đầu tiên thường là “viêm nướu răng ở trẻ em có nguy hiểm gì không?”. Câu trả lời là CÓ, và mức độ nguy hiểm có thể tăng lên nếu bệnh không được điều trị kịp thời và đúng cách. Viêm nướu không chỉ gây khó chịu tức thời cho trẻ mà còn tiềm ẩn nhiều biến chứng nghiêm trọng, ảnh hưởng đến sức khỏe răng miệng tổng thể và sự phát triển lâu dài của trẻ.
Một trong những nguy hiểm hàng đầu của viêm nướu ở trẻ là khả năng bệnh tiến triển thành viêm nha chu. Viêm nha chu là tình trạng viêm nhiễm lan rộng từ nướu đến các mô xung quanh răng, bao gồm xương ổ răng và dây chằng nha chu. Ở trẻ em, viêm nha chu có thể gây mất xương nâng đỡ răng, dẫn đến răng sữa bị lung lay và rụng sớm. Điều này không chỉ ảnh hưởng đến chức năng ăn nhai mà còn có thể làm mất đi “chỗ giữ” cho răng vĩnh viễn mọc lên đúng vị trí, gây ra các vấn đề về khớp cắn và cần can thiệp chỉnh nha phức tạp sau này. Sự mất răng sữa sớm do viêm nha chu có thể dẫn đến sự di chuyển của các răng còn lại, thu hẹp khoảng trống cho răng vĩnh viễn, khiến chúng mọc chen chúc, lệch lạc.
Ngoài ra, viêm nướu kéo dài còn ảnh hưởng đến sức khỏe tổng thể của trẻ. Tình trạng viêm nhiễm mãn tính trong khoang miệng có thể là nguồn gốc của vi khuẩn xâm nhập vào máu, gây ra các vấn đề sức khỏe ở các cơ quan khác như tim mạch hoặc hô hấp, mặc dù trường hợp này hiếm gặp hơn ở trẻ em so với người lớn. Hơn nữa, cảm giác đau nhức, khó chịu do viêm nướu có thể khiến trẻ biếng ăn, quấy khóc, ảnh hưởng đến giấc ngủ và sự phát triển thể chất. Hơi thở hôi do viêm nướu cũng có thể khiến trẻ tự ti, ngại giao tiếp, ảnh hưởng đến tâm lý và sự phát triển xã hội của bé.
Đặc biệt, nếu viêm nướu xảy ra trong giai đoạn trẻ đang mọc răng vĩnh viễn, tình trạng viêm nhiễm có thể gây tổn thương cho mầm răng vĩnh viễn nằm bên dưới, làm răng mọc chậm, yếu hơn hoặc thậm chí là biến dạng men răng. Do đó, việc cha mẹ cần chú ý đến các dấu hiệu viêm nướu ở trẻ, không nên chủ quan coi thường tình trạng này. Việc thăm khám nha sĩ định kỳ và điều trị viêm nướu ngay từ giai đoạn đầu là cách tốt nhất để bảo vệ sức khỏe răng miệng và tương lai nụ cười của con. Đừng để những hình ảnh viêm nướu răng ở trẻ chỉ là lời cảnh báo mà phải là động lực để hành động kịp thời.

Dấu hiệu nhận biết viêm nướu răng ở trẻ em cha mẹ cần lưu ý
Việc nhận biết sớm dấu hiệu viêm nướu răng ở trẻ em là cực kỳ quan trọng để can thiệp kịp thời và ngăn chặn bệnh tiến triển. Nhiều cha mẹ có thể bỏ qua những triệu chứng ban đầu, nghĩ rằng đó chỉ là tình trạng mọc răng thông thường hoặc vết thương nhỏ. Tuy nhiên, bằng cách quan sát kỹ và hiểu rõ các hình ảnh viêm nướu răng ở trẻ, cha mẹ có thể phát hiện bệnh sớm hơn. Dưới đây là các dấu hiệu viêm nướu mà cha mẹ cần đặc biệt lưu ý, từ nhẹ đến nặng:
Dấu hiệu sớm của viêm nướu (giai đoạn nhẹ):
- Nướu sưng và đỏ nhạt: Đây là dấu hiệu đầu tiên và dễ nhận thấy nhất. Thay vì màu hồng nhạt khỏe mạnh, nướu của trẻ bắt đầu có màu đỏ nhạt hoặc đỏ tươi ở phần rìa răng. Khi chạm vào có thể thấy nướu hơi sưng nhẹ.
- Chảy máu khi chải răng: Khi trẻ chải răng, bạn có thể thấy một lượng nhỏ máu dính trên bàn chải hoặc khi trẻ nhổ nước súc miệng. Đôi khi, máu có thể xuất hiện khi trẻ ăn các thức ăn cứng. Đây là dấu hiệu rõ ràng cho thấy nướu đang bị viêm nhiễm và rất nhạy cảm.
- Nướu nhạy cảm hoặc đau nhẹ: Trẻ có thể than phiền về cảm giác ngứa hoặc hơi đau nhẹ ở vùng nướu. Một số trẻ có thể tỏ ra khó chịu khi ăn hoặc khi chạm vào nướu.
Dấu hiệu khi bệnh tiến triển (giai đoạn trung bình đến nặng):
- Nướu sưng to và đỏ sẫm/tím tái: Khi bệnh tiến triển, nướu sẽ sưng to hơn đáng kể, có thể che phủ một phần răng. Màu sắc của nướu chuyển sang đỏ sẫm, thậm chí là tím tái, cho thấy tình trạng viêm nhiễm đã nặng hơn.
- Chảy máu thường xuyên và tự nhiên: Không chỉ khi chải răng, nướu có thể tự chảy máu khi trẻ ăn, nói chuyện hoặc thậm chí không có tác động nào. Lượng máu chảy ra cũng nhiều hơn so với giai đoạn đầu.
- Hơi thở có mùi hôi (hôi miệng): Vi khuẩn tích tụ trong các mảng bám và túi nha chu sản sinh ra các hợp chất gây mùi, khiến hơi thở của trẻ có mùi hôi khó chịu. Đây là một dấu hiệu cảnh báo rõ ràng về tình trạng viêm nhiễm.
- Đau nhức dữ dội: Trẻ sẽ cảm thấy đau nhức liên tục, ảnh hưởng đến việc ăn uống, giấc ngủ và sinh hoạt hàng ngày. Cảm giác đau có thể lan ra các vùng lân cận.
- Nướu tụt hoặc có túi nha chu: Ở giai đoạn nặng hơn, nướu có thể bắt đầu tụt xuống, làm lộ phần chân răng. Sự hình thành các túi nha chu (khoảng trống giữa nướu và răng) là nơi lý tưởng cho vi khuẩn tích tụ, làm tình trạng viêm trở nên trầm trọng hơn.
- Răng lung lay hoặc dịch chuyển: Đây là dấu hiệu của viêm nha chu nặng, khi xương ổ răng đã bị phá hủy. Răng có thể lung lay hoặc thậm chí thay đổi vị trí.
- Có mủ ở nướu: Trong một số trường hợp nặng, có thể xuất hiện mủ ở vùng nướu bị viêm, cho thấy nhiễm trùng đã lan rộng.
Cha mẹ cần quan sát các hình ảnh viêm nướu răng ở trẻ và đối chiếu với các dấu hiệu trên. Nếu nhận thấy bất kỳ dấu hiệu nào trong số này, đặc biệt là khi các triệu chứng kéo dài hoặc trở nên nghiêm trọng, hãy đưa trẻ đến nha sĩ để được thăm khám và điều trị kịp thời. Việc phát hiện sớm sẽ giúp quá trình điều trị đơn giản và hiệu quả hơn rất nhiều, bảo vệ nụ cười khỏe mạnh cho con.

Nguyên nhân gây viêm nướu răng ở trẻ em và cách phòng ngừa
Để điều trị và phòng ngừa hiệu quả hình ảnh viêm nướu răng ở trẻ, việc hiểu rõ các nguyên nhân gây bệnh là vô cùng cần thiết. Viêm nướu ở trẻ em không phải lúc nào cũng do một nguyên nhân duy nhất mà thường là sự kết hợp của nhiều yếu tố. Cha mẹ cần nắm vững những nguyên nhân này để có thể áp dụng các biện pháp phòng ngừa và chăm sóc phù hợp cho con.
1. Vệ sinh răng miệng kém: Đây là nguyên nhân hàng đầu và phổ biến nhất gây viêm nướu ở trẻ.
- Mảng bám và vôi răng (cao răng): Khi trẻ không chải răng đủ sạch hoặc không đúng cách, các mảng bám thức ăn và vi khuẩn sẽ tích tụ trên bề mặt răng và dưới đường viền nướu. Theo thời gian, mảng bám này sẽ cứng lại thành vôi răng (cao răng), tạo môi trường lý tưởng cho vi khuẩn phát triển mạnh mẽ. Vi khuẩn trong mảng bám và vôi răng sản sinh ra độc tố gây viêm và kích ứng nướu, dẫn đến sưng đỏ và chảy máu.
- Thiếu sự giám sát của cha mẹ: Nhiều trẻ chưa có ý thức tự giác và kỹ năng chải răng tốt. Cha mẹ cần giám sát, hướng dẫn và thậm chí chải răng giúp trẻ cho đến khi bé có thể tự thực hiện một cách hiệu quả.
2. Chế độ ăn uống không lành mạnh:
- Thực phẩm nhiều đường và tinh bột: Kẹo, bánh ngọt, nước ngọt, socola, và các loại thực phẩm chứa nhiều tinh bột như bánh mì trắng, khoai tây chiên là “thức ăn yêu thích” của vi khuẩn trong miệng. Chúng phân hủy đường và tinh bột thành axit, không chỉ gây sâu răng mà còn kích thích sự phát triển của vi khuẩn gây viêm nướu.
- Thiếu hụt vitamin: Một số nghiên cứu cho thấy thiếu hụt vitamin C và các vitamin nhóm B có thể làm suy yếu hệ miễn dịch của nướu, khiến chúng dễ bị viêm nhiễm hơn.
3. Mọc răng và thay răng:
- Giai đoạn mọc răng sữa: Khi răng sữa bắt đầu nhú lên, nướu của trẻ có thể bị sưng và nhạy cảm. Đây là một quá trình tự nhiên, nhưng nếu không được vệ sinh cẩn thận, vi khuẩn có thể dễ dàng tấn công vào vùng nướu đang bị tổn thương, gây viêm nhiễm.
- Giai đoạn thay răng vĩnh viễn: Tương tự như mọc răng sữa, quá trình răng vĩnh viễn mọc lên đẩy răng sữa ra ngoài cũng làm nướu trở nên nhạy cảm và dễ bị viêm. Các mảnh vụn thức ăn có thể kẹt lại giữa răng sữa đang lung lay và răng vĩnh viễn đang nhú, tạo điều kiện cho vi khuẩn phát triển.
4. Các yếu tố khác:
- Thở bằng miệng: Trẻ có thói quen thở bằng miệng (thay vì thở bằng mũi) do viêm amidan, VA quá phát, hoặc dị ứng có thể làm khô khoang miệng, đặc biệt là vùng nướu răng cửa. Nước bọt có vai trò quan trọng trong việc rửa trôi vi khuẩn và giữ ẩm cho nướu. Khi miệng khô, vi khuẩn có hại dễ dàng phát triển, dẫn đến viêm nướu và hình ảnh viêm nướu răng ở trẻ trở nên rõ rệt hơn.
- Dụng cụ chỉnh nha: Đối với trẻ đang niềng răng, các mắc cài và dây cung có thể gây khó khăn trong việc vệ sinh răng miệng, tạo ra nhiều “ngóc ngách” cho mảng bám tích tụ. Hơn nữa, chúng cũng có thể gây kích ứng hoặc làm tổn thương nướu, tạo điều kiện cho viêm nhiễm.
- Một số bệnh lý nền: Các bệnh toàn thân như tiểu đường, một số rối loạn miễn dịch, hoặc các tình trạng sức khỏe khác có thể làm giảm khả năng miễn dịch của cơ thể, khiến trẻ dễ bị viêm nướu hơn.
- Thuốc men: Một số loại thuốc (ví dụ: thuốc chống động kinh, thuốc ức chế miễn dịch) có thể gây ra tác dụng phụ là phì đại nướu, làm nướu sưng to và khó vệ sinh, dễ dẫn đến viêm.
Cách phòng ngừa viêm nướu răng ở trẻ:
- Vệ sinh răng miệng đúng cách và thường xuyên: Cha mẹ cần hướng dẫn và giám sát trẻ chải răng ít nhất 2 lần/ngày, mỗi lần 2 phút, sử dụng kem đánh răng có fluoride phù hợp với lứa tuổi. Dùng chỉ nha khoa hàng ngày để làm sạch kẽ răng.
- Chế độ ăn uống khoa học: Hạn chế đồ ngọt, nước ngọt và các thực phẩm giàu tinh bột. Khuyến khích trẻ ăn nhiều rau xanh, trái cây tươi và thực phẩm giàu vitamin.
- Thăm khám nha sĩ định kỳ: Đưa trẻ đi khám nha sĩ ít nhất 6 tháng một lần để được kiểm tra, làm sạch răng (lấy cao răng nếu có) và phát hiện sớm các vấn đề răng miệng.
- Giải quyết các vấn đề liên quan: Nếu trẻ thở bằng miệng, cần tìm nguyên nhân và điều trị. Đối với trẻ niềng răng, cần tuân thủ hướng dẫn vệ sinh đặc biệt của nha sĩ.
Việc chủ động phòng ngừa các nguyên nhân này không chỉ giúp tránh được hình ảnh viêm nướu răng ở trẻ đáng lo ngại mà còn xây dựng nền tảng sức khỏe răng miệng vững chắc cho con trong tương lai.

Cách điều trị viêm nướu răng ở trẻ em dứt điểm và hiệu quả
Khi đã nhận diện được hình ảnh viêm nướu răng ở trẻ và các dấu hiệu đi kèm, việc tìm kiếm phương pháp điều trị dứt điểm và hiệu quả là ưu tiên hàng đầu của cha mẹ. Tùy thuộc vào mức độ nghiêm trọng của bệnh, có thể áp dụng các phương pháp điều trị tại nhà kết hợp với can thiệp chuyên sâu tại nha khoa. Mục tiêu chính là loại bỏ nguyên nhân gây viêm nhiễm, giảm sưng đau và khôi phục sức khỏe cho nướu răng.
Điều trị viêm nướu tại nhà và chăm sóc hàng ngày
Đối với các trường hợp viêm nướu nhẹ, việc cải thiện thói quen vệ sinh răng miệng tại nhà đóng vai trò then chốt trong việc điều trị và ngăn ngừa bệnh tái phát. Cha mẹ cần kiên trì và hướng dẫn trẻ thực hiện đúng cách:
- Chải răng đúng cách: Đây là nền tảng của mọi điều trị. Cha mẹ cần hướng dẫn trẻ chải răng ít nhất hai lần mỗi ngày (sáng sau khi ăn và tối trước khi đi ngủ), mỗi lần ít nhất 2 phút. Sử dụng bàn chải lông mềm, kích thước phù hợp với miệng trẻ, và kem đánh răng có fluoride (lượng bằng hạt đậu cho trẻ lớn, bằng hạt gạo cho trẻ nhỏ) để loại bỏ mảng bám hiệu quả. Kỹ thuật chải răng cần nhẹ nhàng, di chuyển theo vòng tròn hoặc góc 45 độ so với đường viền nướu để làm sạch cả răng và nướu.
- Sử dụng chỉ nha khoa hàng ngày: Chỉ nha khoa giúp làm sạch các kẽ răng và dưới đường viền nướu, nơi bàn chải khó tiếp cận. Cha mẹ có thể dùng chỉ nha khoa hoặc tăm nước (water flosser) phù hợp cho trẻ để đảm bảo loại bỏ hết mảng bám và thức ăn thừa.
- Nước súc miệng diệt khuẩn (theo chỉ định): Đối với trẻ lớn hơn hoặc theo lời khuyên của nha sĩ, có thể sử dụng nước súc miệng kháng khuẩn không cồn. Tuy nhiên, cần thận trọng và đảm bảo trẻ không nuốt nước súc miệng.
- Chế độ ăn uống lành mạnh: Hạn chế tối đa thực phẩm và đồ uống có đường, tinh bột. Khuyến khích trẻ ăn nhiều rau xanh, trái cây và uống đủ nước để tăng cường sức đề kháng và giúp làm sạch khoang miệng tự nhiên.
Điều trị chuyên sâu tại nha khoa
Khi viêm nướu đã ở mức độ trung bình hoặc nặng, hoặc khi các biện pháp tại nhà không cải thiện, cần có sự can thiệp của nha sĩ. Nha sĩ sẽ đánh giá tình trạng bệnh và đưa ra phác đồ điều trị phù hợp:
- Cạo vôi răng (lấy cao răng): Đây là bước điều trị cơ bản và quan trọng nhất. Nha sĩ sẽ sử dụng dụng cụ chuyên dụng để loại bỏ mảng bám cứng (vôi răng) và mảng bám mềm tích tụ trên và dưới đường viền nướu. Quá trình này giúp loại bỏ nguyên nhân chính gây viêm nhiễm, cho phép nướu phục hồi. Sau khi cạo vôi răng, nha sĩ có thể đánh bóng răng để làm nhẵn bề mặt, ngăn ngừa mảng bám tái hình thành.
- Làm sạch túi nha chu: Nếu viêm nướu đã hình thành các túi nha chu, nha sĩ sẽ thực hiện kỹ thuật làm sạch sâu gọi là nạo túi nha chu hoặc làm láng gốc răng để loại bỏ vi khuẩn và độc tố dưới nướu.
- Điều trị kháng sinh (nếu cần): Trong một số trường hợp viêm nhiễm nặng, có mủ hoặc không đáp ứng với điều trị thông thường, nha sĩ có thể kê đơn kháng sinh dạng uống hoặc kháng sinh đặt tại chỗ để tiêu diệt vi khuẩn gây bệnh.
- Hướng dẫn vệ sinh răng miệng chuyên sâu: Nha sĩ sẽ cung cấp hướng dẫn chi tiết về cách chải răng, dùng chỉ nha khoa và các dụng cụ vệ sinh đặc biệt (nếu có) để cha mẹ và trẻ thực hiện đúng cách tại nhà.
- Khám định kỳ: Sau điều trị, việc tái khám định kỳ (thường 3-6 tháng/lần) là rất quan trọng để theo dõi tình trạng nướu, phát hiện sớm nguy cơ tái phát và làm sạch răng định kỳ.
Vai trò của cha mẹ trong quá trình điều trị viêm nướu
Cha mẹ đóng vai trò trung tâm trong việc điều trị và phòng ngừa viêm nướu cho trẻ. Việc kiên trì nhắc nhở, giám sát và biến việc chăm sóc răng miệng thành thói quen tích cực cho trẻ là yếu tố quyết định sự thành công. Đừng bỏ qua bất kỳ hình ảnh viêm nướu răng ở trẻ nào mà bạn thấy, vì sự chủ động của cha mẹ sẽ giúp con có một nụ cười khỏe mạnh và tươi sáng.

Phòng ngừa viêm nướu răng ở trẻ em từ sớm
Phòng ngừa luôn tốt hơn chữa bệnh, đặc biệt là với hình ảnh viêm nướu răng ở trẻ. Việc áp dụng các biện pháp phòng ngừa từ sớm không chỉ giúp trẻ tránh khỏi những đau đớn, khó chịu do viêm nướu gây ra mà còn xây dựng nền tảng vững chắc cho sức khỏe răng miệng toàn diện trong suốt cuộc đời. Cha mẹ có vai trò then chốt trong việc hình thành thói quen tốt cho con, giúp con có một nụ cười khỏe mạnh và tự tin.
Hướng dẫn trẻ vệ sinh răng miệng đúng cách
Đây là yếu tố quan trọng nhất trong việc phòng ngừa viêm nướu. Cha mẹ cần bắt đầu việc chăm sóc răng miệng cho trẻ từ khi còn nhỏ, thậm chí trước khi răng mọc.
- Đối với trẻ sơ sinh và trẻ nhỏ (0-1 tuổi): Dùng khăn mềm hoặc gạc sạch nhúng nước ấm để lau nhẹ nhàng nướu của bé sau mỗi bữa ăn, ngay cả khi chưa có răng. Điều này giúp loại bỏ vi khuẩn và thức ăn thừa.
- Khi răng sữa bắt đầu mọc (6 tháng – 2 tuổi): Sử dụng bàn chải lông siêu mềm, nhỏ gọn, phù hợp với miệng bé. Cha mẹ nên chải răng cho bé với một lượng kem đánh răng có fluoride bằng hạt gạo. Tập cho trẻ thói quen chải răng 2 lần/ngày.
- Đối với trẻ lớn hơn (2 tuổi trở lên): Hướng dẫn trẻ cách chải răng đúng kỹ thuật. Cha mẹ vẫn cần giám sát và chải lại cho trẻ đến khi bé có thể tự thực hiện hiệu quả (thường là khoảng 6-7 tuổi). Dạy trẻ chải đều tất cả các mặt răng, bao gồm mặt nhai, mặt ngoài và mặt trong, cũng như nhẹ nhàng chải nướu.
- Sử dụng chỉ nha khoa: Khi các răng bắt đầu chạm vào nhau, cha mẹ cần hướng dẫn trẻ sử dụng chỉ nha khoa hàng ngày để làm sạch kẽ răng, nơi bàn chải không thể tới. Nếu trẻ khó khăn trong việc cầm chỉ, có thể dùng chỉ nha khoa có tay cầm (floss pick).
- Súc miệng: Đối với trẻ lớn hơn có khả năng súc và nhổ nước đúng cách, có thể sử dụng nước súc miệng có fluoride (không cồn) theo hướng dẫn của nha sĩ để tăng cường bảo vệ.
Chế độ dinh dưỡng khoa học
Chế độ ăn uống có ảnh hưởng trực tiếp đến sức khỏe răng miệng của trẻ, bao gồm cả tình trạng nướu.
- Hạn chế đường và tinh bột: Đây là “thức ăn” yêu thích của vi khuẩn gây sâu răng và viêm nướu. Cha mẹ nên giảm thiểu việc cho trẻ ăn kẹo, bánh ngọt, nước ngọt, thực phẩm chế biến sẵn. Thay vào đó, hãy khuyến khích trẻ ăn vặt bằng trái cây tươi, rau củ quả.
- Bổ sung thực phẩm giàu vitamin: Vitamin C giúp tăng cường sức khỏe nướu và khả năng miễn dịch. Các loại thực phẩm như cam, ổi, dâu tây, bông cải xanh rất giàu vitamin C. Canxi và vitamin D cũng quan trọng cho sự phát triển của xương hàm và răng chắc khỏe.
- Uống đủ nước: Nước giúp rửa trôi các mảnh vụn thức ăn và axit trong miệng, đồng thời kích thích sản xuất nước bọt, một yếu tố bảo vệ tự nhiên của khoang miệng.
Thăm khám nha sĩ định kỳ
Việc đưa trẻ đến nha sĩ khám định kỳ là biện pháp phòng ngừa quan trọng không thể bỏ qua.
- Thời điểm bắt đầu: Nên đưa trẻ đi khám nha sĩ lần đầu tiên khi chiếc răng sữa đầu tiên mọc lên hoặc chậm nhất là trước 1 tuổi. Điều này giúp trẻ làm quen với môi trường nha khoa và nha sĩ có thể kiểm tra sớm các vấn đề.
- Tần suất: Trẻ em nên được thăm khám nha sĩ ít nhất 6 tháng một lần. Trong những lần khám này, nha sĩ sẽ kiểm tra tình trạng răng và nướu của trẻ, phát hiện sớm các hình ảnh viêm nướu răng ở trẻ hoặc các vấn đề khác như sâu răng, sai lệch khớp cắn.
- Làm sạch răng chuyên nghiệp: Nha sĩ có thể thực hiện lấy cao răng (nếu có) và đánh bóng răng để loại bỏ mảng bám mà việc chải răng tại nhà không thể làm sạch hoàn toàn.
- Fluoride và trám bít hố rãnh: Nha sĩ có thể áp dụng fluoride tại chỗ hoặc trám bít hố rãnh để bảo vệ răng khỏi sâu răng, gián tiếp giảm nguy cơ viêm nướu.
Việc chủ động phòng ngừa và duy trì thói quen tốt sẽ giúp trẻ em tránh xa nguy cơ viêm nướu, đảm bảo một hàm răng và nướu khỏe mạnh, tạo tiền đề cho sự phát triển toàn diện.

Kết luận và lời khuyên cho cha mẹ
Viêm nướu răng ở trẻ em là một vấn đề sức khỏe răng miệng phổ biến nhưng hoàn toàn có thể phòng ngừa và điều trị hiệu quả nếu được phát hiện sớm. Thông qua việc tìm hiểu các hình ảnh viêm nướu răng ở trẻ, cha mẹ đã có thể trang bị cho mình những kiến thức cần thiết để nhận diện các dấu hiệu, hiểu rõ nguyên nhân và biết được những phương pháp điều trị phù hợp. Việc chủ động quan sát, duy trì thói quen vệ sinh răng miệng tốt và chế độ ăn uống khoa học là những yếu tố then chốt giúp bảo vệ nụ cười khỏe mạnh của con.
Đừng bao giờ xem nhẹ bất kỳ dấu hiệu bất thường nào trên nướu răng của trẻ. Từ những đốm đỏ nhỏ, sưng nhẹ cho đến tình trạng chảy máu hay hơi thở hôi, mỗi dấu hiệu đều là lời cảnh báo mà cơ thể trẻ đang gửi gắm. Việc bỏ qua các dấu hiệu viêm nướu ở trẻ có thể dẫn đến những hậu quả nghiêm trọng hơn như viêm nha chu, ảnh hưởng đến răng vĩnh viễn và sức khỏe tổng thể của bé. Hãy nhớ rằng, sự can thiệp kịp thời không chỉ giúp giảm đau đớn cho con mà còn tiết kiệm thời gian và chi phí điều trị về sau.
Cha mẹ chính là “bác sĩ” đầu tiên và quan trọng nhất của con. Hãy dành thời gian hướng dẫn, giám sát và biến việc chăm sóc răng miệng thành một phần thú vị trong thói quen hàng ngày của trẻ. Đồng thời, đừng quên vai trò không thể thiếu của các buổi thăm khám nha sĩ định kỳ. Nha sĩ không chỉ giúp làm sạch răng chuyên nghiệp mà còn cung cấp những lời khuyên cá nhân hóa, phù hợp với từng giai đoạn phát triển của trẻ. Việc kết hợp chăm sóc tại nhà và khám định kỳ tại nha khoa sẽ là lá chắn vững chắc bảo vệ sức khỏe răng miệng toàn diện cho con bạn.
Hy vọng rằng, với những thông tin chi tiết về hình ảnh viêm nướu răng ở trẻ, nguyên nhân và cách điều trị được cung cấp trong bài viết này, cha mẹ sẽ tự tin hơn trong việc chăm sóc và bảo vệ nụ cười rạng rỡ của con. Nếu bạn có bất kỳ thắc mắc nào hoặc muốn tìm hiểu thêm về các vấn đề răng miệng khác, hãy tham khảo thêm các bài viết hữu ích tại Nha Khoa DrGreen để có thêm thông tin và được tư vấn chuyên sâu.











