
Chỉ nha khoa là một trong những sản phẩm hỗ trợ chăm sóc răng miệng hiệu quả. Loại này vừa loại bỏ hoàn toàn những mảng bám

Với bất kì ai, việc nắm rõ cách chăm sóc răng miệng đúng cách là điều cực kì quan trọng. Việc này sẽ giúp cho hàm răng

Bọc răng sứ là một trong những kĩ thuật phục hình răng thẩm mỹ bằng mão răng sứ. Chính vì thế mà sau khi thực hiện bọc

Hiện nay, bọc răng sứ là phương pháp phổ biến giúp cho hàm răng trắng sáng và đều đẹp. Tại đây, răng sứ được chế tác bằng

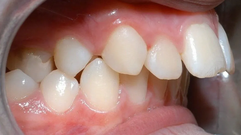
Cụm 2 răng cửa là cụm răng quan trọng nhất với bất kì ai hiện nay. Đây là cụm răng sẽ thể hiện rất rõ thẩm mỹ

Răng hô là tình trạng thẩm mỹ nha khoa rất nhiều người gặp phải hiện nay. Nếu để lâu, răng hô sẽ gây ra sự tự ti











