Các phương pháp điều trị sâu răng hiện nay đang trở thành mối quan tâm hàng đầu của nhiều người. Sâu răng không chỉ là một vấn đề nha khoa thông thường mà còn ảnh hưởng đến sức khỏe tổng thể, tâm lý và chất lượng cuộc sống của con người. Việc điều trị sớm và hiệu quả có thể giúp bảo tồn răng, tránh những biến chứng nghiêm trọng. Bài viết này sẽ tổng hợp và phân tích các phương pháp điều trị sâu răng hiện nay, với từng giai đoạn sâu khác nhau, đặc biệt trong bối cảnh y tế hiện đại.

Điều trị sâu răng giai đoạn sớm (tái khoáng & fluoride)
Giai đoạn sớm của sâu răng thường biểu hiện bằng những đốm trắng trên bề mặt men răng. Đây là thời điểm quan trọng nhất để can thiệp nhằm ngăn chặn sự tiến triển của bệnh. Tại giai đoạn này, các phương pháp điều trị sâu răng có thể rất đơn giản và hiệu quả, như việc tái khoáng men răng và sử dụng fluoride.
Sử dụng fluoride dạng gel, bọt, vecni hoặc khay nhỏ để phục hồi men răng ban đầu
Fluoride từ lâu đã được biết đến như một giải pháp hiệu quả trong việc phòng ngừa và điều trị sâu răng. Sử dụng fluoride dưới dạng gel, bọt, vecni hoặc khay nhỏ được chỉ định cho bệnh nhân có nguy cơ cao mắc sâu răng.
Việc sử dụng fluoride tại nha khoa thường diễn ra theo hình thức bôi lên bề mặt men răng, với các sản phẩm chuyên dụng. Khi fluoride thấm vào men răng, nó sẽ giúp tái khoáng các vùng bị tổn thương nhẹ, từ đó phục hồi cấu trúc răng một cách tự nhiên. Hơn nữa, fluoride cũng giúp tạo ra một lớp bảo vệ trên bề mặt răng, ngăn chặn vi khuẩn phát triển.
Tuy nhiên, việc sử dụng fluoride không chỉ dừng lại ở những liệu pháp điều trị tại phòng khám. Bạn cũng có thể tích cực áp dụng các sản phẩm chăm sóc răng miệng có chứa fluoride như kem đánh răng và nước súc miệng trong thói quen hàng ngày. Điều này không chỉ giúp bảo vệ men răng mà còn tăng cường sức khỏe răng miệng tổng thể.
Xem thêm: Hậu quả của sâu răng: Nghiêm trọng hơn bạn nghĩ!
Biện pháp tái khoáng tại nha khoa — không đau, phù hợp khi tổn thương mới xuất hiện
Một trong những phương pháp điều trị sâu răng phổ biến tại nha khoa cho giai đoạn sớm của sâu răng là tái khoáng. Đây là một quy trình khôi phục men răng mà không cần đến các thủ thuật phẫu thuật sâu hơn. Tái khoáng có thể được thực hiện thông qua việc bôi các dung dịch chứa calcium phosphate hoặc sản phẩm tái khoáng khác, giúp kích thích quá trình phục hồi tự nhiên của men răng.
Phương pháp tái khoáng cũng ưu việt ở chỗ không đau và không gây khó chịu cho bệnh nhân. Điều này đặc biệt phù hợp cho trẻ em, những người thường rất nhạy cảm với các phương pháp điều trị nha khoa. Hơn nữa, biện pháp này giúp giảm thiểu chi phí điều trị và thời gian hồi phục.
Thực tế cho thấy, nếu được phát hiện và điều trị sớm, khả năng phục hồi hoàn toàn cho răng bị sâu lớn hơn nhiều. Do đó, việc thăm khám định kỳ để phát hiện sớm dấu hiệu của sâu răng là rất quan trọng.
Xem thêm: Dấu hiệu sâu răng và cách điều trị hiệu quả
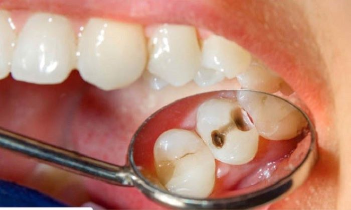
Trám răng và phục hồi cấu trúc răng
Khi sâu răng đã tiến triển và hình thành lỗ sâu, việc điều trị sẽ phức tạp hơn. Một trong các phương pháp điều trị sâu răng hiện nay chính để khôi phục cấu trúc răng và chức năng nhai là trám răng.

Trám răng bằng vật liệu composite hoặc hỗn hợp sứ để che lấp lỗ sâu, phục hồi thẩm mỹ và chức năng nhai
Trám răng là phương pháp điều trị rất phổ biến trong nha khoa. Bác sĩ sẽ loại bỏ các phần răng bị sâu và sử dụng vật liệu trám để lấp đầy lỗ hổng. Hiện nay, có nhiều loại vật liệu trám khác nhau được sử dụng, trong đó composite và hỗn hợp sứ là những lựa chọn phổ biến.
Vật liệu composite có khả năng tương thích về màu sắc với răng tự nhiên, do đó mang lại giá trị thẩm mỹ cao. Khi điều trị bằng composite, bác sĩ có thể tạo hình lại răng để đảm bảo chức năng nhai và thẩm mỹ.
Bên cạnh đó, việc sử dụng hỗn hợp sứ cũng giúp phục hồi cấu trúc răng hiệu quả. Hỗn hợp sứ có tính chất mạnh mẽ và bền vững, giúp bảo vệ răng khỏi những tác động bên ngoài. Tuy nhiên, phương pháp này có thể cao hơn về chi phí so với composite.
Trám kèm điều trị tủy nếu sâu đã lan đến ngà hoặc tủy — làm sạch mô tủy tổn thương và trám kín ống tủy
Nếu sâu răng đã lan đến ngà hoặc tủy, việc trám đơn thuần sẽ không còn hiệu quả, và bác sĩ sẽ cần tiến hành điều trị tủy. Điều này liên quan đến việc làm sạch mô tủy bị tổn thương và trám kín ống tủy để ngăn chặn nhiễm trùng lây lan.
Quy trình này có thể phức tạp hơn và yêu cầu một thời gian dài để hồi phục. Tuy nhiên, đây là phương pháp cần thiết để cứu răng và bảo vệ sức khỏe toàn diện của bệnh nhân. Sau khi làm sạch và trám ống tủy, răng sẽ cần được gia cố lại bằng cách trám hoặc bọc răng, tùy thuộc vào mức độ tổn thương.
Điều trị tủy răng không chỉ giúp bảo tồn răng mà còn bảo vệ sức khỏe miệng tổng thể, ngăn chặn các biến chứng nghiêm trọng hơn có thể xảy ra nếu để tình trạng sâu răng kéo dài.
Xem thêm: Sâu răng bị sốt xảy ra do đâu? Nguyên nhân và cách điều trị
Phương pháp bọc răng sứ, nhổ răng và phục hình
Khi răng bị tổn thương đến mức không thể khôi phục được bằng các phương pháp điều trị sâu răng hiện nay như trám hay điều trị tủy, bác sĩ sẽ xem xét đến việc bọc răng sứ hoặc thậm chí nhổ răng.

Bọc răng sứ cho răng còn chân và men yếu, giúp bảo vệ và phục hồi hình dáng răng còn lại
Bọc răng sứ là một lựa chọn tuyệt vời cho những răng còn chân nhưng men yếu. Quy trình này giúp bảo vệ cấu trúc bên trong của răng, đồng thời phục hồi hình dáng và chức năng của nó. Bằng cách bọc răng sứ, bác sĩ có thể cung cấp một lớp bảo vệ chắc chắn cho răng, giúp nó không bị tổn thương thêm.
Răng sứ hiện nay có nhiều loại, từ răng toàn sứ đến răng sứ kim loại, mang lại nhiều lựa chọn cho bệnh nhân. Mỗi loại có những ưu điểm và nhược điểm riêng, và bác sĩ nha khoa sẽ giúp bệnh nhân lựa chọn sản phẩm phù hợp nhất dựa trên tình trạng răng miệng và nhu cầu thẩm mỹ.
Nhổ răng là lựa chọn cuối cùng khi răng không thể giữ được — sau đó phục hình bằng implant hoặc cầu răng giả
Nếu răng không thể giữ được vì tổn thương quá nghiêm trọng, nhổ răng sẽ là lựa chọn cuối cùng. Đây là quyết định nặng nề đối với nhiều bệnh nhân nhưng đôi khi là cần thiết để ngăn chặn các vấn đề sức khỏe khác phát sinh.
Sau khi nhổ răng, bệnh nhân có thể xem xét các phương pháp phục hình như implant hoặc cầu răng giả. Implant là phương pháp hiện đại, giúp phục hồi chức năng nhai và thẩm mỹ giống như răng thật. Cầu răng giả lại là một lựa chọn khác, giúp nối liền những răng kế cận và tùy thuộc vào từng trường hợp cụ thể.
Việc nhổ răng và phục hình sau đó có thể tác động không nhỏ đến tâm lý và sức khỏe tổng thể của bệnh nhân. Do đó, việc tư vấn kỹ lưỡng và hỗ trợ tâm lý cho bệnh nhân là vô cùng quan trọng trong toàn bộ quá trình điều trị.
Xem thêm: Cách phòng tránh bệnh sâu răng hiệu quả: Cần nắm rõ!
Kết luận
Trong số các phương pháp điều trị sâu răng hiện nay, từ các biện pháp tái khoáng đơn giản cho giai đoạn sớm đến những lựa chọn phức tạp hơn như điều trị tủy, bọc răng sứ hay nhổ răng, mỗi phương pháp đều có ưu điểm và áp dụng riêng cho từng trường hợp cụ thể. Việc lựa chọn phương pháp điều trị phù hợp không chỉ giúp bảo tồn sức khỏe răng miệng mà còn cải thiện chất lượng cuộc sống cho bệnh nhân. Chăm sóc răng miệng định kỳ và thăm khám nha khoa thường xuyên chính là chìa khóa để phát hiện sớm các vấn đề và điều trị hiệu quả.

Liên hệ ngay với Nha khoa DrGreen để được chuyên gia kiểm tra sau niềng và tư vấn thời gian đeo hàm duy trì phù hợp, ngăn răng lệch trở lại.
Hotline: 0936.996.609
Fanpage: https://www.facebook.com/nhakhoadrgreen
Website: nhakhoadrgreen.vn
Hệ thống Nha khoa Dr Green:
- 40B Lạch Tray, Ngô Quyền, Hải Phòng
- HDS11 Vinhomes Marina, Lê Chân, Hải Phòng
- 38 Tân Dương, Thủy Nguyên, Hải Phòng
- 43 Trần Phú, Cẩm Phả, Quảng Ninh












