Các mảng bám đen trên răng đang khiến bạn mất tự tin, ngại giao tiếp? Không chỉ vậy, nó cũng có thể trở thành nguyên nhân dẫn tới các bệnh lý nguy hiểm nếu không điều trị kịp thời. Hãy cùng Nha khoa Dr Green tìm hiểu nguyên nhân và xử lý triệt để những mảng bám đen trên răng.
Các mảng bám đen trên răng xuất hiện do đâu?
Vì sao răng bị mảng bám đen? Có nhiều nguyên nhân dẫn đến tình trạng này. Tuy nhiên, nguyên nhân chủ yếu thường do răng không được làm sạch kỹ, lâu dần cặn thức ăn tích tụ và hình thành mảng bám quanh chân răng. Trong đó, 6 nguyên nhân chủ yếu khiến răng xuất hiện mảng bám đen đó là:
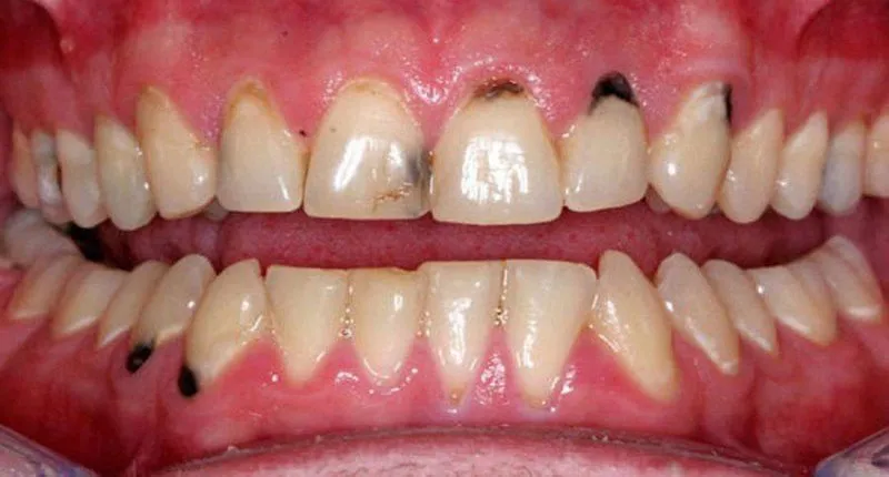
Sâu răng
Sâu răng làm xuất hiện những mảng màu đen trên bề mặt răng. Trong đó có hai loại, là sâu răng khoáng hoá, và sâu răng tiến triển:
- Sâu răng khoáng hoá: Các đốm đen dần xuất hiện dọc theo đường trũng của hai mặt răng.
- Sâu răng tiến triển: Răng xuất hiện đốm đen kèm theo một vài lỗ thủng trên răng, tích tụ cặn thức ăn và vi khuẩn.

Tích tụ mảng bám trên răng
Răng sẽ tích vụ rất nhiều mảng bám và vi khuẩn có hại nếu không được làm ạch đúng cách. Lâu ngày, những mảng bám này sẽ hoá cứng, đóng chặt thành từng mảng quanh chân và thân răng, dưới nướu. Vôi răng lâu ngày không được loại bỏ sẽ dần chuyển sang màu nâu đen.
Thường xuyên hút thuốc lá, sử dụng thực phẩm có màu
Men răng dễ bị bám màu nếu bạn thường xuyên sử dụng thuốc lá hoặc một số thực phẩm có màu đậm. Ban đầu chỉ là những vết ố, lâu dần chuyển tối màu, răng bị đen.
Đặc biệt, những mảng cao răng rất dễ bắt màu. Nếu không chú ý vệ sinh răng miệng, các mảng bám đen trên răng sẽ xuất hiện ngày càng nhiều.

Men răng yếu
Khi men răng yếu, răng dễ bị tác động bởi các yếu tố bên ngoài, răng dễ đổi màu nếu không được chăm sóc đặc biệt. Men răng yếu cần được chăm sóc đặc biệt hơn, bổ sung thực phẩm cần thiết.
Sử dụng thuốc hoặc nước chứa nhiều flour
Một số loại thuốc làm biến đổi màu sắc của răng, hình thành những mảng bám màu đen thiếu thẩm mỹ. Trong đó:
- Tetracycline là một loại thuốc kháng sinh điển hình.
- Minocycline cũng là một kháng sinh thuộc nhóm Tetracycline.
Ngoài ra, bạn cũng cần lưu ý về nguồn nước sử dụng hàng ngày, nước chứa nhiều flour sẽ khiến răng xỉn màu.
Các mảng bám đen trên răng có khiến răng gặp nguy hiểm?
Những mảng bám thường là nguyên nhân chính khiến răng bị vi khuẩn tấn công, là nơi trú ngụ của nhiều vi khuẩn có hại. Do đó, bất kể răng của bạn xuất hiện mảng bám màu vàng hay đen, thì đều cần điều trị sớm. Vì đây có thể có nguyên nhân dẫn đến nhiều bệnh lý nguy hiểm.
Viêm nướu, viêm nha chu:
Vi khuẩn có trong các mảng bám đen trên răng chính là nơi trú ngụ của nhiều vi khuẩn. Vi khuẩn là tổn thương men răng, tấn công xuống nướu, gây ra tình trạng viêm lợi, viêm nha chu.
Hôi miệng:
Đây là tình trạng thường gặp khi răng có nhiều mảng bám, đặc biệt là những mảng bám màu đen. Điều này vừa ảnh hưởng tới sức khoẻ, vừa khiến bạn mất tự tin vào các mối quan hệ xã hội.

Tụt nướu:
Những mảng bám dính chặt vào chân răng và kẽ răng, lâu dần lan xuống nướu, cắt đứt liên kết giữa răng và nướu, tấn công và làm tổn thương khu vực nướu. Điều này khiến bạn dễ mắc các bệnh về nướu, khiến nướu xưng viêm, tụt nướu.
Mất răng, tiêu xương hàm:
Nếu không được điều trị kịp thời, vi khuẩn sẽ tấn công và xương hàm, gây tiêu xương hàm, có thể dẫn tới nguy cơ mất răng.
Điều trị loại bỏ các mảng bám đen trên răng
Tẩy trắng tại nhà
Tẩy vết đen bằng chanh
Chanh là loại quả có hàm lượng axit citric cao, khi tiếp xúc trực tiếp trên bề mặt răng sẽ làm mềm những mảng bám và dễ dàng loại bỏ vôi răng và các mảng bám đen trên răng. Tuy nhiên, loại axit này tác động mạnh nên bạn cần hạn chế số lần sử dụng, chỉ nên thực hiện 1 lần/ tuần.
Cách thực hiện: Quả chanh tươi vắt lấy nước, sau đó chà nhẹ lên răng. chải răng theo chiều dọc để dung dịch tiếp xúc với toàn bộ bề mặt răng, kẽ răng.

Tẩy trắng răng bằng muối
Muối là thành phần tự nhiên vừa có tác dụng làm sạch, vừa giúp loại bỏ vi khuẩn, phòng ngừa được nhiều bệnh lý. Bạn nên thực hiện phương pháp này hàng tuần để mang lại hiểu quả tốt hơn.
Cách thực hiện:
- Cách 1: Sử dụng muối tinh rắc trực tiếp lên bàn chải và chải răng.
- Cách 2: Trộn muối tinh cùng một chút nước cốt chanh để chải răng.

Sử dụng Baking Soda
Đây là một loại bột nở được sử dụng với nhiều công dụng. Và bạn cũng có thể sử dụng baking soda để làm sạch mảng bám nhờ cơ chế làm mòn, tạo môi trường kiềm và ức chế vi khuẩn có hại. Phương pháp này cũng chỉ nên thực hiện 1 lần/ tuần.
Cách thực hiện:
Cách 1: Sử dụng trực tiếp baking soda để chải răng.
Cách 2: Trộn baking soda với nước cốt chanh để tạo ra hỗn hợp sệt, sau đó chải lên răng.

Tẩy trắng răng tại nhà khoa
Những phương pháp tẩy trắng tại nhà khá đơn giản và dễ thực hiện, nhưng chỉ có tác dụng ở bề mặt răng. Chưa kể, bạn không thể kiểm soát được mức độ hoạt động của chúng, tính axit mạnh của những nguyên liệu này có thể làm tổn thương ngược lại men răng.
Do đó, tốt nhất bạn nên thực hiện tại nha sĩ, các mảng đen trên răng sẽ được làm sạch an toàn và hiệu quả khi thực hiện tại nha sĩ. Quy trình nghiêm ngặt, trang thiết bị hiện đại, thực hiện bởi chuyên khoa sẽ mang lại cho bạn trải nghiệm tuyệt vời. Bất kể mảng bám cao răng cứng đầu, tất cả sẽ được loại bỏ, phòng ngừa các bệnh lý về răng.

Xem thêm:
- Nguyên nhân răng bị mảng trắng và cách điều trị
- Kích thước trụ implant nên chọn như thế nào cho đúng?
Các mảng bám đen trên răng cần được điều trị và loại bỏ sớm. Điều này vừa giúp răng miệng thẩm mỹ, vừa đảm bảo không bị vi khuẩn tấn công gây ra nhiều bệnh lý nguy hiểm. Nếu bạn gặp vấn đề răng miệng, mảng bám, hoặc những bệnh lý về răng, liên hệ ngay Nha khoa Dr Green để điều trị sớm.
Hotline: 0936.996.609
Fanpage: https://www.facebook.com/nhakhoadrgreen
Website: nhakhoadrgreen.vn
Hệ thống Nha khoa Dr Green:
- 40B Lạch Tray, Ngô Quyền, Hải Phòng
- HDS11 Vinhomes Marina, Lê Chân, Hải Phòng
- 38 Tân Dương, Thủy Nguyên, Hải Phòng
- 43 Trần Phú, Cẩm Phả, Quảng Ninh












