Răng khểnh hàm dưới là vấn đề phổ biến trong nha khoa, ảnh hưởng đến cả thẩm mỹ và chức năng nhai. Tình trạng này có thể làm giảm tự tin và dẫn đến các vấn đề sức khỏe răng miệng nếu không được khắc phục kịp thời. Trong bài viết này, chúng ta hãy cùng Dr. Green tìm hiểu nguyên nhân, ảnh hưởng của răng khểnh hàm dưới và các phương pháp hiệu quả để khắc phục, giúp mọi người lấy lại nụ cười tự tin.
Nhận biết răng khểnh hàm dưới

Răng khểnh hàm dưới
Răng khểnh hàm dưới có thể được nhận diện qua những dấu hiệu sau:
- Hình dạng và vị trí:
- Răng nhô ra: Một hoặc nhiều răng có thể nhô ra phía trước hoặc sang một bên, tạo cảm giác không đều.
- Răng nằm ngang: Một số răng có thể nằm ngang hay ở vị trí không đúng so với các răng khác, dẫn đến việc hàm không khớp nhau đúng cách.
- Khoảng cách:
- Khoảng trống: Răng khểnh có thể tạo ra khoảng trống giữa các răng, khiến chúng không khít nhau như bình thường.
- Chen chúc: Ngược lại, hàm cũng có thể xảy ra tình trạng chen chúc, khi các răng không đủ không gian để mọc thẳng, dẫn đến sự chồng chéo và lệch lạc.
- Khó khăn trong nhai, cắn thức ăn:
- Cắn không khớp: Khi cắn, bạn có thể nhận thấy rằng các răng không khớp nhau, điều này có thể gây ra cảm giác khó chịu hoặc đau.
- Khó khăn trong nhai: Tình trạng này có thể làm cho việc nhai trở nên khó khăn, gây ảnh hưởng đến quá trình tiêu hóa và sức khỏe tổng thể.
- Đau hoặc khó chịu:
- Đau nhức: Răng khểnh có thể gây ra cảm giác đau nhức, đặc biệt khi ăn những thực phẩm cứng hoặc khi bạn cắn mạnh.
- Khó chịu: Sự không khớp giữa các răng cũng có thể dẫn đến cảm giác khó chịu kéo dài, ảnh hưởng đến sinh hoạt hàng ngày và chất lượng cuộc sống.
Nguyên nhân dẫn đến răng khểnh ở hàm dưới
Răng khểnh hàm dưới có thể xuất phát từ nhiều nguyên nhân khác nhau. Dưới đây là một số nguyên nhân chính:

Nguyên nhân dẫn đến răng khểnh hàm dưới
- Yếu tố di truyền: Di truyền đóng vai trò quan trọng trong sự phát triển của hàm và vị trí của răng. Nếu trong gia đình có người có răng khểnh hoặc lệch lạc, khả năng cao bạn cũng sẽ gặp phải tình trạng tương tự.
- Thói quen xấu:
- Nghiến răng: Nghiến răng là thói quen thường gặp, không chỉ làm răng bị mài mòn mà còn có thể gây áp lực lên răng và làm cho chúng bị lệch.
- Đẩy lưỡi: Thói quen đẩy lưỡi vào phía trước hoặc bên trong miệng có thể làm cho răng không phát triển đúng cách, dẫn đến tình trạng răng khểnh theo thời gian.
- Chấn thương: Chấn thương do tai nạn hoặc va chạm có thể làm răng bị lệch vị trí. Những chấn thương này có thể gây ra sự dịch chuyển bất ngờ của răng, làm thay đổi cấu trúc hàm.
- Mất răng sớm: Khi một hoặc nhiều răng bị mất mà không được phục hồi kịp thời, khoảng trống sẽ xuất hiện. Các răng còn lại sẽ có xu hướng di chuyển để lấp đầy khoảng trống đó, dẫn đến sự lệch lạc.
Ảnh hưởng của răng khểnh hàm dưới
Răng khểnh hàm dưới có thể gây ra nhiều vấn đề, có thể kể đến như:

Ảnh hưởng của răng khểnh hàm dưới
- Ảnh hưởng thẩm mỹ: Răng khểnh hàm dưới có thể gây ra những tác động lớn đến thẩm mỹ của khuôn mặt. Nụ cười là một phần quan trọng trong giao tiếp và ảnh hưởng đến cách mà người khác nhìn nhận bạn. Khi răng không thẳng hàng hoặc lệch lạc, điều này có thể làm mất tự tin, khiến bạn ngại giao tiếp và cảm thấy không thoải mái khi thể hiện bản thân.
- Khó khăn trong ăn uống: Tình trạng răng không khớp có thể gây ra nhiều khó khăn trong việc ăn uống. Khi các răng không gặp nhau đúng cách, việc nhai trở nên khó khăn và không hiệu quả. Điều này không chỉ gây đau đớn mà còn có thể dẫn đến việc tiêu hóa kém, vì thức ăn không được nhai kỹ càng.
- Tăng nguy cơ sâu răng và bệnh nha chu: Răng khểnh có xu hướng dễ tích tụ mảng bám và vi khuẩn do vị trí mọc không đúng cách. Sự tích tụ này có thể dẫn đến các vấn đề về nướu và sâu răng. Khi mảng bám không được làm sạch hiệu quả, vi khuẩn có thể phát triển và gây ra viêm nướu, làm tăng nguy cơ mắc bệnh nha chu. Những vấn đề này không chỉ ảnh hưởng đến sức khỏe răng miệng mà còn có thể dẫn đến các biến chứng nghiêm trọng hơn nếu không được điều trị kịp thời.
Xem thêm: Nhổ răng số 7 có bị hóp má không và các thông tin liên quan
Các cách khắc phục tình trạng răng khểnh hàm dưới
Để khắc phục tình trạng răng khểnh hàm dưới, bạn có thể lựa chọn một trong hai phương pháp sau:
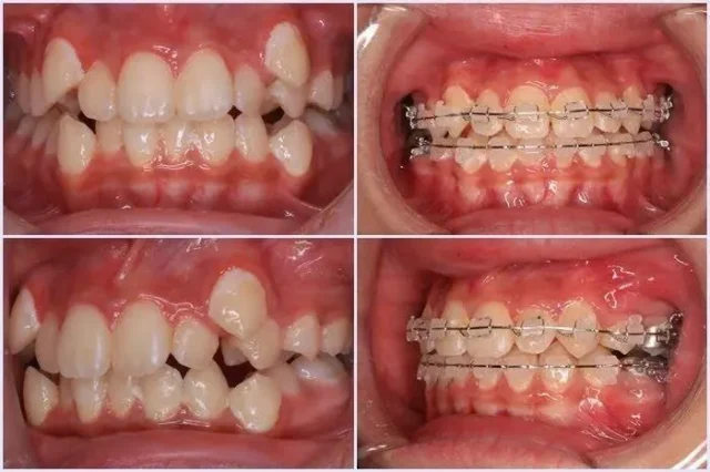
Niềng răng

Niềng răng điều trị răng khểnh
Cách thức điều trị:
Niềng răng là một trong những phương pháp điều chỉnh vị trí răng hiệu quả nhất. Quá trình này sử dụng mắc cài và dây cung để tạo ra lực kéo, giúp di chuyển răng về vị trí đúng.
Bằng cách điều chỉnh dần dần, niềng răng không chỉ cải thiện thẩm mỹ mà còn nâng cao chức năng nhai, giúp bạn ăn uống thoải mái hơn. Với sự phát triển của công nghệ, ngày nay có nhiều loại mắc cài khác nhau, từ mắc cài kim loại truyền thống đến mắc cài trong suốt, đáp ứng nhu cầu khác nhau của khách hàng.
Thời gian điều trị: Thời gian niềng răng thường kéo dài từ 12 đến 24 tháng, tùy thuộc vào mức độ lệch lạc. Trong trường hợp răng khểnh nhẹ, thời gian điều trị có thể ngắn hơn, trong khi những trường hợp phức tạp hơn có thể cần thời gian lâu hơn để đạt được kết quả tối ưu. Trong suốt quá trình niềng, bác sĩ nha khoa sẽ thường xuyên theo dõi và điều chỉnh mắc cài để đảm bảo rằng răng di chuyển đúng hướng. Điều này giúp bạn nhanh chóng có được một nụ cười hoàn hảo và khỏe mạnh hơn.
Bọc răng sứ

Bọc sứ điều trị răng khểnh
- Khi nào nên bọc răng sứ:
Bọc răng sứ là một lựa chọn lý tưởng khi răng khểnh không thể điều chỉnh bằng niềng răng hoặc khi bạn cần có kết quả nhanh chóng. Nếu bạn gặp tình trạng răng khểnh nhưng không có thời gian để trải qua quá trình niềng kéo dài, bọc răng sứ sẽ giúp cải thiện thẩm mỹ ngay lập tức. Phương pháp này không chỉ mang lại vẻ đẹp cho nụ cười mà còn bảo vệ răng thật khỏi các tác động bên ngoài, giúp bạn tự tin hơn trong giao tiếp hàng ngày.
- Quy trình thực hiện:
Quy trình bọc răng sứ thường rất đơn giản và nhanh chóng. Đầu tiên, bác sĩ sẽ tiến hành kiểm tra răng và xác định hình dạng, kích thước phù hợp để làm lớp vỏ sứ. Sau đó, lớp sứ sẽ được gắn bên ngoài răng, tạo nên một hình dạng mới và cải thiện màu sắc cho răng.
Phương pháp này không chỉ mang lại tính thẩm mỹ cao mà còn bảo vệ răng thật bên trong, giúp bạn cảm thấy thoải mái hơn khi ăn uống. Thời gian thực hiện thường ngắn, nên bạn có thể nhanh chóng có được nụ cười như ý mà không cần chờ đợi lâu.
Xem thêm: Những ngày không nên nhổ răng bạn đã biết chưa
=> Răng khểnh hàm dưới có thể gây ra nhiều ảnh hưởng đến cả thẩm mỹ và chức năng. Tuy nhiên, với các phương pháp như niềng răng và bọc răng sứ, bạn hoàn toàn có thể khắc phục tình trạng này. Hãy đến Dr. Green để được tư vấn và điều trị hiệu quả, giúp bạn tự tin hơn trong giao tiếp và cuộc sống hàng ngày.












